Пол пациента:
Тип патологии:
Область исследования:
Методы исследования:
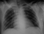
Мужчина 31 г., множественные ножевые ранения боковой стенки живота и грудной клетки справа.
Что можно сказать по данному снимку (на вторые сутки после травмы, сидя)?
Цель публикации:
Верификация:
Снимок на выдохе или не глубоком вдохе ( боль) искали пневмоторакс. Не отведенные лопатки. Расширение верхнего средостения справа, думаю связано с поворотом. Плотные очаги. Интерес ко 2 межреберью справа, фокусная тень?. Боковой, рентен контроль.
Вроде страшного ничего нет. Смущает расширение верхнего средостения вправо, видимо вследствие укладки. Предположу добавочную долю v.azygos
+1
При такой рентгенкартине УЗИ дает следующее изображение....гидроторакс объемом 500 мл
Это ни чему не противоречит, сделайте боковой, латеро,получите туже самую информацию. Да, большими затратами.
И более перспективно в плане предполагаемой пункции, если она показана, именно боковой и латеро.
"Слушай всех, прислушивайся к немногим, решай сам".©
Аппаратик видать передвижной и не самый...
Норму бы написал...
+ 1
Не нам судить…
Как Вы думаете, почему приличный объем жидкости на прямом снимке выглядет необычно? Нет линзообразного контура, горизонтального уровня, контуры "диафрагмы" четкие, а объем жидкости около 500 мл по КТ и результатам торокацентеза (все, снимок, кт, центез в один день).
По прямой рентгенограмме жидкость вообще бы не описал, ее можно только предполагать, зная анамнез ножевого ранения гр.клетки. Горизонтальный уровень будет тогда, когда будет еще и воздух в плевральной полости, Обычно четкая диафрагма(по прямой рентгеограмме) наблюдается когда жидкости менее 200мл, здесь чекая диафрагма и больший объем жидкости обусловлен малым вдохом( или рентген на выдохе).Развейте сомнения ( или подтвердите) по поводу добавочной доли v. azygos, у Вас есть КТ.
Видимо гемоторакс. Не свободная жидкость, по задней поверхности, поэтому может так выглядеть на прямом снимке. Легочная ткань частично "минусует" интенсивность затемнения на R-грамме.
Мне кажется, жидкость свободная, растекается по КТ, несоответствие картины прямой рентгенограммы и КТ. Да и вторые сутки, жидкость плотная, ниже уровня диафрагммы, да и торакоцентез.
При наличии возможности произвести УЗИ, считаю этот метод более информативным и щадящим, правда, имею опыт только при работе с детьми.
С уважением. Ильич.
Да, методика УЗИ болеее информативная и щадящая, но клиницисты предпочитают пунктировать имея рентгенологическую картину.
500 мл не всегда можно увидеть на снимках ОГК в нестандартном положении, да ещё в одной проекции. Где-то у Линденбратена написано что 500 мл можно увидеть только закрытие синуса. Хорошо, что не остановились на одном снимке, а сделали ряд диагностических исследований. Только непонятно, почему КТ сразу не провели?
Выставляю все снимки по порядку: 1 при поступлении лежа, 2 через 8 часов полусидя, 3 через 18 часов сидя, 4 на вторые сутки сидя, 5 после торакоцентеза стоя.
Отложились цифры, что на КТ можно увидеть 2.0 мл жидкости; рентгеноскопия, боковая, латерограмма выявляет 50.0 мл; по прямой рентгенограмме ( не четкий синус) выявляется 200.0 мл и более.
Какие показания КТ на второй день, и что Вы хотели выявить ?
И какие остаются вопросы?
Показание к кт: разногласие УЗИ и рентгенкартины, состояние печени и правой почки.
С чем связана необычная визуализация гемоторакса на прямом вертикальном снимке? Нет линзообразного затемнения, горизонтального уровня, контуры диафрагмы четкие - почему?
Не берусь судить, но:
1-у Вас нет разногласия УЗИ и ретген картины( нет бока, нет латерограммы со стороны ранения). Печень и почка не обсуждается.
2- #11.
Ниже или выше уровня диафрагмы (на третьем и четвертом снимках)?
"С чем связана необычная визуализация гемоторакса на прямом вертикальном снимке? Нет линзообразного затемнения, горизонтального уровня, контуры диафрагмы четкие - почему?"
Вместимость плевральной полости вариабельна, зависит от анатомических особенностей пациента. Например: глубокое каудальное анатомическое распространение заднего синуса, в котором легко 500мл спрячется. В данном сл. по прямому о синусе судить бесполезно и даже опсано. В прямой проекции снято мах.= 5ребро, а ниже? В подобных ситуациях преимущество имеет цифра, при которой меняя настройки можно иногда весь задний синус просмотреть. Либо "супер" вольтный ( серый) снимок на пленке, где "перебит" легочный рисунок, зато плотные тени выплывают лучше.
УЗИ дает 100% результат по жидкости от 5мл и является решающим фактором наличия оной в плевральной полости. Сомневаться можно в специалисте , а не в методе исследования.
Посмотрите еще раз внимательнее 2 и 3 снимок ....не жидкость ли это над диафрагмой?
Да, небольшая неточность #13, ниже купола диафрагмы( макс. высокая часть, как 1\2 шара). Жидкость на прямой рентгенограмме за диафрагмой( сзади). Даже небольшая полоска воздуха на 3 рентгенограмме, как мне кажется, ни чего не меняет. Но это мое видение.
Больному выполнен лапароцентез, на втором снимке полусидя свободный газ в брюшной полости. Вероятно, этот же свободный газ и на третьем снимке.
На первом и последнем снимках правый купол диафрагмы чуть ниже левого, на уровне верхнего края 10 позвонка.
На третьем снимке правый купол диафрагмы судя по полоске газа так же чуть ниже левого и так же на уровне 10 позвонка, а все что выше - кровь. Мне так представляется это картина.
Все может быть, и мне понятен ход Ваших рассуждений. Но не факт, что полоска воздуха( в брюшной полости) находится под наивысшей точкой купола диафрагмы. Если первая представленная Вами рентгенограмма не что иное как четвертая представленная в ряде, и #10 "все: "снимок, кт, центез в один день", то какой объем жидкости, доходящей до 4 ребра должен быть удален, пусть даже при высоком стоянии куполов диафрагмы с обеих сторон?. 2-3 литра, а это кровь, с клинической т.з.- это острая крововотеря, совместима ли она с жизнью, и способен ли больной усидеть во время торакоцентеза? Уточнитесь по датам рентгенограмм и дате торакоцентеза и дренирования плевральной полости (дренаж на последней рентгенограмме).
"Слушай всех, прислушивайся к немногим, решай сам".©
Полоска воздуха под куполом диафрагмы, как правило, располагается в наивысшей точке, что и демонстрирует второй снимок.
Да, представленный в начале темы снимок по счету четвертый, выполненный на 2-е сутки за 2 часа до торакоцентеза.
Если Вы заметили, на всех снимках за исключением четвертого, правый купол диафрагмы практически на уровне левого. На четвертом снимке полоски воздуха нет (рассосался или вышел через дренаж) ....если визуально представить эту полоску воздуха справа на уровне левого купола, то и получается, что жидкость над диафрагмой справа толщиной всего 3 см, т.е. соответствует 300-500 мл.
Я не помню случая, чтобы серповидное просветление (воздух) не располагалось непосредственно под куполом диафрагмы, полоска может быть намного толще, но она не может тонкой полоской перемещаться вниз и "расчленять" печень, это невозможно по законам физики....
Именно из-за того, что гидроторакс выглядет как контур диафрагмы, что не совсем привычно и должно иметь какое то объяснение и был приведен данный случай.
На первом и последнем снимке, где нет гидроторакса контур правого купола одинаковый - сферичный к синусу, а на 3 и 4 снимке гидроторакс иммитирует контур диафрагмы своей четкостью, но выдает себя конфигурацией у синуса....
- Мне кажется, второй снимок задний, оценить воздух в наивысшей точке купола диафрагмы не берусь.
- Оценить динамику между вторым( задним) и третьим прямым не берусь.
- О каком 3-х см слое жидкости можно говорить по 4-й рентгенограмме, если она выполнена за 2 часа до торакоцентеза, не определяется не полоска воздуха, не слой жидкости.
Диафрагма не плоская, она имеет форму 1\2 шара, добавьте сюда еще и жидкость в синусах.
+
Это Вы того..., сильно загнули уважаемый Мурат Максутович!
Это Вы явно не в "ту степь"..., по поводу 300 - 500 мл..., такое количество, как правило, в ортоположении и на качественном снимке, произведенном на стационарном аппарате узреть невозможно.
А, как Вы думаете, можно ли сравнивать рентгенограмму ОГК, произведенную передвижным аппаратом, в положении полусидя, не понятно, сделанную на вдохе, или на выдохе с данными КТ?
- Не понял Ваши сомнения по поводу 2 снимка....сомневаетесь серп ли это вообще или в наивысшей ли точке купола он расположен?
- Второй и третий снимок прямые
- Четвертый снимок отличается от третьего только отсутствием серпа, т.е. количество жидкости на обоих снимках приблизительно одинаковы, что подтверждало и УЗИ
- То, что при торакоцентезе получено 300 мл и в последующие два дня еще 200 мл всего вышло - 500 мл - это факт. По последнему снимку больше жидкости нет. Двухкратное УЗИ давало так же 500 мл.
Согласен .... УЗИ дважды видит 500 мл, по КТ видно 500 мл, при дренировании - вышло 500 мл.... почему эти 500 мл на качественном третьем снимке выглядят именно так - клинообразной полоской затемнения над куполом диафрагмы? Основание клина направлено к правому синусу.
Может ли эта клиновидная полоска затемнения над куполом диафрагмы отражать нижнюю (диафрагмальную) поверхность нижней доли правого легкого из-за сочетания гемотракса с пневмотораксом (на верхушке правого легкого есть краевой пневмоторакс)?
Могло субвисцеральное кровоизлияние или пленка свернувшегося гемотракса так визуализировать нижнюю поверхность нижней доли?
Ниже снимок другого больного с гемопневмотораксом, мы его обсуждали 4 года назад....над левым куполом диафрагмы еще две тени контуров нижней поверхности нижней доли левого легкого (снимок лежа). https://radiomed.ru/cases/sochetannaya-travma-grudi
Я восхишаюсь вашей дотошностью, но большая ли диагностическая польза от того "субвисцеральное кровоизлияние" или "пленка свернувшегося гемоторакса" "визуализирует нижнюю поверхность нижней доли "???? И еще, пожалуйста, если не трудно, объясните: как можно насухо выкачать жидкость из плевральной полости???.
Когда больной в крайне тяжелом состоянии, то любая лишняя или запоздалая манипуляция может решить его судьбу. Не всегда возможно сделать кт, особенно если АД больного нестабильное. Приходится полагаться только на рентген лежа, фанендоскоп, сатурацию. "Обманывают" и первое, и второе, и третье. УЗИ то же не безгрешно. Поэтому любая мелочь может помочь в пользу правильного решения.
У больного стоял дренаж, по нему все и вытекло за три дня, при удачной пункции тоже удается все удалить. Я иногда трачу от 30 до 40 мин на одну пункцию при удалении 300-500 мл, неспеша в такт дыханию.
Интересное наблюдение, интересные комментарии. Спасибо.
Спасибо.
Спасибо всем за диалог!
Последние комментарии, я полагаю, отражают согласие с предлагаемой мной версией....
Мой последний комментарий отразил согласие как с одной из предролагаемых версий, без уточнения в большей или меньшей степени вероятности, с учетом многократно проведенных в прошлом плевральных пункций. Не всегда предположение соответствует согласию. Спасибо.
Уважаемый Мурат Максутович!
Извините, что не сразу включился в обсуждение, отпуск - дело святое))).
Теперь по сути.
КРАЙНЕ негативно отношусь к снимкам в положении СИДЯ и ПОЛУСИДЯ в условиях палаты. Лаборанты ДАЛЕКО НЕ ВСЕГДА следят за корректным НАПРАВЛЕНИЕМ центрального луча. Посему, как правило, он направлен под углом к фронтальной плоскости, а это ЧРЕВАТО ошибками из-за ИСКАЖЕНИЯ картины.
При одинаковом количестве жидкости картина будет отличаться, иногда - очень существенно; вот и причина "расхождений" с данными УЗИ и КТ (это без учета специфичности этих методов).
С неизменным уважением.
Болезни ног: виды, симптомы, причины, профилактика и лечение
Вот и сказано, и вполне дипломатически, Последнее Слово, под которым подпишится любой уважающий...нет не себя..., а клиническую рентгенологию врач-рентгенолог.