Это сообщение является продолжением "ветки" -
http://www.radiomed.ru/cases/zakon-parnykh-sluchaiev
Конечно, весьма грустно, что в ряде случаев "малые формы" туберкулёза, и явного туберкулёза коллеги фтизиатры не желают забирать себе. Все убеждения рентгенолога во внимание не принимаются. Часто такие пациенты или исчезают из поля зрения или "возвращаются" с изменениями - "мама не горюй", сея палку направо, налево... и на все стороны.
По всей видимости, вышестоящие спец. ЛПУ доволно сильно "бьют" нижестоящих за "повышение заболеваемости", а кто получать желает?
Вот и шествует "ЕГО Величество" с высоко поднятой головой, презрительно взирая на всякие "фтизные" структуры, которым "бороться с ним надлежит", но они статистику блюдут...
А, надо-бы наоборот, за каждого выявленного, выявившему доплачивать (денег). Но, мы имеем то, что имеем.
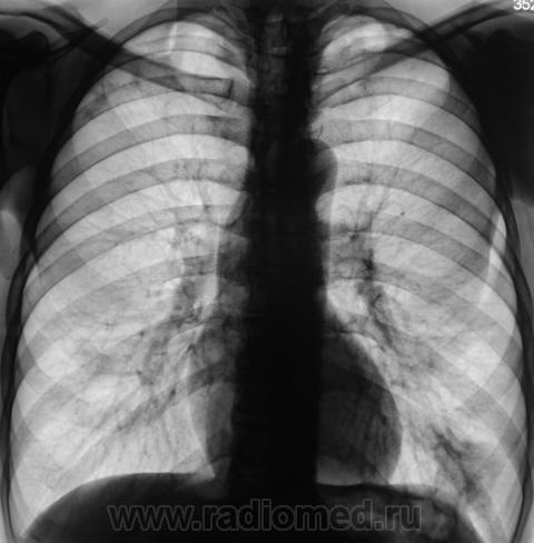
Данный случай не очень показателен, в плане грубых изменений или массивного поражения, но он типичен в плане тактики "первичного упорства фтизиатра".
Пациент, как чаще бывает, взят на контроль дообследован и отправлен к фтизиатру с диагнозом (предварительным) - очаговый туберкулёз.
Зову коллегу фтизиатра. Коллега не согласный, вещает, что мол-де "это" старое, очаги плотные (пациент не состоял и не состоит). Нет не наш - решение коллеги фтизиатра.
Томографируем.
Все одно "не мое" верещит коллега фтизиатр, занимаетесь тут "хрен знает чем"...
Пациент благополучно исчезает, но как свидетельствует пословица, что "Бог - не фраер", вдруг пациент появляется, проходит флюорографию для прохождения тех. осмотра автомобиля.
Конечно, берем на "контроль".
Зову коллегу фтизиатра. Коллега, весьма эмоционально вспоминает "свою маму", да и "маму пациента", что варнякает об инфильтративном, и о том, как такое могло статься, посылает пациента в областную контору, где все утверждается, пациент стационарно получает лечение.
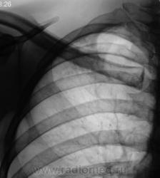
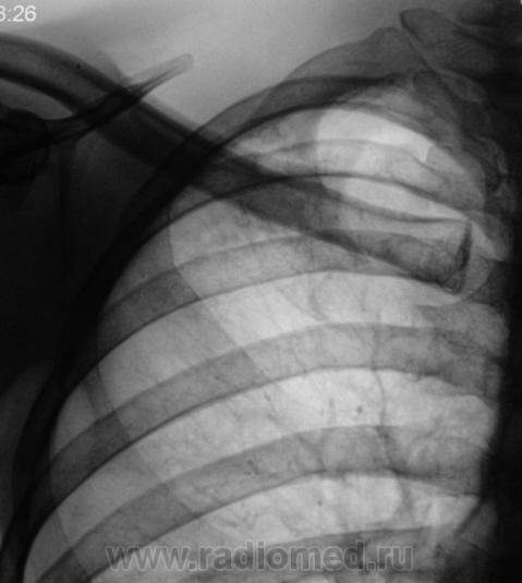
Прошло достаточное количество времени, и сегодня пациент пришел на плановое рентгенологическое исследование. Снимки ниже.
Интересно, если-бы пациент выпал-бы из поля зрения, этак годика на два?
а меня сегодня удивило, почему пациенту которому я сегодня выставил диагноз туберкулеза и направил в тубдиспансер за консультацию фтизиатра нужно платить 500р? Пациент, молодой мужчина, который переезжает в наш город из другого, делает регистрацию, пока ее нет...но он гражданин РФ, и полис медицинский у него разве не действует по всей территории России? А если предположить, что у этого пациента нет денег, и он не пойдет никуда? ладно он болен, плохо конечно, но он же представляет угрозу для остальных? не пойму, по-моему мнению ПТД должны брать таких больных бесплатно! Также вопрос, куда девать граждан других стран, я сейчас про гастробайтеров, у меня такие частенько по хозрасчету идут...городской ПТД от них отказывается, посылает в областной, а в областном только за деньги...а этим пациентам порою плеют на себя, им главное работа...был такой и у меня, я ему объясняю, что лечиться надо, а он мне одно..."у меня работа"...порой кажется, что туповатые они какие-то...извините...
Для фтизиатра "данной территории" важна только "территория" и больные, находящиеся под его контролем. А вот если, приехавший из Мурманска, на лето к родственникам в отпуск, и у него выявили "ой-ой-ой", какие действия местного фтизиатра будут....?
ну это понятно его в Мурманск отправят, так, а что с людьми которые по средине и там не прописанны и тут регистрации нет ...НЕ ЗНАЮ! По мне так, брать таких надо, они кашляю и чихають на НАС ( и на фтизиатра тоже!!!)
По большому счету такими должны заниматься фтизиатры.
по поводу гостробайтеров у нас однозначно департируют! а бомжей лечат бесплатно..
Виктор.
У нас тоже департируют, но они узнав об этом "ложатся на дно", и сеют палку...
Здраствуйте Валентин Львович! мы при заполнении формы при прохождении иностранцами ЦФЛ, берем все возможные данные виза, дата прибытия, обязательно прописку,при исчезновении подключается милиция, в Хабаровске много иностранцев (как китайцев так и из бывших союзных республик) и система разработана эфективно.
Виктор.
Здравствуйте Виктор Владимирович!
Об "иностранцах" особый разговор, все одно у нас "повторно" флюорографию проходят - много чего всякого - разного находим.
"Это" свои, местные, заболеваемость растет, а "власть придержащие" изволят "не замечать". Ох дождутся...
А нам приказали, если пациент територеально не наш, отправлять и не портить статистику, не записывать в журналы дообследования.
А слева и без врачей не плохо рассосалось.
Вот сволочи! Я имею в виде тех, кто приказал!
А, ведь на всяких "гоблинских" форумах при "начальстве", ратуют за "правильное" здравоохранение...
Вы правы Виталий Орестович! Вот если-бы все "рассасывалось"...