В.Л. Катенёв
Туберкулома верхней доли левого лёгкого в фазе распада.
(Рентгенологическое отделение МУЗ «Красногвардейская центральная районная больница», г. Бирюч Белгородской области).
Пациент, находящийся на учёте в туб. кабинете, направлен на плановое рентгенологическое исследование с целью динамического наблюдения.
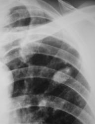
На обзорной рентгенограмме органов грудной полости, произведенной в прямой стандартной проекции, справа на верхушке определяются отдельные, средних размеров очаги.
Слева (иллюстрация 1) определяется некоторое снижение прозрачности верхушки за счет нежного фиброза, на фоне чего дифференцируются отдельные очаги средней интенсивности. Во 2 межреберье определяется овальной формы фокусная тень неоднородной структуры, с очаговыми уплотнениями и вкраплениями извести, с эксцентричным просветлением, с нечеткими контурами. От данной фокусной тени к корню левого лёгкого визуализируется «дорожка». Несколько каудальнее и латеральнее, указанной фокусной тени, в 3 межреберье определяются мелкие кольцевидные структуры по типу кавернизировавшихся очагов.

Иллюстрации 2, 3. Фрагменты рентгенограммы с увеличением. Четко определяется неоднородность структуры фокусной тени, с нечеткостью контура, с наличием эксцентрически расположенной полостью распада.
Иллюстрации 4, 5. Фрагмент рентгенограммы – 3 межреберье – очаги в фазе кавернизации.
На томограмме (иллюстрация 6) и фрагментах томограмм с увеличением (иллюстрации 7, 8) чётко дифференцируется тень туберкуломы неоднородной структуры, с глыбчатыми участками уплотнения и известковыми включениями, с участками просветления.

Контуры нечеткие. Короткие «лучики» по нижнему и нижне-медиальному краю.
Какие мнения будут?