Пол пациента:
Тип патологии:
Область исследования:
Методы исследования:
- https://radiomed.ru/sites/default/files/styles/case_slider_image/public/user/2667/IMG_2422_0.jpg?itok=OLC-mM_C
- https://radiomed.ru/sites/default/files/styles/case_slider_image/public/user/2667/IMG_2423_0.jpg?itok=tBlxOQd_
- https://radiomed.ru/sites/default/files/styles/case_slider_image/public/user/2667/IMG_2424_0.jpg?itok=3ydZznsR
ID:1940
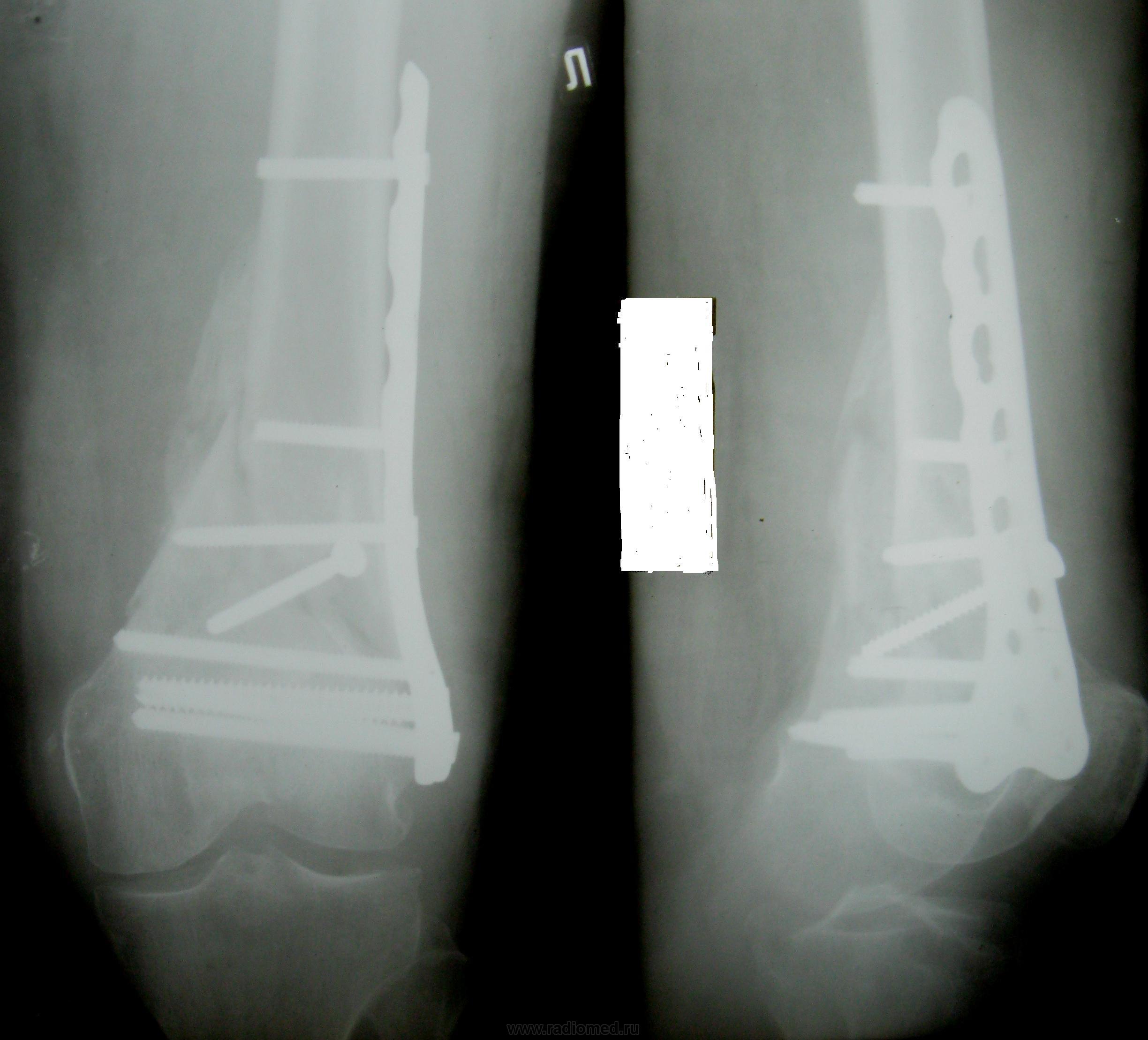
Хотелось бы узнать сроки последней рентгенографии после МОС. Мозоль формируется достаточной, закономерно избыточной при условии данного пространственного расположения отломков. Однако, видимо имеется минимальная подвижность, потому что как раз там, где костный мостик должен "схватиться" он прерывается. Похоже, предется продлить иммобилизацию. Тем более, что репозиция не идеальная, ось бедра биомеханически дислоцирована латерально и вся нагрузка ляжет на наружные мыщелки, что приведет со временем к прогрессированию гонартроза, который и так в наличии.
Verum plus uno esse non potest.
Свищи уже появились? В таком случае на трудный вопрос о перспективах отвечать «гнойному» хирургу. А если ещё не появились…, всё равно к нему. Клиника-то какая?
Неоднозначно всё
1.Срок между первой и четвертой (она сдублирована) рентгенограммами около 3-х месяцев.
2.Это самый главный момент, который меня тревожит, создается впечатление об уже ФОРМИРУЮЩЕМСЯ псевдоартрозе.
3. Вне всякого сомнения - гонартроз есть и он, к сожалению, будет прогрессировать.
Вывод - нужны решительные действия по поводу формирующегося псевдоартроза. Какие - это уже не нам решать....
Болезни ног: виды, симптомы, причины, профилактика и лечение
Петрович, свищей пока нет...но судя по всему, до того недолго.
А клиника - да какая там клиника...судимся мы....с водителем авто, который сбил пешехода....
Болезни ног: виды, симптомы, причины, профилактика и лечение