Фиброзная дисплазия расценивается как опухолеполобная гиперплазия в одной или одновременно в нескольких костях, которая сопровождается и внескелетными аномалиями. При поражении одной кости фиброзная дисплазия обнаруживается обычно в возрасте 5—20 лет, причем с одинаковой частотой у мальчиков и девочек. Иногда это поражение является болезненным, в других случаях, особенно в ребрах, развивается бессимптомно. С наступлением половой зрелости гиперпластический процесс стабилизируется, но может обостряться при беременности. Поражение нескольких костей сопровождается болью, приводит к развитию хромоты или патологических переломов. Повторные переломы нижних конечностей осложняются их деформацией. Гилерпластический процесс в костях обычно сочетается с характерными изменениями кожи в виде пигментных пятен или множественных фибром иксом в мягких тканях (болезнь Олбрайта). Множественные поражения кожи имеют часто односторонний характер и локализуются и справа, и слева.
Локализация: для монооссальной фиброзной дисплазии характерно поражение одной из костей лицевого черепа, а также бедренной или большеберцовой кости, реже одного ребра; при полиоссальной фиброзной дисплазии страдают в первую очередь бедренная, большеберцовая и тазовые кости, не исключено и поражение мелких костей стопы, черепа, реже ребер. Рентгенологическая картина фиброзной дисплазии разнообразна. Патологические участки могут быть то более плотными, то более прозрачными по сравнению с окружающей костью, иногда имеют вид «матового стекла». Одни очаги четко отграничены зоной склероза, контуры других расплывчатые, что особенно характерно для костей черепа. Нередко выявляются узуры в кортикальном слое, а при наличии перелома — отчетливая периостальная реакция. При макроскопическом исследовании определяются беловато-красные опухолевые очаги разной плотности, в зависимости от степени выраженности их минерализации. Имеются многочисленные кисты, заполненные желтоватой или красноватой жидкостью, и полупрозрачные участки хряща до 3 см в диаметре.
Под микроскопом видны многочисленные остеоидные балки неправильной формы, лежащие в фиброзной ткани с небольшим числом остеобластов. Остеоидные балки представляют собой большей частью волокнистую, но не компактную кость. Мелкие участки остеоида могут быть обызвествлены. Известь откладывается, как правило, в центре балки. Имеются многоядерные клетки типа остеокластов, окаймляющие некоторые балки. В периферических отделах очаг фиброзной дисплазии без резкого перехода сливается с реактивной костью. Фиброзная строма местами коллагенизирована, кое-где миксоматозна, то богата клеточными элементами, то почти лишена их. Фибробласты имеют то крупные овальные, то вытянутые и как бы сморщенные ядра. Между разрастаниями фиброзной ткани и остеоида встречаются островки хряща, обызвествленные по периферии. Принято думать, что такая картина весьма стабильна и сохраняется на протяжении многих лет и у детей, и у взрослых лиц.
Фиброзную дисплазию необходимо дифференцировать от остеофиброзной дисплазии, высокодифференцированной внутри костной остеосаркомы и десмопластической фибромы.
Помимо вышеописанных заболеваний, в этом разделе следует также назвать: остеофиброзную дисплазию, десмопластическую фиброму, внечелюстную фибромиксому, фибросаркому, доброкачественную фиброзную гистиоцитому, злокачественную фиброзную гистиоцитому. Часть из этих заболеваний встречаются крайне редко, другая часть соответствует своим аналогам, описанным в нашей статье.
1.
2.
Продолжение.
Продолжение.
Продолжение.
Продолжение.
Продолжение.
Продолжение.
Продолжение.
Продолжение.
Продолжение.
Продолжение.
Фиброзная дисплазия
Фиброзная дисплазия
Фиброзная дисплазия
Фиброзная дисплазия
Фиброзная дисплазия
Фиброзная дисплазия
Для фиброзной остеодисплазии, или болезни Брайцева-Лихтенштейна, характерно нарушение костеобразующей функции мезенхимы, проявляющееся в одной или нескольких костях, что ведет к их деформации и образованию в них очагов разрежения, обычно отграниченных от здоровой ткани кости склеротической каймой. Объем пораженной кости при этом может быть увеличен. Чаще поражаются трубчатые кости, но характерные изменения могут отмечаться и в костях черепа. В таких случаях возможны облитерация придаточных полостей носа, деформация глазниц, сужение отверстий в основании мозгового черепа и в лицевом черепе, ведущее к нарушению функции проходящих через них нервов и сосудов. Заболевание, возможно, наследственное, проявляется с детских лет. Описал в I927 г. отечественный хирург В.Р. Брайцев (1878-1964), несколько позже - американский патологоанатом L. Lichtenstein (1906-1977).
Фиброзная дисплазия
http://emedicine.medscape.com/article/389714-overview#a01
http://emedicine.medscape.com/article/389714-overview#a19
http://emedicine.medscape.com/article/389714-overview#a20
http://emedicine.medscape.com/article/389714-overview#a21
Фиброзная дисплазия
http://radiopaedia.org/articles/fibrous-dysplasia
Случаи и цифры
Дифференциальная диагностика изображения
Из литературных источников
Продолжение
Продолжение.
Продолжение.
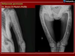
Полиостотическая фиброзная дисплазия у пациента с синдромом Маккьюн - Олбрайта.
Продолжение.