Пол пациента:
Тип патологии:
Область исследования:
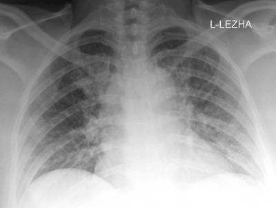
Вчера на дежурстве описывал снимочки сделаные палатным аппаратом на месте, в кардио-реанимации, пациентка 51 года, поступила в ОКБ в экстренном порядке с предворительныи диагнозом: ИБС. Острый коронарный синдром. Вданном случае имеет место быть случайной находке, дальше конечно больше, но пока предоставлю снимок обзорный органов грудной клетки, для размышления:
Чуть позже более существенное выложу, а пока ваше мнение?
Справа на уровне 3 мребра визуализируется теневой синдром "круглая тень".
И, как всегда, без бокового снимка, судить о субстрате данного скиалогического образования не представляется возможным, ибо может быть все, что угодно, вплоть до образования на коже.
Всё верно, уважаемый Валентин Львович, фокусное затемнение малой интенсивности, при этом смотриться с ровными и чёткими контурами. Могу гарантировать вам, что это не образование на коже.
"Знаешь, у некоторых врачей есть комплекс мессии — им необходимо спасать мир. А у тебя комплекс Рубика — тебе необходимо решать головоломки."
Т.Е., Вы четко уверены, что это внутри грудной полости?
С учетом величины образования и его весьма малой интенсивности тени, почти "нежной" тени, с довольно ровными, но нечеткими контурами, рискну предположить, что данная тень, скорее, имеет принадлежной к плевре - к костальной или интерлобарной, но это всего лишь предположение, ибо Вы сами прекрасно понимаете, что без правой боковой рентгенограммы, любой рентгенолог не отважится сделать даже приблизительное предположение о патологическом процессе или патологическом состоянии.
Дело в том, что обследование пациентки по этому образованию является плановым, я по рекомендовал МСКТ-ОГК, но дежурные кардиологи, поскольку якобы у пациентки жгучие за грудинные боли не купирующиеся, решили просто всё в подряд исключить: аневризму аорты и ТЭЛА. Пациентку мы взяли на КТ, за одно и легкие взглянули:
как видно данное образование распологается в S3 и связано с плеврой, плотностью 20HU при контрастировании до 35HU, т.е. накапливает контраст.
"Знаешь, у некоторых врачей есть комплекс мессии — им необходимо спасать мир. А у тебя комплекс Рубика — тебе необходимо решать головоломки."
Вот как интересно. Интуитивно оказался прав. А на Ваш взгляд коллега, что это за "зверь".
Не заводит меня образование, в плане клинического его значения
Зри в корень!
Добавил бы обеднение сосудистого рисунка в верхней доле правого лёгкого, что позволяет предположить тромбоэмболию соответствующей ветви лёгочной артерии, и овальную кольцевидную тень за I ребром справа, возможно с ребром связанную. Почему-то уважаемый v1tal показал нам КТ-ушки не всей верхней доли. Надеюсь добавит S1, S2.
Неоднозначно всё
Лично я написал, что данное больше за периферический рак. Конечно могу полностью верхнюю долю скинуть.
"Знаешь, у некоторых врачей есть комплекс мессии — им необходимо спасать мир. А у тебя комплекс Рубика — тебе необходимо решать головоломки."
Уважаемые коллеги. если Вы внимательно читали мои комментарии то я исключал ТЭЛА и аневризму аорты, дефектов наполнения в легочных артерий и в сегментарных и даже на уровне субсегментарных нет. Был проведена реконструкция с интервалом 2мм. Сканов 600 срезов.
Еще раз повторяюсь признаков ТЭЛА ни каких нет, даже на уровне D-димеров.
"Знаешь, у некоторых врачей есть комплекс мессии — им необходимо спасать мир. А у тебя комплекс Рубика — тебе необходимо решать головоломки."
Спасибо Виталий Валерьевич!
Я не буду "по сути" патологии, я просто хочу выразить Вам свою благодарность, что Вы так оперативно, "без размазывания" и тягомотины представили и рентгенограммы и данные КТ. Все становится понятно.
Еще раз большое спасибо.
А почему периферический рак соединен с плеврой ножкой.
Что планируется с пациентом "на будущее"?
По данной пациентке я просматриваю электронную историю болезни каждый день, пока намёка на взятие гистологии нет, онколог должен будет консультировать. Это может несколько затенуться, т.к. находка случайная и клинике не относится, но я прослежу.
"Знаешь, у некоторых врачей есть комплекс мессии — им необходимо спасать мир. А у тебя комплекс Рубика — тебе необходимо решать головоломки."
Спасибо за ответ.
Сегодня просмотрел электронную историю болезни, несколько удивлен и недоумеваю. пациентка была прооперирована вчера, вот протокол операции:
После обработки кожи, под ЭТН, передне- боковая торакотомия в 5 межреберье справа гармоничным скальпелем Ultrasision фирмы "Этикон" Гемостаз. При ревизии в верхней доле в S-3 опухолевидное образование до 2 см, плотное. Краевая резекция верхней доли аппаратом УО-60. Плевризация углов раны узловым викрил 3.0. Экспресс-биопсия: Туберкулома. Средняя и нижняя доли интактны. Гемостаз, аэростаз. Дренажи в 7 межреберье. Послойное ушивание раны. Ас. повязка.
Описание препарата Опухоль до 2 см с капсулой на разрезе желтого цвета.
мысли по поводу туберкулёмы были но где то на заднем плане, по поводу вопроса " вроде контраст накапливает а почему так?", обяснить это можно только одним вследствие малых размеров данного образования, степень насыщения давала окружающая фоновая лёгочная ткань.
Ещё раз убеждаюсь ни чего не возможного и не вероятного в рентгенологии нет.
"Знаешь, у некоторых врачей есть комплекс мессии — им необходимо спасать мир. А у тебя комплекс Рубика — тебе необходимо решать головоломки."
Экспресс-биопсия хорошая штука, но не окончательная. На мой взгляд, целесообразно дождаться окончательного результата.
Конечно, перед экспресс-биопсией нужно снять, но увы только шляпу, но не голову. На "туберкулому" (казеому) "СИЕ" меньше всего походит.
Окончательный результат гистологии -теберкулома!
"Знаешь, у некоторых врачей есть комплекс мессии — им необходимо спасать мир. А у тебя комплекс Рубика — тебе необходимо решать головоломки."
Очень интересное наблюдение.