В одном из последних мед.журналов встретил схему дообследования детей с "гиперпробой". Там даже нет указаний на проведение обычной R-гр и лин.ТМГ - сразу начинают с КТ.
Хотелось бы узнать как в других ЛПУ поступают.
Кстати, специфика (тубер) подтвержден в областном детском туб учреждении. Единственно, что они усомнились в снимках, но не стали делать КТ (хотя КТ есть), сделали то, что было сделано и нами - обзор и "линейку".
А ТМГ?
Великое преймущество врача заключается в том, что он не обязан следовать собственным советам. ( А. Кристи)
Первый срез.
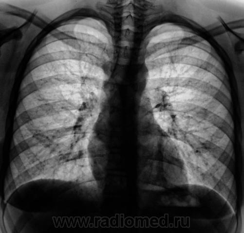
Ребенок направлен фтизиатром – «гиперпроба».
Сколько лет "ребенку"?
Второй срез.
Ребенку 12 лет.
Третий срез.
На левой верхушке очажки отсева.
Великое преймущество врача заключается в том, что он не обязан следовать собственным советам. ( А. Кристи)
Спасибо за высказанное мнение.
Отсева откуда?
https://www.instagram.com/pediatricradiology/
А Ваше мнение, есть очаги или нет?
Я не вижу.
https://www.instagram.com/pediatricradiology/
Спасибо за высказанное мнение.
В одном из последних мед.журналов встретил схему дообследования детей с "гиперпробой". Там даже нет указаний на проведение обычной R-гр и лин.ТМГ - сразу начинают с КТ. Хотелось бы узнать как в других ЛПУ поступают.
Ну, журнал - есть журнал. В журналвх сного чего пишут...
А, сразу КТ, так это явный перехлест.
Кстати, специфика (тубер) подтвержден в областном детском туб учреждении. Единственно, что они усомнились в снимках, но не стали делать КТ (хотя КТ есть), сделали то, что было сделано и нами - обзор и "линейку".
Я написал бы очаги на 2 срезе в С1 с обеих сторон.
Хочешь сделать что-то нормально - сделай это сам!
Единственное, что заставило задуматься, почему их (очаги) видно только на одном срезе.
Хочешь сделать что-то нормально - сделай это сам!