Пол пациента:
Тип патологии:
Область исследования:
Методы исследования:
- https://radiomed.ru/sites/default/files/styles/case_slider_image/public/user/12/2.P5270015.JPG?itok=tGvk2HVQ
- https://radiomed.ru/sites/default/files/styles/case_slider_image/public/user/12/3.P5270015a.jpg?itok=QmFfZMwv
- https://radiomed.ru/sites/default/files/styles/case_slider_image/public/user/12/4.P5270017.JPG?itok=xk76kO-S
- https://radiomed.ru/sites/default/files/styles/case_slider_image/public/user/12/5.P5270016.JPG?itok=fPvo0ToO
- https://radiomed.ru/sites/default/files/styles/case_slider_image/public/user/12/5.P5270018.JPG?itok=npPUVK1q
- https://radiomed.ru/sites/default/files/styles/case_slider_image/public/user/12/6.P5270019.JPG?itok=UukZfRBj
- https://radiomed.ru/sites/default/files/styles/case_slider_image/public/user/12/7.P5270020.JPG?itok=uxnpgdy-
- https://radiomed.ru/sites/default/files/styles/case_slider_image/public/user/12/8.P5270021.JPG?itok=UWG4Wicl
- https://radiomed.ru/sites/default/files/styles/case_slider_image/public/user/12/9.P5270021a.jpg?itok=DxSxcoFF
ID:4182
Цель публикации:
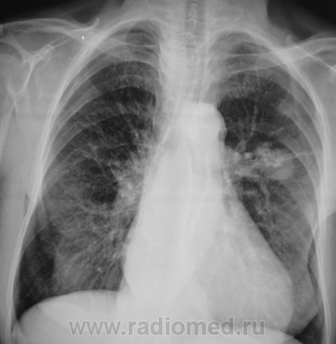
А клиника какова? ПО снимкам можно предположить и новообразование (как мне кажется наиболее вероятно) и туберкулому S6
Туберкулома Svi? Это врят ли.
Великое преймущество врача заключается в том, что он не обязан следовать собственным советам. ( А. Кристи)
Жалоб нет. Взята на контроль.
На какой контроль?
Великое преймущество врача заключается в том, что он не обязан следовать собственным советам. ( А. Кристи)
Помоему образование, тяжистость ну очень интересная.
С уважением Петренко В.Г.
Взята на контроль после прохождения флюорографии в этом году.
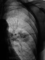
Похож на перефирический с централизацией...
Виктор.
Неоднородность, очень плотное... гамартрохондрома, тератома, а-v-аневризма... Мне недостаточно для диагностики
https://www.youtube.com/channel/UCBGxoBUOqUT_bFhSeUgtWEw
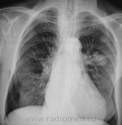
А ЧТО же было в начале (на ККФ)???
--------------
"Просто, по видимости, не видеть логики в очевидных вещах - это тоже одно из свойств некоторых умов, наряду с грустными думами о свойствах ума других." © Vega 08/10/2011
Дообследование бвло проведено в тот-же день, что и цифровая флюорограмма.
Здравствуйте, уважаемый Валентин Львович! Склоняюсь к мысли периферического новообразования. На томограммах хорошо виден патогномоничный симптом "тень на веревочке". Ну и остальное. Неровные, нечеткие контуры, неоднородная структура. Зло!
dok
Здравствуйте уважаемый Владимир Васильевич!
Ну, мы так и сделали, выставили "периферический". Пациент уже в областном ОД.
На прошлой неделе один в один случай был!!!
Чем закончилось, Валентин Львович?
В ООД был прооперирован, но дальнейшей судьбы не знаю.
Спасибо.