плеврит?

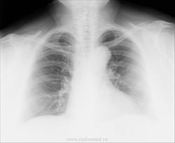
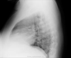
Женщина, 63года, жалобы на длительный кашель, общую слабость. Слева адгезивный плеврит? На боковом треугольная тень от корня? Помогите с диагнозом (рентгенолог будет только на следующей неделе).

 

  • https://radiomed.ru/sites/default/files/styles/case_slider_image/public/user/19361/039b207ad96945ffba81973eab0ee35b_1.jpg?itok=xCsqcpAu
ID:46710
Любовь С. аватар
Не на сайте
Был на сайте: 9 лет 9 месяцев назад
Зарегистрирован: 23.12.2010 - 01:58
Публикации: 2324

Жидкости не вижу, слева спереди тень избыточной прекардиальной клетчатки. Эналаприл или его аналоги принимает?

"Предоставляя весь смысл и совершенство в распоряжение одного только Бога, вы избавляете себя от бездны хлопот." Джон Уитборн.

Сергей Кузьминов аватар
Не на сайте
Был на сайте: 1 год 3 месяцев назад
Зарегистрирован: 06.10.2012 - 15:51
Публикации: 11813

Как-то не нахожу плеврита.

NIL аватар
NIL
Не на сайте
Был на сайте: 4 недели 1 день назад
Зарегистрирован: 25.11.2013 - 20:50
Публикации: 18209

Коллеги, а как Вам это место. Или я уже, после работы, начинаю глючить?

Приложения: 
039b207ad96945ffba81973eab0ee35b_1.jpg


"Слушай всех, прислушивайся к немногим, решай сам".©

atexta аватар
Не на сайте
Был на сайте: 3 года 1 месяц назад
Зарегистрирован: 08.02.2014 - 18:41
Публикации: 4842

NIL wrote:

Коллеги, а как Вам это место. Или я уже, после работы, начинаю глючить?

Все хорошо, рисунок такой

Не нам судить…

Дмитрий Волегов аватар
Не на сайте
Был на сайте: 3 года 9 месяцев назад
Зарегистрирован: 22.05.2013 - 00:32
Публикации: 1148

Увеличение левого желудочка, усиление дуги аорты, диффузное усиление легочного рисунка. Картина может соответствовать явлениям застоя в малом круге кровообращения.

С Уважением, Дмитрий.

Nobody аватар
Не на сайте
Был на сайте: 11 лет 4 месяцев назад
Зарегистрирован: 15.03.2014 - 20:29
Публикации: 2013

Любовь С. wrote:

Жидкости не вижу, слева спереди тень избыточной прекардиальной клетчатки.

А почему бы тени не быть плевральными спайками? Тоже похоже,.. значит, близко плеврит.)

"Лишь утратив всё до конца, мы обретаем свободу." F.C.