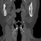
Оссификация черпаловидных хрящей, КТ.

Впервые встретилось, решила поделиться. Нормальный вариант практически с полным двусторонним обызвествлением (=оссификацией=склерозом). Случайная находка при КТ сосудов шеи.

Ретинированный 28-й зуб у этой же пациентки 69 лет.

  • https://radiomed.ru/sites/default/files/styles/case_slider_image/public/user/7926/2014-08-05_02h16_42.png?itok=KHctTnJI
  • https://radiomed.ru/sites/default/files/styles/case_slider_image/public/user/7926/2014-08-05_02h17_49.png?itok=VqOZKYhf
  • https://radiomed.ru/sites/default/files/styles/case_slider_image/public/user/7926/2014-08-05_02h20_32.png?itok=Xd0hEhqg
  • https://radiomed.ru/sites/default/files/styles/case_slider_image/public/user/7926/2014-08-05_02h23_14.png?itok=DKElpQwu
  • https://radiomed.ru/sites/default/files/styles/case_slider_image/public/user/7926/2014-08-05_02h32_52.png?itok=ItgJxY3M
ID:45784
И.Бондаренко аватар
Не на сайте
Был на сайте: 1 день 19 часов назад
Зарегистрирован: 13.09.2011 - 22:55
Публикации: 9208

Интересно, как зуб туда забрался?

Любовь С. аватар
Не на сайте
Был на сайте: 9 лет 7 месяцев назад
Зарегистрирован: 23.12.2010 - 01:58
Публикации: 2324

Просто оттуда не выбрался).

"Предоставляя весь смысл и совершенство в распоряжение одного только Бога, вы избавляете себя от бездны хлопот." Джон Уитборн.

Катенёв Валентин Львович аватар
Не на сайте
Был на сайте: 7 лет 2 месяцев назад
Зарегистрирован: 22.03.2008 - 22:15
Публикации: 54876

Спасибо Любочка!

С большим интересом посмотрел этот случай, хоть на КТ и не работаю...

Любовь С. аватар
Не на сайте
Был на сайте: 9 лет 7 месяцев назад
Зарегистрирован: 23.12.2010 - 01:58
Публикации: 2324

Пожалуйста!)

"Предоставляя весь смысл и совершенство в распоряжение одного только Бога, вы избавляете себя от бездны хлопот." Джон Уитборн.

lady.zhaneta аватар
Не на сайте
Был на сайте: 1 год 3 месяцев назад
Зарегистрирован: 06.07.2011 - 21:54
Публикации: 232

Добрый день! У меня встречались такие случаи на Р-гр. прид. пазух, но как опред который зуб и что только ретинированный?