ТВС-?

Пол пациента: 
Методы исследования: 

Пациентка 1954 г рождения, в пол-ке обследуется по поводу остеохондроза позвоночника, пришла на проф.ЦФЛГ...

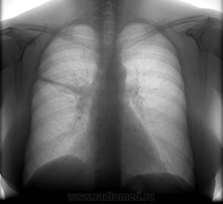
Описываю как,...определяется справа в верхней доле, преимущественно S2-S3 инфильтрация легочной ткани, средней интенсивности,с нечетким верхним контуром, нижний контур представлен малой междолевой плеврой, выпот по малой междолевой плевре. Верхняя доля правого легкого уменьшена в объеме. Головка корня сливается с тенью инфильтрата, остальные его структурные элементы хорошо дифференцируются. Для исключения специфического процесса в правом легком дообследование в ПТД. Вопрос - верно ли я мыслю...? или банальная пневмония? Клиники нет.

  • https://radiomed.ru/sites/default/files/styles/case_slider_image/public/user/6151/68616_0.jpg?itok=gxphb2gv
ID:7921
Almo аватар
Не на сайте
Был на сайте: 3 дня 22 часа назад
Зарегистрирован: 28.09.2008 - 18:50
Публикации: 8295

Инфильтративные изменения  расположены преимущественно в S3, что нехарактерно для туберкулёза. Если нет клиники, можно предположить остаточные изменения после перенсённой пневмонии (если собрать анамнез, то пациентка скорее всего раскажет, что у неё что-то было простудное...).

poly аватар
Не на сайте
Был на сайте: 10 лет 3 месяцев назад
Зарегистрирован: 10.09.2010 - 17:09
Публикации: 84

да согласен, в S3 не подумав написал, не характерно но бывает, я про локализацию...думаю все-таки подстраховаться, так же нельзя оставить

Almo аватар
Не на сайте
Был на сайте: 3 дня 22 часа назад
Зарегистрирован: 28.09.2008 - 18:50
Публикации: 8295

Вы можете, в заключении выставить диффериально-диагностический ряд: "Больше данных за исход перенсённой пневмонии, дифференцировать с туберкулёзом".

Андрей Юрьевич аватар
Не на сайте
Был на сайте: 2 месяцев 1 неделя назад
Зарегистрирован: 16.11.2008 - 22:16
Публикации: 18101

Отличное описание, а с выводом не согласен. Нельзя исключить центральный рак верхней доли правого легкого с субсегментарным ателектазом S3.

Андрей Юрьевич

poly аватар
Не на сайте
Был на сайте: 10 лет 3 месяцев назад
Зарегистрирован: 10.09.2010 - 17:09
Публикации: 84

так надо от чего начинать, я думал пошлю в ПТД, там если исключат свою патологию, будем дальше решать...тем более у них там томограф есть, а у нас нет...заодно они нам помогут отдифферинцировать...

Андрей Юрьевич аватар
Не на сайте
Был на сайте: 2 месяцев 1 неделя назад
Зарегистрирован: 16.11.2008 - 22:16
Публикации: 18101

poly wrote:

так надо от чего начинать, я думал пошлю в ПТД, там если исключат свою патологию, будем дальше решать...тем более у них там томограф есть, а у нас нет...заодно они нам помогут отдифферинцировать...

Вы хотите, чтобы они за Вас делали томограммы? Тщетные надежды...  Они с порога напишут, что данных за ТВС нет; тем более, что это действительно так.

Андрей Юрьевич

poly аватар
Не на сайте
Был на сайте: 10 лет 3 месяцев назад
Зарегистрирован: 10.09.2010 - 17:09
Публикации: 84

Андрей Юрьевич wrote:

poly wrote:

так надо от чего начинать, я думал пошлю в ПТД, там если исключат свою патологию, будем дальше решать...тем более у них там томограф есть, а у нас нет...заодно они нам помогут отдифферинцировать...

Вы хотите, чтобы они за Вас делали томограммы? Тщетные надежды...  Они с порога напишут, что данных за ТВС нет; тем более, что это действительно так.

За нас нет, но у нас нет даже линейного томографа...но в нашем ПТД куда мы отправляем больных делают, и не пишут с порога ничего...

Андрей Юрьевич аватар
Не на сайте
Был на сайте: 2 месяцев 1 неделя назад
Зарегистрирован: 16.11.2008 - 22:16
Публикации: 18101

poly wrote:

За нас нет, но у нас нет даже линейного томографа...но в нашем ПТД куда мы отправляем больных делают, и не пишут с порога ничего...

Ну, что сказать? Добрые люди

Андрей Юрьевич

poly аватар
Не на сайте
Был на сайте: 10 лет 3 месяцев назад
Зарегистрирован: 10.09.2010 - 17:09
Публикации: 84

да, я смотрю тут фтизиатров не любят...а у нас каждый месяц приходят фтизиатры с нашего ПТД и проверяют наши журналы передачи больных в ПТД, смотрят если заключительные диагнозы...если нет ругают=)...кое-какие диагнозы фтизиатр при мне по памяти вписывал, вот так они знают больных...ну может быть потому, что у нас фтизиатры это пожилые, опытные врачи, со старой закалкой...

poly аватар
Не на сайте
Был на сайте: 10 лет 3 месяцев назад
Зарегистрирован: 10.09.2010 - 17:09
Публикации: 84

еще и жалуются, говорит мне, что-то за прошлый месяц мало туберкулеза)

Грицько Виталий аватар
Не на сайте
Был на сайте: 9 лет 3 месяцев назад
Зарегистрирован: 05.01.2010 - 14:06
Публикации: 1058

poly wrote:

так надо от чего начинать, я думал пошлю в ПТД, там если исключат свою патологию, будем дальше решать...тем более у них там томограф есть, а у нас нет...заодно они нам помогут отдифферинцировать...

А зачем человека возможно без tbs а с онко или пневмонией отправлять в самый большой очаг области, tbs хорошо сядет на заинтересованный фон? Сдать общий анализ мокроты, контроль после а/б терапии.

Helios аватар
Не на сайте
Был на сайте: 11 месяцев 1 неделя назад
Зарегистрирован: 06.08.2010 - 15:16
Публикации: 4417

Андрей Юрьевич wrote:
Отличное описание, а с выводом не согласен. Нельзя исключить центральный рак верхней доли правого легкого с субсегментарным ателектазом S3.
И мне тоже видится именно так.Архив+ФБС,

Виктор ВК аватар
Не на сайте
Был на сайте: 15 лет 3 дня назад
Зарегистрирован: 01.10.2010 - 15:34
Публикации: 114

думается для начало пролечить недельки 2 широким спектром и затем контроль..

Виктор Владимирович К.

lupan аватар
Не на сайте
Был на сайте: 7 лет 1 месяц назад
Зарегистрирован: 07.01.2010 - 17:17
Публикации: 1406

Виктор ВК wrote:
думается для начало пролечить недельки 2 широким спектром и затем контроль..

А что лечить-то? Клиники нет, по мне - это фиброателектаз.

 1. Потрясти насчет анамнеза.

 2. Исключить обструкцию бронха.

Великое преймущество врача заключается в том, что он не обязан следовать собственным советам. ( А. Кристи)

poly аватар
Не на сайте
Был на сайте: 10 лет 3 месяцев назад
Зарегистрирован: 10.09.2010 - 17:09
Публикации: 84

вот меня клиника и смущает,вернее ее отсутствие.. скорее всего я погорячился отправив в ПТД, надо было пролечить антибиотиками...а потом решать, что делать...просто бессит, что у нас нет томографа без него,как без рук...посмотреть бы срезы...может что и сидит..

poly аватар
Не на сайте
Был на сайте: 10 лет 3 месяцев назад
Зарегистрирован: 10.09.2010 - 17:09
Публикации: 84

Катенёв Валентин Львович wrote:

Снимки.

 

однозначно, не могу сказать без томограмм, отправил для этого в ПТД, там у нас их делают...тоже склоняюсь к СА, но не могу исключить ТВС, продолжение следует...о результатах обследования напишу...

poly аватар
Не на сайте
Был на сайте: 10 лет 3 месяцев назад
Зарегистрирован: 10.09.2010 - 17:09
Публикации: 84

Катенёв Валентин Львович wrote:

В плане "тубера" Вас смущают очаги в 1 и 2 межреберьях, а также, возможно, в шестерке справа?

это вы к чему? я понимаю у вас опыт за плечами, у меня пока нет, но давайте без сaрказма...

Катенёв Валентин Львович аватар
Не на сайте
Был на сайте: 7 лет 4 месяцев назад
Зарегистрирован: 22.03.2008 - 22:15
Публикации: 54876

Вы видете в моем выражении "сарказм"?

Вы сильно ошибаетесь.

poly аватар
Не на сайте
Был на сайте: 10 лет 3 месяцев назад
Зарегистрирован: 10.09.2010 - 17:09
Публикации: 84

описался, сарказм...надеюсь, что не так

Almo аватар
Не на сайте
Был на сайте: 3 дня 22 часа назад
Зарегистрирован: 28.09.2008 - 18:50
Публикации: 8295

Уважаемый Андрей Юрьевич, с вами нельзя не согласиться, ещё раз пересмотрел снимки- действительно, нельзя исключить ценральный рак верхней доли с субсегментарным ателектазом S3.