Консультация.

Пол пациента: 
Тип патологии: 
Методы исследования: 

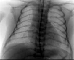
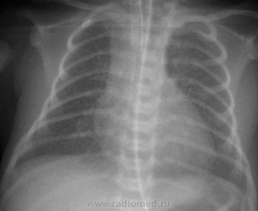
Новорожденный в сроке 30 недель, в данный момент находиться в детской реанимации, к нам сегодня обратился педиатр с просьбой повторно проанализировать обзорную рентген-картину органов грудной клетки. В анамнезе у мамы носительства цитамегаловируса и токсоплазмоза.  На данный момент у меня мысли о наличие генерализованной формы токсоплазмоза у ребенка в легких ввиде сепсиса, возможно я ошибась, возможно у кого имеются другие мысли по данному случаю?

Снимок от 2.03.10г.

 


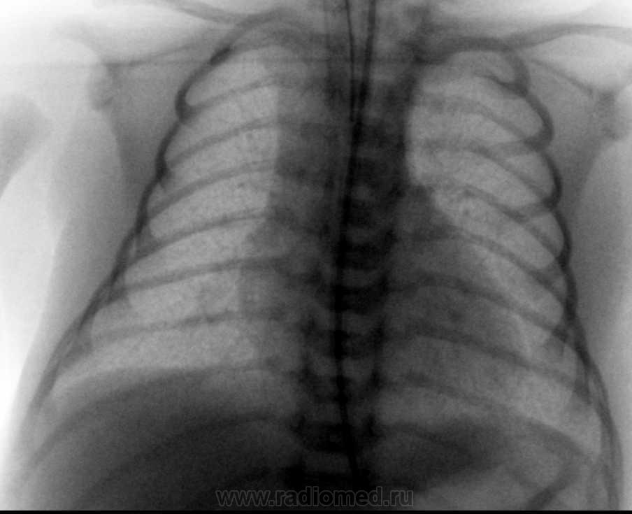
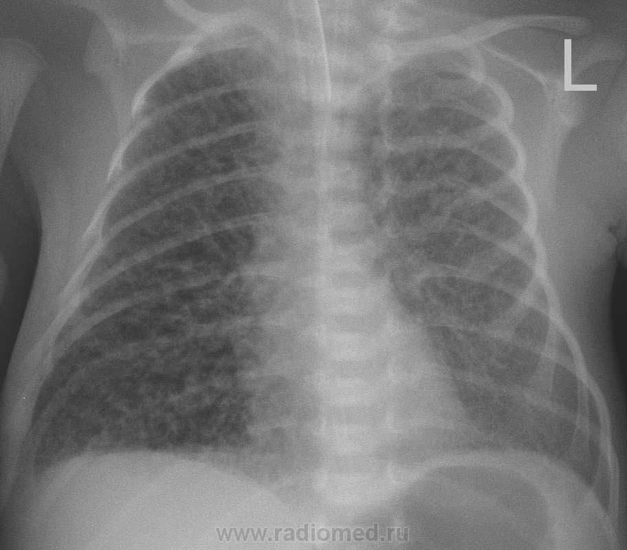
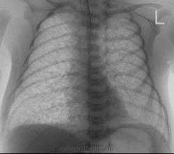
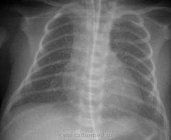
Снимок от 5.03.10г.

  • https://radiomed.ru/sites/default/files/styles/case_slider_image/public/user/117/_152813000000_0002.jpg?itok=m_vS06XJ
  • https://radiomed.ru/sites/default/files/styles/case_slider_image/public/user/117/_114443000000.jpg?itok=yqlM6_CX
  • https://radiomed.ru/sites/default/files/styles/case_slider_image/public/user/117/_114443000000_0002.jpg?itok=x0Xr8Ijq
ID:1679
Катенёв Валентин Львович аватар
Не на сайте
Был на сайте: 7 лет 2 месяцев назад
Зарегистрирован: 22.03.2008 - 22:15
Публикации: 54876

Мелкоочаговая мономорфная диссеминация.

ElenaG аватар
Не на сайте
Был на сайте: 15 лет 9 месяцев назад
Зарегистрирован: 23.02.2010 - 23:21
Публикации: 69

Хотелось все таки узнать,что же у ребенка?

v1tal аватар
Не на сайте
Был на сайте: 4 года 11 месяцев назад
Зарегистрирован: 07.06.2008 - 19:41
Публикации: 1779

Трудно сказать, но мысли в пользу интерстециальной пневмонии, преимущественно вирусной этилогии, однако ребенку провели курс антибактериальной терапии, на данный момент он самостоятельно дышит, клиники ни какой нет, динамика положительная. Во время прведения курса лечения 9.03. был сделан рентген-контроль, где  динамика положительная была.

 

Приложения: 
_084715000000_0002.png_084715000000.png

"Знаешь, у некоторых врачей есть комплекс мессии — им необходимо спасать мир. А у тебя комплекс Рубика — тебе необходимо решать головоломки."

stovbav аватар
Не на сайте
Был на сайте: 2 года 4 месяцев назад
Зарегистрирован: 20.12.2009 - 17:28
Публикации: 7066

1.По диссеминации похоже динамика положительная.

2.Но не складывается ли впечатление о появлении сливной инфильтрации справа в базально-медиальном отделе, ближе к корню?

3.В нерешительностиВозможно присоединение бактериального компонента на фоне вирусного поражения....

"Довольно распространенным проявлением ЦМВИ является пневмония. Среди общего числа пневмоний (больше 1/3 всех больных, поступающих в отделение патологии новорожденных НЦАГиП) примерно в 10 % случаев этиологическим фактором является ЦМВ, что подтверждено при оценке эпидемиологического анамнеза матери: наличие эндоцервицита, кольпита, иммуносупрессивных факторов, носительство ВПГ и ЦМВ, а также обязательное наличие IgG и IgM и (реже) — положительная ПЦР у новорожденного.

Следует заметить, что рентгенологически при этом определялись очаговые воспалительные инфильтраты, реже — сегментарные тени. При гематологическом исследовании выявлялись лейкоцитоз с нейтрофильным сдвигом влево, реже — тромбоцитопения. Нет сомнения, что в генезе этих пневмоний участвует вторичная бактериальная флора, активация последней наступает позже. Заражение новорожденного в этом случае происходит как аспирационным (чаще), так и гематогенным путем. Вторичный иммунодефицит в этих случаях приводит к более длительному течению заболевания и требует одновременного проведения иммунотерапии"

http://www.lvrach.ru/doctore/2006/03/4533630/

v1tal аватар
Не на сайте
Был на сайте: 4 года 11 месяцев назад
Зарегистрирован: 07.06.2008 - 19:41
Публикации: 1779

Стараюсь вообщем то отслеживать ход демонстрируемых случаев, но поскольку поток пациентов вариабильный, ни как не могу сконтактироваться с неонатологами, на данный момент по электронной истории, состояние средней тяжести связано с незрелостью ребенка. По снимку в динамике хочу согласиться с Вами что есть затемнение в прекорневой зоне справа, однако по поводу забора анализов ПЦР на ЦМВ, мне не известно.

"Знаешь, у некоторых врачей есть комплекс мессии — им необходимо спасать мир. А у тебя комплекс Рубика — тебе необходимо решать головоломки."