"Травма". Пациент направлен в рентгеновский кабинет хирургом.

Пол пациента: 
Тип патологии: 
Область исследования: 
Методы исследования: 

"Травма". Пациент направлен в рентгеновский кабинет хирургом.

  • https://radiomed.ru/sites/default/files/styles/case_slider_image/public/user/12/2.p8130031.jpg?itok=BXUW4ydi
  • https://radiomed.ru/sites/default/files/styles/case_slider_image/public/user/12/3.p8130033.jpg?itok=8uNzi1gk
  • https://radiomed.ru/sites/default/files/styles/case_slider_image/public/user/12/4.p8130032a.jpg?itok=w4DnajLs
  • https://radiomed.ru/sites/default/files/styles/case_slider_image/public/user/12/4.p8130033a.jpg?itok=RdfuJOIB
  • https://radiomed.ru/sites/default/files/styles/case_slider_image/public/user/12/5.p8130032.jpg?itok=WlKJ4kbF
ID:5410
stroganoff аватар
Не на сайте
Был на сайте: 15 лет 6 месяцев назад
Зарегистрирован: 26.05.2010 - 16:53
Публикации: 57

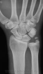
Перелом шиловидного отростка локтевой кости? Или я чего-то еще не замечаю?

Сан Саныч1 аватар
Не на сайте
Был на сайте: 1 год 3 месяцев назад
Зарегистрирован: 07.06.2010 - 21:17
Публикации: 2114

Без костно-травматических изменений. В данном случае либо неслияние ядра окостенения ш. отростка, либо б-нь Мюллера, тут уж клиницист должен д/д проводить.

Хочешь сделать что-то нормально - сделай это сам!

Грицько Виталий аватар
Не на сайте
Был на сайте: 9 лет 3 месяцев назад
Зарегистрирован: 05.01.2010 - 14:06
Публикации: 1058

Сан Саныч1 wrote:

Без костно-травматических изменений. В данном случае либо неслияние ядра окостенения ш. отростка, либо б-нь Мюллера, тут уж клиницист должен д/д проводить.

Поддержу не слияние, клиника травмы значит в пользу Мюллера данные вряд ли будут.

stovbav аватар
Не на сайте
Был на сайте: 2 года 6 месяцев назад
Зарегистрирован: 20.12.2009 - 17:28
Публикации: 7066

Без видимых костных повреждений; вариант окостенения шиловидного отростка локтевой кости.

Юрич аватар
Не на сайте
Был на сайте: 6 лет 9 месяцев назад
Зарегистрирован: 17.01.2010 - 09:55
Публикации: 351

А какой анамнез? жалобы? скажите, если это вариант окостенения , могут быть какие либо жалобы?

Катенёв Валентин Львович аватар
Не на сайте
Был на сайте: 7 лет 4 месяцев назад
Зарегистрирован: 22.03.2008 - 22:15
Публикации: 54876

Пациент предъявляет жалобы на боли и прочее необходимое... Рассказывает о наличии бывшей накануне травмы, со слов друга, сопровождавшего его, пациент "конкретный пацан" и "своего не упустит". Была сделана "цифра" и соответственно на сиаре увеличили изображение. Все ровненько, все прекрасно. Протокольно  написали "норму", пациент был недоволен, сначала угрожал, но потом спор прекратился. Он прекрасно знает о своём "состоянии" и время от времени этим пользуется, правда посещая разных врачей и вырывая записи из своей амбулаторной карты.

Вот такие дела...

Helios аватар
Не на сайте
Был на сайте: 11 месяцев 2 недели назад
Зарегистрирован: 06.08.2010 - 15:16
Публикации: 4417

Кстати, такие ситуации случаются и с лодыжками.Приходится с травматологами спорить.

Катенёв Валентин Львович аватар
Не на сайте
Был на сайте: 7 лет 4 месяцев назад
Зарегистрирован: 22.03.2008 - 22:15
Публикации: 54876

Helios wrote:

Кстати, такие ситуации случаются и с лодыжками.Приходится с травматологами спорить.

и В "ЛОР-практике" весбма часто...