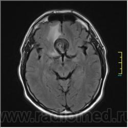
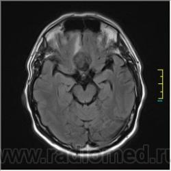
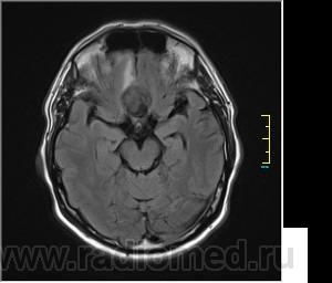
Пациентка направлена на исследование с диагнозом "Гипертонический криз"

Пол пациента: 
Область исследования: 
Методы исследования: 

Пациентка направлена на исследование с диагнозом "Гипертонический криз", энцефалопатия неуточненная.

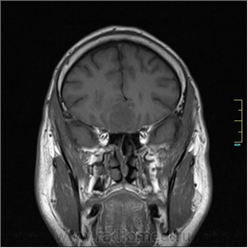
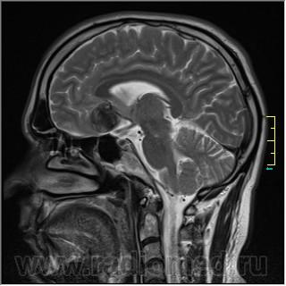
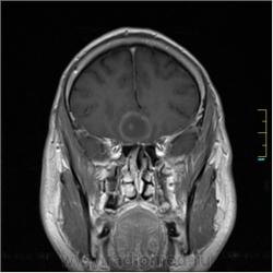
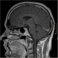
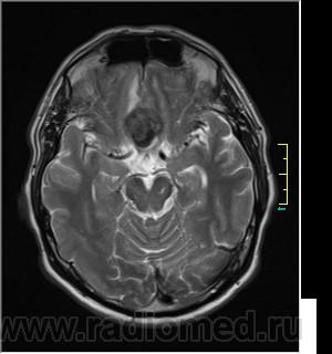
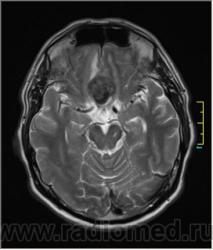
Ax T2:

Ax T2 Flair:

Cor T1:

Sag T2:

DWI:

T2* GRE:

Post-GAD:

МР ангиография:

  • https://radiomed.ru/sites/default/files/styles/case_slider_image/public/user/1/aneurysm_s02_i09.jpg?itok=sXouqf6V
  • https://radiomed.ru/sites/default/files/styles/case_slider_image/public/user/1/aneurysm_s02_i10.jpg?itok=sPYkw7Bi
  • https://radiomed.ru/sites/default/files/styles/case_slider_image/public/user/1/aneurysm_s02_i11.jpg?itok=dXjJF_yP
  • https://radiomed.ru/sites/default/files/styles/case_slider_image/public/user/1/aneurysm_s3_i8.jpg?itok=fErGjDD2
  • https://radiomed.ru/sites/default/files/styles/case_slider_image/public/user/1/aneurysm_s3_i9.jpg?itok=jymIgp_x
  • https://radiomed.ru/sites/default/files/styles/case_slider_image/public/user/1/aneurysm_s3_i10.jpg?itok=LZ3xrklC
  • https://radiomed.ru/sites/default/files/styles/case_slider_image/public/user/1/aneurysm_s3_i11.jpg?itok=Dv7axZZF
  • https://radiomed.ru/sites/default/files/styles/case_slider_image/public/user/1/aneurysm_s4_i6.jpg?itok=WazzWi--
  • https://radiomed.ru/sites/default/files/styles/case_slider_image/public/user/1/aneurysm_s4_i7.jpg?itok=_V1ko_I6
  • https://radiomed.ru/sites/default/files/styles/case_slider_image/public/user/1/aneurysm_s4_i8.jpg?itok=UZdyBOrd
  • https://radiomed.ru/sites/default/files/styles/case_slider_image/public/user/1/aneurysm_s5_i7.jpg?itok=KEVcFYxM
  • https://radiomed.ru/sites/default/files/styles/case_slider_image/public/user/1/aneurysm_s5_i8.jpg?itok=Zx4fCDOC
  • https://radiomed.ru/sites/default/files/styles/case_slider_image/public/user/1/aneurysm_s5_i9.jpg?itok=GvAUYiIl
  • https://radiomed.ru/sites/default/files/styles/case_slider_image/public/user/1/aneurysm_s5_i10.jpg?itok=-XwqYbEL
  • https://radiomed.ru/sites/default/files/styles/case_slider_image/public/user/1/aneurysm_s6_i29.jpg?itok=lNQcLnjX
  • https://radiomed.ru/sites/default/files/styles/case_slider_image/public/user/1/aneurysm_s6_i30.jpg?itok=g4YV_52M
  • https://radiomed.ru/sites/default/files/styles/case_slider_image/public/user/1/aneurysm_s6_i31.jpg?itok=D4vZfOwF
  • https://radiomed.ru/sites/default/files/styles/case_slider_image/public/user/1/aneurysm_s6_i32.jpg?itok=FZ2mM2-E
  • https://radiomed.ru/sites/default/files/styles/case_slider_image/public/user/1/aneurysm_s10_i8.jpg?itok=KFtdusE-
  • https://radiomed.ru/sites/default/files/styles/case_slider_image/public/user/1/aneurysm_s10_i9.jpg?itok=1ZaLfFs8
  • https://radiomed.ru/sites/default/files/styles/case_slider_image/public/user/1/aneurysm_s10_i10.jpg?itok=pn6zz7k6
  • https://radiomed.ru/sites/default/files/styles/case_slider_image/public/user/1/aneurysm_s21_i9.jpg?itok=UzcScuZb
  • https://radiomed.ru/sites/default/files/styles/case_slider_image/public/user/1/aneurysm_s21_i10.jpg?itok=azKXH4EK
  • https://radiomed.ru/sites/default/files/styles/case_slider_image/public/user/1/aneurysm_s21_i11.jpg?itok=ctPvXlF-
  • https://radiomed.ru/sites/default/files/styles/case_slider_image/public/user/1/aneurysm_s22_i6.jpg?itok=hJZBKOUF
  • https://radiomed.ru/sites/default/files/styles/case_slider_image/public/user/1/aneurysm_s22_i7.jpg?itok=wYAlR_Km
  • https://radiomed.ru/sites/default/files/styles/case_slider_image/public/user/1/aneurysm_s22_i8.jpg?itok=3z35t4OU
  • https://radiomed.ru/sites/default/files/styles/case_slider_image/public/user/1/aneurysm_s23_i8.jpg?itok=RyY5SED2
  • https://radiomed.ru/sites/default/files/styles/case_slider_image/public/user/1/aneurysm_s23_i9.jpg?itok=4N1ECR3L
  • https://radiomed.ru/sites/default/files/styles/case_slider_image/public/user/1/aneurysm_s23_i10.jpg?itok=FrdBEtf1
  • https://radiomed.ru/sites/default/files/styles/case_slider_image/public/user/1/aneurysm_s28_i1.jpg?itok=WqQ-1mg3
  • https://radiomed.ru/sites/default/files/styles/case_slider_image/public/user/1/aneurysm_s28_i4.jpg?itok=4byViLOr
  • https://radiomed.ru/sites/default/files/styles/case_slider_image/public/user/1/aneurysm_s28_i5.jpg?itok=3TI-ceZ_
  • https://radiomed.ru/sites/default/files/styles/case_slider_image/public/user/1/aneurysm_s28_i6.jpg?itok=wy2DZiYQ
ID:10533
irena аватар
Не на сайте
Был на сайте: 9 лет 10 месяцев назад
Зарегистрирован: 28.09.2009 - 13:00
Публикации: 289

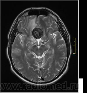
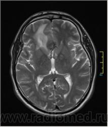
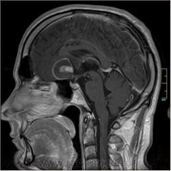
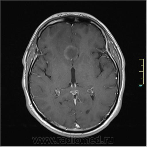
частично функционирующая аневризма

Катенёв Валентин Львович аватар
Не на сайте
Был на сайте: 7 лет 4 месяцев назад
Зарегистрирован: 22.03.2008 - 22:15
Публикации: 54876

А. как понимать "частично функционирующая аневризма"?

Евгений Магонов аватар
Не на сайте
Был на сайте: 2 дня 19 часов назад
Зарегистрирован: 07.03.2008 - 15:28
Публикации: 1271

Иначе говоря, аневризма с хронической геморрагией, т.к. мы видим фракции крови различного возраста.

Добрый админ

Катенёв Валентин Львович аватар
Не на сайте
Был на сайте: 7 лет 4 месяцев назад
Зарегистрирован: 22.03.2008 - 22:15
Публикации: 54876

Фракции крови "различного возраста" должны "родить" тромб?

Евгений Магонов аватар
Не на сайте
Был на сайте: 2 дня 19 часов назад
Зарегистрирован: 07.03.2008 - 15:28
Публикации: 1271

Нет, не должны, т.к. геморрагия сама по себе находится вне сосуда, к тому же, сосуд не магистральный, а патологический.

Добрый админ

Helios аватар
Не на сайте
Был на сайте: 11 месяцев 3 дня назад
Зарегистрирован: 06.08.2010 - 15:16
Публикации: 4417

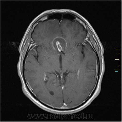
Евгений Петрович, а можно стрелочкой его показать, а то не уверена, что полностью разобралась с данным случаем..

Александр Викторович аватар
Не на сайте
Был на сайте: 8 лет 3 месяцев назад
Зарегистрирован: 31.07.2010 - 13:05
Публикации: 639

Helios wrote:

Евгений Петрович, а можно стрелочкой его показать, а то не уверена, что полностью разобралась с данным случаем..

Да! мне тоже нужны стрелочки smiley

Евгений Магонов аватар
Не на сайте
Был на сайте: 2 дня 19 часов назад
Зарегистрирован: 07.03.2008 - 15:28
Публикации: 1271

Пожалуйста!

Кстати, я этот случай выложил не только чтобы показать, но и чтобы посоветоваться. Мне именно такая картинка впервые попалась, и может быть я в чем-то не прав. Буду рад услышать ваше мнение.

Приложения: 
aneurysm_s28_i5.jpganeurysm_s28_i6.jpg

Добрый админ

Александр Викторович аватар
Не на сайте
Был на сайте: 8 лет 3 месяцев назад
Зарегистрирован: 31.07.2010 - 13:05
Публикации: 639

Евгений Магонов wrote:

Пожалуйста!

Кстати, я этот случай выложил не только чтобы показать, но и чтобы посоветоваться. Мне именно такая картинка впервые попалась, и может быть я в чем-то не прав. Буду рад услышать ваше мнение.

Спасибо Евгений! 

Popovpavel аватар
Не на сайте
Был на сайте: 7 лет 6 месяцев назад
Зарегистрирован: 08.06.2009 - 00:23
Публикации: 649

"Нет, не должны, т.к. геморрагия сама по себе находится вне сосуда, к тому же, сосуд не магистральный, а патологический".

Что значит, патологический?

Евгений Магонов аватар
Не на сайте
Был на сайте: 2 дня 19 часов назад
Зарегистрирован: 07.03.2008 - 15:28
Публикации: 1271

Popovpavel wrote:

"Нет, не должны, т.к. геморрагия сама по себе находится вне сосуда, к тому же, сосуд не магистральный, а патологический".

Что значит, патологический?

Ждал этого вопроса )

Я нарочито некорректно выразился, чтобы было понятнее. Естественно, подобных вольностей в заключение выносить нельзя. Я имел в виду аневризму и линейный участок в структуре геморрагии, который выглядит как сосуд, в частности при ангиографии. Извиняюсь, если кого-то сбил с толку.

Павел, не бываете в наших краях?

Добрый админ

Helios аватар
Не на сайте
Был на сайте: 11 месяцев 3 дня назад
Зарегистрирован: 06.08.2010 - 15:16
Публикации: 4417

Извиняюсь, если кого-то сбил с толку.

 

[/quote]Евгений Петрович,меня не просто так сбить с толку-я пока в этом ничего не понимаю!

Спасибо, что так все доступно объяснили .Сегодня как раз изучала данную тему.

iozefi аватар
Не на сайте
Был на сайте: 11 лет 6 месяцев назад
Зарегистрирован: 25.08.2010 - 09:54
Публикации: 170

Отёк смущает. Это не может быть просто вариантом развития? И что такое фракции крови различного возраста? Предполагается, что у данной пациентки регулярные множественные кровоизлияния в разные периоды времени? Если это имеется ввиду, то думаю вряд-ли такое возможно с артерией такого калибра с таким лёгеньким кровоизлиянием. Для меня осталось неясным. Может артериография бы сняла бы такие вопросы. Очень интересная картинка, проследить бы за ней.

с уважением. Иозефи Д.

Nela аватар
Не на сайте
Был на сайте: 6 лет 4 месяцев назад
Зарегистрирован: 12.05.2009 - 20:43
Публикации: 1847

По-моему, аневризма с пристеночными тромбами.

irena аватар
Не на сайте
Был на сайте: 9 лет 10 месяцев назад
Зарегистрирован: 28.09.2009 - 13:00
Публикации: 289

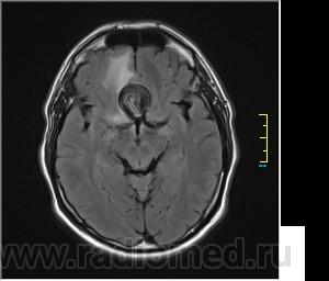
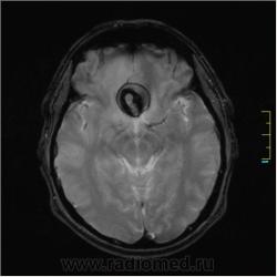
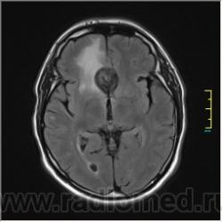
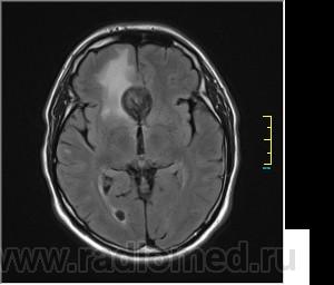
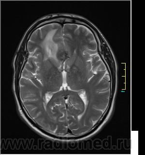
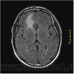
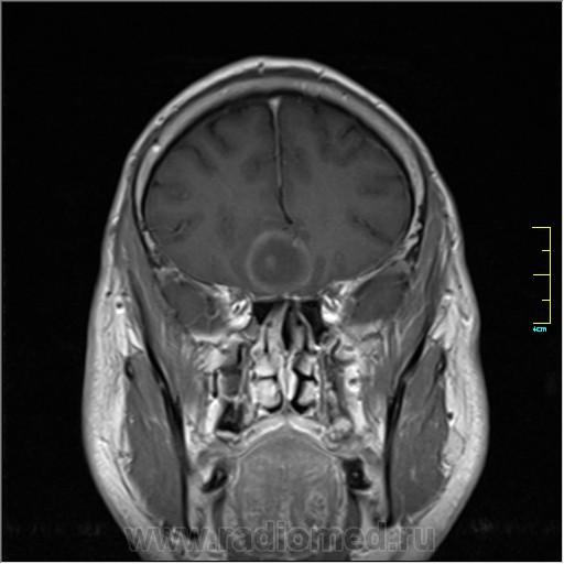
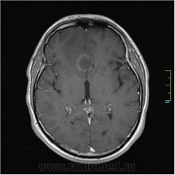
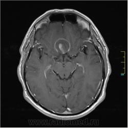
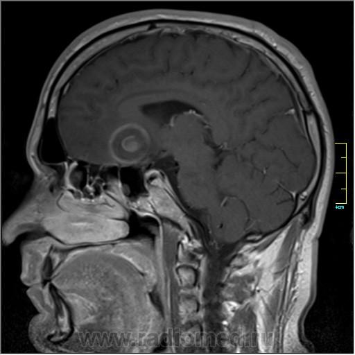
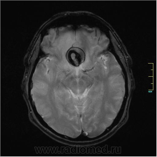
Постепенное пристеночное образование тромбов приводит к появлению типичного для аневризмы феномена -слоистости МР сигнала в полости аневризмы. Данная картина демонстрирует слоистый характер тромботических масс в полости аневризмы .Функционрирующая часть имеет низкий сигнал во всех режимах сканирования. Дополнительно-перифокальный отек.

iozefi аватар
Не на сайте
Был на сайте: 11 лет 6 месяцев назад
Зарегистрирован: 25.08.2010 - 09:54
Публикации: 170

...вот и мне попался аналогичный случай, направлен с диагнозом mts. сейчас выложу в DICOM.

с уважением. Иозефи Д.

iozefi аватар
Не на сайте
Был на сайте: 11 лет 6 месяцев назад
Зарегистрирован: 25.08.2010 - 09:54
Публикации: 170

DICOM 20110111, последняя в строчке, учебное пособие просто.

с уважением. Иозефи Д.

Ольга Сергеевна аватар
Не на сайте
Был на сайте: 11 лет 6 месяцев назад
Зарегистрирован: 20.08.2011 - 19:38
Публикации: 105

А может более корректно интерпретировать как частично тромбированная аневризма... Уж коь речь идет о фракциях, ну то есть о тромбе по сути.... Ну и плюс перфокальный отек головного мозга (вероятнее цитотоксический+вазогенный).