Онкология. Фиброма десмопластическая. +

 

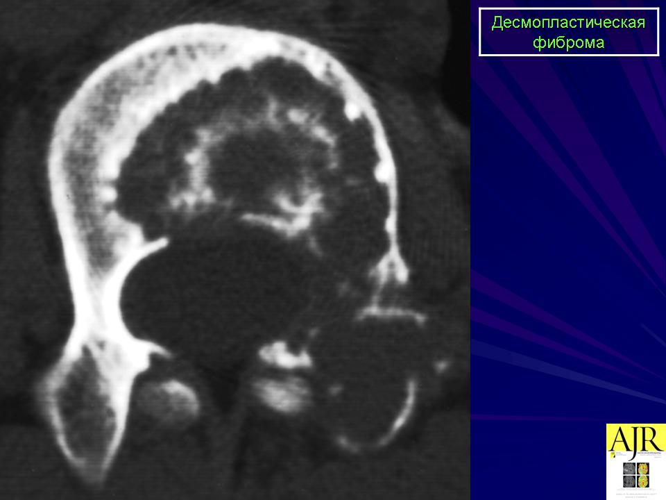
Десмопластическая фиброма редкая локально агрессивная внутрикостная опухоль, характеризующаяся продукцией опухолевыми клетками пучков коллагеновых волокон. Встречается в любом возрасте (чаще у лиц моложе 30 лет), с равной частотой у мужчин и женщин. Локализуется в основном в эпифизах и метафизах длинных костей (бедренная, плечевая, большеберцовые кости), плоских костях (кости таза, лопатка), нижней и верхней челюстях.

Клиническая картина. Боль и припухлость тканей в очаге поражения.

Рентгенологически остеолитический очаг, вызывающий вздутие истончённой кортикальной пластинки.

Катенёв Валентин Львович аватар
Не на сайте
Был на сайте: 7 лет 2 месяцев назад
Зарегистрирован: 22.03.2008 - 22:15
Публикации: 54876

Десмопластическая фиброма

Приложения: 
1.des_.slayd207.jpg2.des_.slayd208.jpg3.des_.slayd209.jpg4.des_.slayd210.jpg5.des_.slayd211.jpg6.des_.slayd212.jpg7.des_.slayd215.jpg8.des_.slayd216.jpg9.des_.slayd217.jpg
Катенёв Валентин Львович аватар
Не на сайте
Был на сайте: 7 лет 2 месяцев назад
Зарегистрирован: 22.03.2008 - 22:15
Публикации: 54876

http://www.wheelessonline.com/ortho/desmoplastic_fibroma

http://www.ajronline.org/doi/full/10.2214/ajr.184.6.01841762

http://radiopaedia.org/articles/desmoplastic-fibroma

Случаи и цифры

  •  
    Случай 1: гистопатология
  •  
    Дело 1

Дифференциальная диагностика изображения

  • GCT

     
    Гигантская клеточная опухоль кости
  •  
    Неоссифицирующая фиброма

http://www.head-face-med.com/content/5/1/25

Катенёв Валентин Львович аватар
Не на сайте
Был на сайте: 7 лет 2 месяцев назад
Зарегистрирован: 22.03.2008 - 22:15
Публикации: 54876

Продолжение.

 

Приложения: 
1.skanirovanie0007a.jpg2.skanirovanie0007b.jpg3.skanirovanie0007v.jpg4.skanirovanie0007g.jpg5.skanirovanie0008a.jpg6.skanirovanie0008b.jpg
Катенёв Валентин Львович аватар
Не на сайте
Был на сайте: 7 лет 2 месяцев назад
Зарегистрирован: 22.03.2008 - 22:15
Публикации: 54876

Десмопластическая фиброма локтевой кости

https://www.ncbi.nlm.nih.gov/pmc/articles/PMC4382608/

 

Катенёв Валентин Львович аватар
Не на сайте
Был на сайте: 7 лет 2 месяцев назад
Зарегистрирован: 22.03.2008 - 22:15
Публикации: 54876

Продолжение.

 

Приложения: 
skanirovanie0015b.jpg