Гонатроз

Пол пациента: 
Область исследования: 
Методы исследования: 

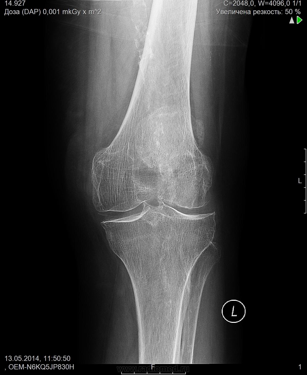
Участок вдавления в области дистального метаэпифиза бедренной кости (может быть последствие диффузного остеопороза?) Пациентке 87 лет. Есть обызвествление межмыщелковых бугорков, обызвествление стенок сосудов. Артроз пателлофеморального сустава.

 

  • https://radiomed.ru/sites/default/files/styles/case_slider_image/public/user/19785/f_knee_20140513_111452.jpg?itok=4dOPUN_a
ID:37809
NIL аватар
NIL
Не на сайте
Был на сайте: 1 месяц 4 недели назад
Зарегистрирован: 25.11.2013 - 20:50
Публикации: 18208

Полагаю, то это участок м.б. следствием постоянного давления из вне какого-то мягкотканного образования ( как раз Ваша стрелка на нём)


"Слушай всех, прислушивайся к немногим, решай сам".©

Евгений Дорофеев аватар
Не на сайте
Был на сайте: 11 лет 3 месяцев назад
Зарегистрирован: 06.06.2013 - 17:28
Публикации: 1746

Медиакальциноз артерий забыли.

ren_gen аватар
Не на сайте
Был на сайте: 11 лет 3 месяцев назад
Зарегистрирован: 30.10.2010 - 19:17
Публикации: 285

NIL wrote:

Полагаю, то это участок м.б. следствием постоянного давления из вне какого-то мягкотканного образования ( как раз Ваша стрелка на нём)

 

точно-точно!!!

lady.zhaneta аватар
Не на сайте
Был на сайте: 1 год 3 месяцев назад
Зарегистрирован: 06.07.2011 - 21:54
Публикации: 232

ren_gen wrote:

NIL wrote:

Полагаю, то это участок м.б. следствием постоянного давления из вне какого-то мягкотканного образования ( как раз Ваша стрелка на нём)

 

точно-точно!!!

Как его дальше будете обследовать? Напишите...

Nobody аватар
Не на сайте
Был на сайте: 11 лет 3 месяцев назад
Зарегистрирован: 15.03.2014 - 20:29
Публикации: 2013

dorofey84 wrote:

Медиакальциноз артерий забыли.

Евгений, Перчик про обызвествление стенок сосудов сказал, а Вы ему перчинку про медиакальциноз.) Изящно, конечно. Но отчего же медии кальциноз, а не интимы?..

"Лишь утратив всё до конца, мы обретаем свободу." F.C.

Nobody аватар
Не на сайте
Был на сайте: 11 лет 3 месяцев назад
Зарегистрирован: 15.03.2014 - 20:29
Публикации: 2013

перчик wrote:

Участок вдавления в области дистального метаэпифиза бедренной кости (может быть последствие диффузного остеопороза?)

 

Выполнил бы, вернее, добавил бы боковую, но только прямую. Как-то надколенник просится в эту выемку на бедре. Очевидно 4-хглавую повредили когда-то. Или связку пателлы. Или и то, и другое... Или с возрастом так натянулись мышцы-связки, уплотнились, будто бы накачались.)) А может, надколенниковая сумка когда пострадала и пателлу без неё к кости присосало.) Вариантов много, верный точно один. Вам решать, Вы случая господин.;)

"Лишь утратив всё до конца, мы обретаем свободу." F.C.

перчик аватар
Не на сайте
Был на сайте: 3 месяцев 13 часов назад
Зарегистрирован: 06.03.2014 - 12:16
Публикации: 721

Nobody wrote:

перчик wrote:

Участок вдавления в области дистального метаэпифиза бедренной кости (может быть последствие диффузного остеопороза?)

 

Выполнил бы, вернее, добавил бы боковую, но только прямую. Как-то надколенник просится в эту выемку на бедре. Очевидно 4-хглавую повредили когда-то. Или связку пателлы. Или и то, и другое... Или с возрастом так натянулись мышцы-связки, уплотнились, будто бы накачались.)) А может, надколенниковая сумка когда пострадала и пателлу без неё к кости присосало.) Вариантов много, верный точно один. Вам решать, Вы случая господин.;)

Пациентка сбежала полоть грядки)) остается делать только догадки))

Nobody аватар
Не на сайте
Был на сайте: 11 лет 3 месяцев назад
Зарегистрирован: 15.03.2014 - 20:29
Публикации: 2013

Бывает и так. Догадки, они в работе всегда помогают - фантазировать могем, этого у нас не отнять.))

"Лишь утратив всё до конца, мы обретаем свободу." F.C.