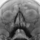
Пол пациента: Мужской пол Тип патологии: Воспалительное заболевание неинфекционной природы Область исследования: Челюстно-лицевая область и шея Методы исследования: Rg Пациент направлен на рентгенографию придаточных полостей носа врачом оториноларингологом. https://radiomed.ru/sites/default/files/styles/case_slider_image/public/user/12/2...Prid_.jpg?itok=_P72ymiL https://radiomed.ru/sites/default/files/styles/case_slider_image/public/user/12/3...Prid_..jpg?itok=kOVdB-nB https://radiomed.ru/sites/default/files/styles/case_slider_image/public/user/12/4...Prid_..jpg?itok=5U4ohWc_ ID:1476 Чт, 25/02/2010 - 23:50 #1 Ольга Дмитриевна Не на сайте Был на сайте: 15 лет 12 месяцев назад Зарегистрирован: 13.01.2010 - 16:55 Публикации: 168 В правой в/ч пазухе не пломбировочный материал прилип? Красота - гормон карьерного роста! Пт, 26/02/2010 - 13:57 #2 flagman Не на сайте Был на сайте: 11 лет 7 месяцев назад Зарегистрирован: 05.06.2008 - 20:08 Публикации: 83 вот так пломбировочный материал прилипает :-) Приложения: Пт, 26/02/2010 - 20:59 #3 Глазков Игорь А... Не на сайте Был на сайте: 11 месяцев 3 недели назад Зарегистрирован: 19.12.2008 - 20:41 Публикации: 1597 в гайморовых пазухах. Определяется утолщение слизистой, справа похоже на полукруглое образование - рентген картина напоминает кисту. В целом: двусторонний гиперпластический гайморит. А что скажут опытные рентгенологи? Прийди к Себе Пт, 26/02/2010 - 22:46 #4 DR.RAD Не на сайте Был на сайте: 11 лет 11 месяцев назад Зарегистрирован: 25.03.2009 - 18:22 Публикации: 805 двусторонний гайморит,фаза отека, контроль в динамике. Вс, 28/02/2010 - 20:23 #5 Катенёв Валенти... Не на сайте Был на сайте: 7 лет 3 месяцев назад Зарегистрирован: 22.03.2008 - 22:15 Публикации: 54876 И еще один пациент направлен на рентгенографию придаточных полостей носа с диагнозом - гайморит. Приложения:
В правой в/ч пазухе не пломбировочный материал прилип?
Красота - гормон карьерного роста!
вот так пломбировочный материал прилипает :-)
в гайморовых пазухах. Определяется утолщение слизистой, справа похоже на полукруглое образование - рентген картина напоминает кисту. В целом: двусторонний гиперпластический гайморит. А что скажут опытные рентгенологи?
Прийди к Себе
двусторонний гайморит,фаза отека, контроль в динамике.
И еще один пациент направлен на рентгенографию придаточных полостей носа с диагнозом - гайморит.