Пол пациента:
Тип патологии:
Область исследования:
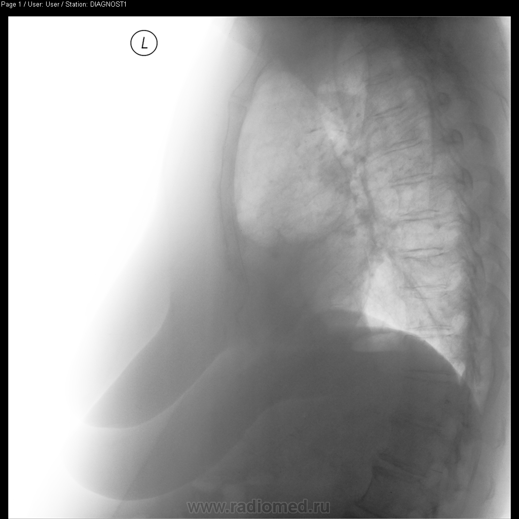
Женщина поступила в пульмонологическое отделение 14.10.2010 с жалобами на одышку, субфебрильную температуру в течние 2 недель, кашель с небольшим колчиеством слизстой мокроты. На момент поступления лейкоцитоз до 12х10`6, c небольшим палочкоядерным сдвигом. СОЭ - до 35
На момент 2-й рентгенографии (21.10.2010) - анализы в норме, кроме СОЭ (~30). Кашель субъективно стал меньше.
Что бы Вы думали по данным рентгенограмам и какая была бы ваша дальнейшая тактика.
А где снимки?
Не забывайте, пожалуйста, нажимать кнопочку "вставить", иначе изображения не публикуются!
Добрый админ
Показано контрастное исследование ЖКТ
Хм, а что нам даст контрастное исследование ЖКТ?
Пневмония в S10 слева разрешилась, корни - не очень (лимфоузлы - сомневаюсь), справа в кардио-диафрагмальном синусе - интересные "спайки?" По возможности (и при наличие жалоб - как понял, самочувствие улучшилось) сделать бы КТ (если не жалко)...
--------------
"Просто, по видимости, не видеть логики в очевидных вещах - это тоже одно из свойств некоторых умов, наряду с грустными думами о свойствах ума других." © Vega 08/10/2011
отправил бы на участок и контроль через 1 мес..
Виктор Владимирович К.
Нужно в первую очередь исключить онкологию! КТ!!!
В смысле, избыточная жировая клетчатка в левом кардио-диафрагмальном углу. Либо, менее вероятно, но всё же - осумкованный выпот.
https://www.youtube.com/channel/UCBGxoBUOqUT_bFhSeUgtWEw
Пы.Сы: Подсмотрел в radiographia.ru у besliu!!!
На мой взгляд, на первом месте ателектаз, из этого многое вытекает. Следовательно, учитывая свои возможности, томографирую, возможно, нахожу гиперплазированные лимфатические узлы и посылаем на консультацию к онкологу...
У большинства лиц преклонного возраста такое наблюдаем, особенно у женщин.
Если Вам не трудно, покажите стрелками ателектаз! Заранее спасибо!!!
присоединяюсь к просьбе указать на ателектаз...
Кстати, абдомино-медиастинальная липома - вероятна справа (левый кардиодиафрагмальный синус как раз "остренький").
--------------
"Просто, по видимости, не видеть логики в очевидных вещах - это тоже одно из свойств некоторых умов, наряду с грустными думами о свойствах ума других." © Vega 08/10/2011
Совсем забыл про исследование что выложил :) Вообщим, прямоугольная тень в проекции сердца - это хорошо развитая жировая клетчатка (причем развита с обеих сторон, чуть больше слева). У нас принято это назвать кардио-диафрагмальными липомами, но это никакие не липомы, просто - жир (жировые подушки как их обзывают зарубежом - "fat pad"). За счет этого у больной есть небольшие субсегментарные ателектазы с обеих сторон в S5 (веротяно за счет длительной компрессии). Также есть признаки хрон. бронхита. (утолщение стенок бронхов, их деформация).
Больной выполнил КТ (так как архива у нас предыдущего нет, и мне не очень нравились корни). Оказалось, что все в принципе нормально (к сожалению не мого тогда выложить видеоролик КТ - не было доступно). Постараюсь выложить в скором времени.
Если есть какие вопросы по скиалогии на данных снимках - спрашивайте. По мере сил, покажу за счет чего формируется каждая из теней.
P.S. Максималисту RESPECT!
Вроде КТ этой больной (Ф.И.О. не посмотрел) описано (как скачать) в другой ветке (http://www.radiomed.ru/cases/1960#comment-42012)... Может путаю.
--------------
"Просто, по видимости, не видеть логики в очевидных вещах - это тоже одно из свойств некоторых умов, наряду с грустными думами о свойствах ума других." © Vega 08/10/2011