Мама приболела... Сын приехал проведать маму. Интересно, чем больна мама....

Пол пациента: 
Тип патологии: 
Методы исследования: 

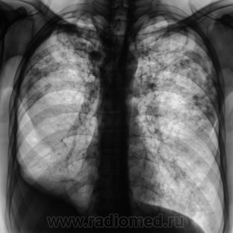
Мужчина, работает в областном центре, "в охране". Приехал проведать маму, так как мама заболела. На 3 день почувствовал себя "не очень" и решил обратиться в местную поликлинику к терапевту. В регистратуре выяснили, что мужчина в течение 3-х лет профилактическую флюорографию не проходил и направили во флюорографический кабинет.

Сразу-же, после производства флюорограммы, пациент был дообследован в рентгенодиагностическом кабинете согласно стандарту.

Сразу возник вопрос, а чем-же больна мама?

  • https://radiomed.ru/sites/default/files/styles/case_slider_image/public/user/12/2.P4190010.JPG?itok=mEE43HKy
  • https://radiomed.ru/sites/default/files/styles/case_slider_image/public/user/12/3.P4190011.JPG?itok=Q5m0lU5B
  • https://radiomed.ru/sites/default/files/styles/case_slider_image/public/user/12/4.P4190012.JPG?itok=cOlsxZtT
ID:3145
Юрич аватар
Не на сайте
Был на сайте: 6 лет 7 месяцев назад
Зарегистрирован: 17.01.2010 - 09:55
Публикации: 351

и не только "наверно" мама...  Валентин Львович, мне страшно где вы работаете и живете ( шутка , может неудачная). Сколько в день или в неделю вы выявляете картину туберкулеза? Может, конечно, и в других регионах такое же - я не знаю. не сильно знаком с проф осмотрами на флю. Иногда подрабатываю - пишу флю с поликлиник (до 50 -60 штук в день) - находки подобные вашим не видел ( не хочется конечно, думать что пропускаю). хотя такие картинки пропустить сложно. Да и в нашей гор больнице  - не так уж часто такие тубари.

Катенёв Валентин Львович аватар
Не на сайте
Был на сайте: 7 лет 3 месяцев назад
Зарегистрирован: 22.03.2008 - 22:15
Публикации: 54876

Данный пациент не наш, он из областного центра.

А у нас, мы просто начали "чистить ямы", в которых обитает все непотребство, но я думаю, что общими усилиями вычистим.

july аватар
Не на сайте
Был на сайте: 13 лет 5 месяцев назад
Зарегистрирован: 14.04.2010 - 14:47
Публикации: 17

Добрый вечер! Не знаю, где живете и работаете вы, но я описываю в различных интерпретациях подобные "картины" почти ежедневно.Ой-ой-ой

Катенёв Валентин Львович аватар
Не на сайте
Был на сайте: 7 лет 3 месяцев назад
Зарегистрирован: 22.03.2008 - 22:15
Публикации: 54876

"Благополучность по туберкулёзу" в некоторых регионах связана, по всей видимости с тем, что ежегодно осматриваются одн и те же люди, а "яма" - не обследованные 2 и более лет "живет" сама по себе. Ведь для отчетности, необходимо осмотреть 65 - 70 % от населения. И, мы на практике, убедились в пагубности такой тенденции.

Лора аватар
Не на сайте
Был на сайте: 15 лет 9 месяцев назад
Зарегистрирован: 13.04.2010 - 17:39
Публикации: 31

добрый день. мама как раз может и не болеть.а у ее сына хороший инфильтративный туб-з с распадом и обсеменением,но процесс не "свежий",есть объемное уменьшение в\д справа,нет перикавитарной инфильтрации,но активный. из вновь приобретенной патологии-экссуд.плеврит справа. немного удивляет:б-ой из области,скорее всего "обязательный контингент" ,и рфо более 3лет.иногда из иту приходят с меньшими процессами. в мокроте нашли куб?

 

 

Больной от вскрытия отказался, выписывается под наблюдение участкового патологоанатома...

Катенёв Валентин Львович аватар
Не на сайте
Был на сайте: 7 лет 3 месяцев назад
Зарегистрирован: 22.03.2008 - 22:15
Публикации: 54876

Вы считаете, что это инфильтративный?

Лора аватар
Не на сайте
Был на сайте: 15 лет 9 месяцев назад
Зарегистрирован: 13.04.2010 - 17:39
Публикации: 31

если учитывать" ритуальные танцы" и отношение к в\выявл. запущенным случаям,то у впервые выявленного б-го даже при такой  р-картине "не рекомендуется "сразу выставлять фкт или цирротич. туб-з. валентин львович,можно спросить:"как вы относитесь к централизации фл-службы ,н-р,на базе тубдиспансера?" спасибо.

Больной от вскрытия отказался, выписывается под наблюдение участкового патологоанатома...

Катенёв Валентин Львович аватар
Не на сайте
Был на сайте: 7 лет 3 месяцев назад
Зарегистрирован: 22.03.2008 - 22:15
Публикации: 54876

1. Я выставил без "всяких" фиброзно-кавернозный. Далее коллеги-фтизиатры разберутся.

2. Флюорографическую службу "территориального объединения" можно организовать и при туб, диспансере, что очень желательно, но и при ЛПУ общего профиля. Суть не в том "где", при "тубе" конечно лучше, но главным являются - кадры, именно их укомплектованность, достойная аппаратура, серьёзное (не для отчета) отношение к работе. Убедился, что организационные мероприятия и скурпулёзный учет, являются альфой и омегой работы данной службы.

Vikkur аватар
Не на сайте
Был на сайте: 4 года 10 месяцев назад
Зарегистрирован: 24.09.2009 - 14:34
Публикации: 1749

Нельзя В.Л с Вами не согласиться.. и то что ФКТ и если бы это было этично, можно сказать что в 99,9%  ВК+. На счёт "первичной службы" в ЛПУ, централизация рядом с туб. диспансером возможна только в небольших населенных пунктах. А в городах только на базе районых ЛПУ, иначе никаго контакта с населением.

Виктор.

Катенёв Валентин Львович аватар
Не на сайте
Был на сайте: 7 лет 3 месяцев назад
Зарегистрирован: 22.03.2008 - 22:15
Публикации: 54876

Vikkur wrote:

Нельзя В.Л с Вами не согласиться.. и то что ФКТ и если бы это было этично, можно сказать что в 99,9%  ВК+. На счёт "первичной службы" в ЛПУ, централизация рядом с туб. диспансером возможна только в небольших населенных пунктах. А в городах только на базе районых ЛПУ, иначе никаго контакта с населением.

Фтизиатры согласились с ФКТ, палки при микроскопии - море.

Катенёв Валентин Львович аватар
Не на сайте
Был на сайте: 7 лет 3 месяцев назад
Зарегистрирован: 22.03.2008 - 22:15
Публикации: 54876

По поводу организации службы, спорить не буду. Все будет зависеть от местных условий и от оснащенности аппаратурой.

Пример - В ЛПУ передвижка - "Чепель" пленочный, в "ТУБЕ" - цифра на "Камазе" - это микропример.