Из википедии" Остеохондроз (от др.-греч. ὀστέον — кость и χόνδρος — хрящ) — комплекс дистрофических нарушений в суставных хрящах. Может развиваться практически в любом суставе, но чаще всего поражаются межпозвоночные диски. В зависимости от локализации выделяют шейный, грудной и поясничный остеохондроз. Следует обратить внимание на то, что в англоязычной медицинской литературе термином osteochondrosis обозначают совершенно другую группу ортопедических заболеваний, которые в русском языке называют остеохондропатиями."https://ru.wikipedia.org/wiki/%CE%F1%F2%E5%EE%F5%EE%ED%E4%F0%EE%E7
.... Следует обратить внимание на то, что в англоязычной медицинской литературе термином osteochondrosis обозначают совершенно другую группу ортопедических заболеваний, которые в русском языке называют остеохондропатиями....
Про англоязычных не соглашусь (см.) У нас, кстати говоря, тоже "межпозвонковый", см. ст 66 Расписания болезней, только, почему-то наши врачи ленятся писать.
Из википедии" Остеохондроз (от др.-греч. ὀστέον — кость и χόνδρος — хрящ) — комплекс дистрофических нарушений в суставных хрящах. Может развиваться практически в любом суставе, но чаще всего поражаются межпозвоночные диски. В зависимости от локализации выделяют шейный, грудной и поясничный остеохондроз. Следует обратить внимание на то, что в англоязычной медицинской литературе термином osteochondrosis обозначают совершенно другую группу ортопедических заболеваний, которые в русском языке называют остеохондропатиями."https://ru.wikipedia.org/wiki/%CE%F1%F2%E5%EE%F5%EE%ED%E4%F0%EE%E7
А вот мнение более уточненное. ( по П.Л. Жаркову)
"Поскольку рентгенология - дисциплина морфологическая, необходимо пользоваться, прежде всего, современной анатомической и патологоанатомической терминологией...
…дистрофическое изменение сустава, начинающееся с дистрофического изменения хряща (хондроз), к которому затем присоединяется дистрофическое изменение кости (остеохондроз).... Вторую часть термина - остео использовать можно, но только в тот период, когда изменен не только хрящ, но и кость, то есть в фазе остеохондроза."
Добавка: "Остеохондропатии (osteochondropathii; от греч. osteon - кость, chondros - хрящ, pathos - страдание; синонимы: остеохондрит, эпифизионекроз, остходролиз, асептический некроз костей) - это особая группа заболеваний костно-суставного аппарата с характерными клинико-рентгенологическими симптомами, в основе которых лежит асептический некроз губчатой костной ткани в местах повышенной механической нагрузки."(ОСТЕОХОНДРОПАТИИ. МЗ РБ БЕЛОРУССКИЙ ГОСУДАРСТВЕННЫЙ МЕДИЦИНСКИЙ УНИВЕРСИТЕТ КАФЕДРА ТРАВМАТОЛОГИИ И ОРТОПЕДИИ Е.Р. Михнович Методические рекомендации)
Добавка: "Остеохондропатии (osteochondropathii; от греч. osteon - кость, chondros - хрящ, pathos - страдание; синонимы: остеохондрит, эпифизионекроз, остходролиз, асептический некроз костей) - это особая группа заболеваний костно-суставного аппарата с характерными клинико-рентгенологическими симптомами, в основе которых лежит асептический некроз губчатой костной ткани в местах повышенной механической нагрузки."(ОСТЕОХОНДРОПАТИИ. МЗ РБ БЕЛОРУССКИЙ ГОСУДАРСТВЕННЫЙ МЕДИЦИНСКИЙ УНИВЕРСИТЕТ КАФЕДРА ТРАВМАТОЛОГИИ И ОРТОПЕДИИ Е.Р. Михнович Методические рекомендации)
Примечательно, что С.А. Рейнберг тоже такого же мнения:
"...С морфологической и патофизиологической точки зрения остеохондропатий представляют собой асептические костные некрозы, протекающие со своеобразными осложнениями, как, например, патологическими переломами. Некрозу подвергается губчатая костная ткань, притом только некоторых определенных эпифизов, коротких и мелких костей и апофизов, которые в силу своего анатомического расположения находятся в условиях повышенной механической нагрузки. .." (РЕНТГЕНОДИАГНОСТИКА ЗАБОЛЕВАНИЙ КОСТЕЙ И СУСТАВОВ АТЛАС РЕНТГЕНОГРАММ (633 рисунка) ГОСУДАРСТВЕННОЕ ИЗДАТЕЛЬСТВО МЕДИЦИНСКОЙ ЛИТЕРАТУРЫ МЕДГИЗ - 1955 - МОСКВА)
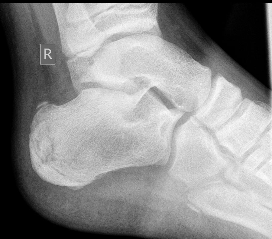
Хаглунда-Шинца болезнь (остеохондроз апофиза пяточной кости) - вариант остеохондропатии апофизов в бугре пяточной кости.
Рентгеновская диагностика. При болезни Шинца на снимке будет наблюдаться пятнистость паточной кости и отсутствие гомогенности тени ее бугра. В некоторых случаях возможно наличий отложения солей, которые видны как небольшие островки. При тяжелых формах заболевания отчетливо просматриваются такие рентгенологические признаки как отделение фрагментов краевой кости и увеличение расстояния между пяточной костью и апофизом.
Также стоит учесть, что для исключения множества других заболеваний (пяточная шпора, остеомиелит, туберкулез пяточной кости, периостит, ахиллобурсит и т.д.) необходимо проведение дифференциальной диагностики.
Хаглунда-Шинца болезнь (остеохондроз апофиза пяточной кости) - вариант остеохондропатии апофизов в бугре пяточной кости.
Снимки интересные, ничего не скажешь. Но топикстратер говорил о ребенке 10 лет. А в вашем случае, явный взрослый. Может, есть смысл о синдроме Хаглунда говорить в этом случае.
Хаглунда-Шинца болезнь (остеохондроз апофиза пяточной кости) - вариант остеохондропатии апофизов в бугре пяточной кости.
Рентгеновская диагностика. При болезни Шинца на снимке будет наблюдаться пятнистость паточной кости и отсутствие гомогенности тени ее бугра. В некоторых случаях возможно наличий отложения солей, которые видны как небольшие островки. При тяжелых формах заболевания отчетливо просматриваются такие рентгенологические признаки как отделение фрагментов краевой кости и увеличение расстояния между пяточной костью и апофизом.
Также стоит учесть, что для исключения множества других заболеваний (пяточная шпора, остеомиелит, туберкулез пяточной кости, периостит, ахиллобурсит и т.д.) необходимо проведение дифференциальной диагностики.
И поехали.
1. пятнистость и негомогеннность указывал Рейнберг ещё, но и про секвестроподобность оных писал( т.е. не просто пятнистость и гомогенность.)
2. островки отложения каких-то солей? Рейнбергом описано так, то что имеется в энтом апофизе несколько точек окостенения, числом до 3-4! И при этом они не имеют правильной формы и контуры не гладкие и м.б. и зазубренные!(т.е. всякие)
3.увеличение расстояния между пяточной костью и апофизом? Так вот дедушка пишет, что это разрастание!!!( не хондроз!или дегенерация) хряща.
4. По поводу приведенных снимков: очень интересная картина АХИЛЛОБУРСИТА+ пяточного бурсита (. Т.е. требует дифф. диагностики... )
5. Коллега, Андрей Юрьевич, справедливо заметил, что приведенные снимки скорее относятся к деформации или болезни Хаглунда. http://www.travmaorto.ru/139.html а не к б-ни Шинца.
1. пятнистость и негомогеннность указывал Рейнберг ещё, но и про секвестроподобность оных писал( т.е. не просто пятнистость и гомогенность.)
2. островки отложения каких-то солей? Рейнбергом описано так, то что имеется в энтом апофизе несколько точек окостенения, числом до 3-4! И при этом они не имеют правильной формы и контуры не гладкие и м.б. и зазубренные!(т.е. всякие)
3.увеличение расстояния между пяточной костью и апофизом? Так вот дедушка пишет, что это разрастание!!!( не хондроз!или дегенерация) хряща.
4. По поводу приведенных снимков: очень интересная картина АХИЛЛОБУРСИТА+ пяточного бурсита (. Т.е. требует дифф. диагностики... )
5. Коллега, Андрей Юрьевич, справедливо заметил, что приведенные снимки скорее относятся к деформации или болезни Хаглунда. http://www.travmaorto.ru/139.html а не к б-ни Шинца.
И?
И так, коллега, учитывая Ваш, несомненно больший, опыт работы в рентгенодиагностике + мнение заслуженного деятеля науки, уважаемого Самуила Ароновича, я ну просто не могу не согласиться с Вашими первыми 4 пунктами и уж тем более не осмелюсь их оспаривать! А на счет 5 пункта...Болезнь Хаглунда или как ее еще называют – деформация Хаглунда – является разновидностью остеохондропатий. Выражается она в костном наросте экзостозе. Этот нарост внешне похож на шишку, место возникновения которой - задняя часть пяточной кости, немного выше места, куда крепится ахиллово сухожилие. По мере увеличения нарост начинает давить на ахиллово сухожилие и сумку из-за чего возникает ретрокалканеальный бурсит (воспаление сумки) и тендинит (воспаление сухожилия)...и т.д.
Из википедии" Остеохондроз (от др.-греч. ὀστέον — кость и χόνδρος — хрящ) — комплекс дистрофических нарушений в суставных хрящах. Может развиваться практически в любом суставе, но чаще всего поражаются межпозвоночные диски. В зависимости от локализации выделяют шейный, грудной и поясничный остеохондроз. Следует обратить внимание на то, что в англоязычной медицинской литературе термином osteochondrosis обозначают совершенно другую группу ортопедических заболеваний, которые в русском языке называют остеохондропатиями."https://ru.wikipedia.org/wiki/%CE%F1%F2%E5%EE%F5%EE%ED%E4%F0%EE%E7
"Слушай всех, прислушивайся к немногим, решай сам".©
Про англоязычных не соглашусь (см.) У нас, кстати говоря, тоже "межпозвонковый", см. ст 66 Расписания болезней, только, почему-то наши врачи ленятся писать.
Андрей Юрьевич
А вот мнение более уточненное. ( по П.Л. Жаркову)
"Поскольку рентгенология - дисциплина морфологическая, необходимо пользоваться, прежде всего, современной анатомической и патологоанатомической терминологией...
…дистрофическое изменение сустава, начинающееся с дистрофического изменения хряща (хондроз), к которому затем присоединяется дистрофическое изменение кости (остеохондроз).... Вторую часть термина - остео использовать можно, но только в тот период, когда изменен не только хрящ, но и кость, то есть в фазе остеохондроза."
Добавка: "Остеохондропатии (osteochondropathii; от греч. osteon - кость, chondros - хрящ, pathos - страдание; синонимы: остеохондрит, эпифизионекроз, остходролиз, асептический некроз костей) - это особая группа заболеваний костно-суставного аппарата с характерными клинико-рентгенологическими симптомами, в основе которых лежит асептический некроз губчатой костной ткани в местах повышенной механической нагрузки."(ОСТЕОХОНДРОПАТИИ.
МЗ РБ БЕЛОРУССКИЙ ГОСУДАРСТВЕННЫЙ МЕДИЦИНСКИЙ УНИВЕРСИТЕТ КАФЕДРА ТРАВМАТОЛОГИИ И ОРТОПЕДИИ Е.Р. Михнович Методические рекомендации)
"Слушай всех, прислушивайся к немногим, решай сам".©
Примечательно, что С.А. Рейнберг тоже такого же мнения:
"...С морфологической и патофизиологической точки зрения остеохондропатий представляют собой асептические костные некрозы, протекающие со своеобразными осложнениями, как, например, патологическими переломами. Некрозу подвергается губчатая костная ткань, притом только некоторых определенных эпифизов, коротких и мелких костей и апофизов, которые в силу своего анатомического расположения находятся в условиях повышенной механической нагрузки. .." (РЕНТГЕНОДИАГНОСТИКА ЗАБОЛЕВАНИЙ КОСТЕЙ И СУСТАВОВ АТЛАС РЕНТГЕНОГРАММ (633 рисунка) ГОСУДАРСТВЕННОЕ ИЗДАТЕЛЬСТВО МЕДИЦИНСКОЙ ЛИТЕРАТУРЫ
МЕДГИЗ - 1955 - МОСКВА)
Андрей Юрьевич
Давнишнее исследование. Уж 3 года как. Случай коллеги. Подросток, 15 или 16 лет. Болит пятка.
"There is no teacher, who can teach us anything new. He just can help us to remember the things we always knew" (c) Enigma.
Хаглунда-Шинца болезнь (остеохондроз апофиза пяточной кости) - вариант остеохондропатии апофизов в бугре пяточной кости.
Рентгеновская диагностика. При болезни Шинца на снимке будет наблюдаться пятнистость паточной кости и отсутствие гомогенности тени ее бугра. В некоторых случаях возможно наличий отложения солей, которые видны как небольшие островки. При тяжелых формах заболевания отчетливо просматриваются такие рентгенологические признаки как отделение фрагментов краевой кости и увеличение расстояния между пяточной костью и апофизом.
Также стоит учесть, что для исключения множества других заболеваний (пяточная шпора, остеомиелит, туберкулез пяточной кости, периостит, ахиллобурсит и т.д.) необходимо проведение дифференциальной диагностики.
Ученье - свет, а неученых тьма...
Снимки интересные, ничего не скажешь. Но топикстратер говорил о ребенке 10 лет. А в вашем случае, явный взрослый. Может, есть смысл о синдроме Хаглунда говорить в этом случае.
Андрей Юрьевич
И поехали.
1. пятнистость и негомогеннность указывал Рейнберг ещё, но и про секвестроподобность оных писал( т.е. не просто пятнистость и гомогенность.)
2. островки отложения каких-то солей? Рейнбергом описано так, то что имеется в энтом апофизе несколько точек окостенения, числом до 3-4! И при этом они не имеют правильной формы и контуры не гладкие и м.б. и зазубренные!(т.е. всякие)
3.увеличение расстояния между пяточной костью и апофизом? Так вот дедушка пишет, что это разрастание!!!( не хондроз!или дегенерация) хряща.
4. По поводу приведенных снимков: очень интересная картина АХИЛЛОБУРСИТА+ пяточного бурсита (. Т.е. требует дифф. диагностики... )
5. Коллега, Андрей Юрьевич, справедливо заметил, что приведенные снимки скорее относятся к деформации или болезни Хаглунда. http://www.travmaorto.ru/139.html а не к б-ни Шинца.
И?
,
И поехали.
1. пятнистость и негомогеннность указывал Рейнберг ещё, но и про секвестроподобность оных писал( т.е. не просто пятнистость и гомогенность.)
2. островки отложения каких-то солей? Рейнбергом описано так, то что имеется в энтом апофизе несколько точек окостенения, числом до 3-4! И при этом они не имеют правильной формы и контуры не гладкие и м.б. и зазубренные!(т.е. всякие)
3.увеличение расстояния между пяточной костью и апофизом? Так вот дедушка пишет, что это разрастание!!!( не хондроз!или дегенерация) хряща.
4. По поводу приведенных снимков: очень интересная картина АХИЛЛОБУРСИТА+ пяточного бурсита (. Т.е. требует дифф. диагностики... )
5. Коллега, Андрей Юрьевич, справедливо заметил, что приведенные снимки скорее относятся к деформации или болезни Хаглунда. http://www.travmaorto.ru/139.html а не к б-ни Шинца.
И?
И так, коллега, учитывая Ваш, несомненно больший, опыт работы в рентгенодиагностике + мнение заслуженного деятеля науки, уважаемого Самуила Ароновича, я ну просто не могу не согласиться с Вашими первыми 4 пунктами и уж тем более не осмелюсь их оспаривать!
А на счет 5 пункта...Болезнь Хаглунда или как ее еще называют – деформация Хаглунда – является разновидностью остеохондропатий. Выражается она в костном наросте экзостозе. Этот нарост внешне похож на шишку, место возникновения которой - задняя часть пяточной кости, немного выше места, куда крепится ахиллово сухожилие. По мере увеличения нарост начинает давить на ахиллово сухожилие и сумку из-за чего возникает ретрокалканеальный бурсит (воспаление сумки) и тендинит (воспаление сухожилия)...и т.д.
Ученье - свет, а неученых тьма...