Нашей коллегой, Рыбаковой Людмилой Александровной, представлено интересное наблюдение - "Злокачественная остеообластокластома левой плечевой кости". Наблюдение в динамике - до - и после лечения.
ДО ЛЕЧЕНИЯ,









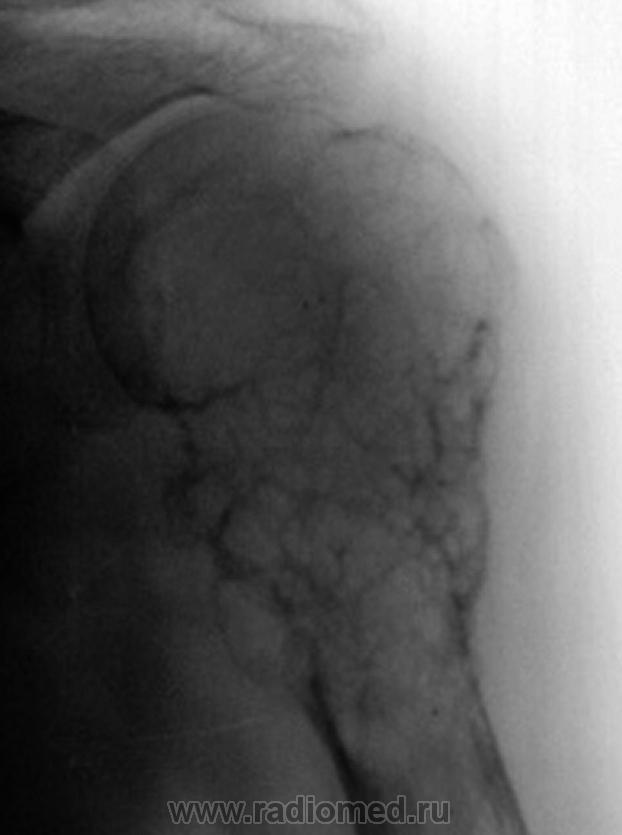
После лечения (аллотрансплантат и металлоостеосинтез).

А аллотрансплантат фактически являет собой проксимальную/2 плечевой кости, включая головку и суставную поверхность? А есть ли у Вас наблюдения отдаленных результатов такого лечения: через 5,10,20 лет?
а это что было? цитата?
"самоуверенность дилетантов - предмет зависти профессионалов"
Здравствуйте Татьяна Валентиновна!
Автор поместил этот случай в "набор", но мне случай показался весьма интересным, и по - этому, я взял на себя смелость, выставить его в виде "отдельного" и перенес Ваш комментарий, так как на него "ответ автора случая" не последовал.
а, спасибо, буду ждать ответ...
"самоуверенность дилетантов - предмет зависти профессионалов"
Да придется подождать.С ответом позже.Не могу найти врача,проводившего операцию.
Спасибо, подожду. Спрашиваю потому, что раньше у нас применялась подобная методика, но результат не устроил, как в плане приживления аллотрансплантата, так и в плане функции конечности. Сейчас в аналогичном случае использовали бы или аутотрансплантат или эндопротез, а аллотрансплантаты у нас применяются в сочетании с цементом при околосуставных или краевых резекциях.
P.S. Людмила Александровна, если не секрет, а Вы где работаете?
"самоуверенность дилетантов - предмет зависти профессионалов"
Уважаемая Татьяна Валентиновна!
Я тоже не знаю, где работает Людмила Александровна. Но вот, в одном из комментов прозвучала такая фраза: "в общем так и приходится ,работая в онкологическом диспансере,встречаться и с соматическими больными", так, что я думаю, она Ваша коллега и "по профилю".
Совершенно верно - это консервмированный трансплантант (заказ из ЦИТО)представляет собой проксимальную часть плечевой кости.
Людмила Александровна, а какие отдаленные результаты лечения? Аллотрансплантат обычно не очень хорошо срастается с костью, иногда - лизируется
"самоуверенность дилетантов - предмет зависти профессионалов"
Наша клиника еще не имеет отдаленных результатов.Отделение онкотравматологии работает только несколько месяцев. Раньше таких больных оперировали в клинике медицинского универтитета.Так что придется ждать.
А эту пациентку прооперировали в мае 2009г.Сейчас находится на химиотерапевтическом лечении,последний снимок выполнен в сентябре,пока все на месте.
Беседовала с лечащим врачем, он сказал протовоположное по поводу приживления трансплантанта.
Я так понимаю, что Вы тоже работаете в онкологической службе,любопытно узнать где и как организована работа вашего отделения?Заранее спасибо. Если не трудно,отправьте комментрарий на почтовый ящик.
Решил "освежить" случай...