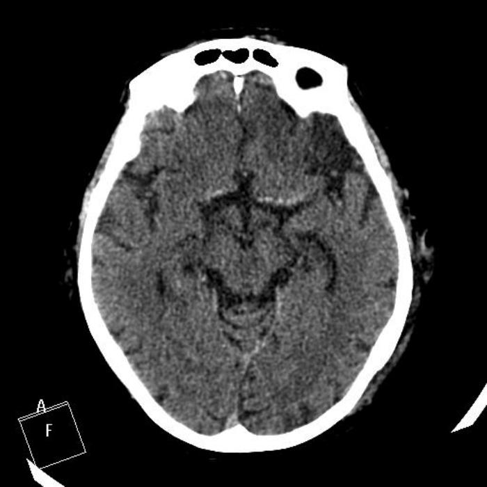
Женщине 70 лет. КТ примерно через 1,5 суток после начала заболевания (нашли соседи, а сколько пролежала - неизвестно точно). Как расценить изменения в левой лобной доле? А справа? Невролог считает, что термин "ишемический инфаркт с геморрагической трансформацией по типу гематомы" подходит для осложненного инсульта, т.е. геморрагия вторична, развивается позже как осложнение. Как правильно писать, есть ли термин "смешанный" инфаркт на КТ?
- - - - - - - - - - - - - - - - - - - - - - - - - - - - - - - - - -
Реконструкции:
Я описала как ишемический инфаркт в бассейне правой СМА с геморрагической трансформацией по типу малой внутримозговой гематомы; подострый?/последствия? ишемического инфаркта лобной доли слева. Но сомневаюсь в правильности и трактовки левосторонних изменений, и в правильности КТ-заключения. Помогите, пожалуйста, разобраться!
Понимаю, что вопросов много)), но есть и еще: в каких случаях следует выполнять контрастирование?
- https://radiomed.ru/sites/default/files/styles/case_slider_image/public/user/2841/ins20021.jpg?itok=P3bNqLg2
- https://radiomed.ru/sites/default/files/styles/case_slider_image/public/user/2841/ins20008.jpg?itok=MJimVKD5
- https://radiomed.ru/sites/default/files/styles/case_slider_image/public/user/2841/ins20007.jpg?itok=DJDi_bHi
- https://radiomed.ru/sites/default/files/styles/case_slider_image/public/user/2841/ins20006.jpg?itok=MQD7cfKl
- https://radiomed.ru/sites/default/files/styles/case_slider_image/public/user/2841/ins20005.jpg?itok=dF40QV2E
- https://radiomed.ru/sites/default/files/styles/case_slider_image/public/user/2841/ins20004.jpg?itok=-1eorWh9
- https://radiomed.ru/sites/default/files/styles/case_slider_image/public/user/2841/ins20003.jpg?itok=65f7Jiww
- https://radiomed.ru/sites/default/files/styles/case_slider_image/public/user/2841/ins20002.jpg?itok=iZ2LLkDG
- https://radiomed.ru/sites/default/files/styles/case_slider_image/public/user/2841/ins20001.jpg?itok=uejuolF4
- https://radiomed.ru/sites/default/files/styles/case_slider_image/public/user/2841/ins20011.jpg?itok=YTZznpaD
- https://radiomed.ru/sites/default/files/styles/case_slider_image/public/user/2841/ins20020.jpg?itok=C0gjAYtO
- https://radiomed.ru/sites/default/files/styles/case_slider_image/public/user/2841/ins20019.jpg?itok=xQ4sbCSx
- https://radiomed.ru/sites/default/files/styles/case_slider_image/public/user/2841/ins20018.jpg?itok=3_ED7ich
- https://radiomed.ru/sites/default/files/styles/case_slider_image/public/user/2841/ins20012.jpg?itok=96yqCj_K
- https://radiomed.ru/sites/default/files/styles/case_slider_image/public/user/2841/ins20013.jpg?itok=Yh7lOLP_
- https://radiomed.ru/sites/default/files/styles/case_slider_image/public/user/2841/ins20014.jpg?itok=phduA3Pq
- https://radiomed.ru/sites/default/files/styles/case_slider_image/public/user/2841/ins20016.jpg?itok=XZdyPPxc
- https://radiomed.ru/sites/default/files/styles/case_slider_image/public/user/2841/ins20017.jpg?itok=P8-Gvnyt
- https://radiomed.ru/sites/default/files/styles/case_slider_image/public/user/2841/ins20015.jpg?itok=gQKZ5I1o
Справа подострый /начало лизиса гематомы/ ишемический инфаркт с геморрагическим компонентом=трансформацией. Слева более старый ишемический инфаркт, ≈2-3 недели давность.
"Смешанный" писать можно, почему нет?
Контраст - от возможностей. Алгоритм: всем бесконтрасная КТ. При ТИА, малом инсульте и спонтанном регрессе симптоматики - перфузия, и при необходимости КТ-ангиография. В идеале.
1. "Смешанный" инсульт - это жаргон, в МКБ-10 его нет. Поэтому не должно быть и в заключениях. 2. ==термин "ишемический инфаркт с геморрагической трансформацией по типу гематомы"=== А почему по типу гематомы, а не пропитывания. Лучше остановиться на "ишемический инфаркт с геморрагической трансформацией" 3. ==Невролог считает, что термин "ишемический инфаркт с геморрагической трансформацией" подходит для осложненного инсульта, т.е. геморрагия вторична, развивается позже как осложнение.=== Именно так и есть.
Андрей Юрьевич
Спасибо!
https://www.youtube.com/channel/UCBGxoBUOqUT_bFhSeUgtWEw
Смешанный инсульт не пишите. Ишемический инфаркт с геморрагическим пропитыванием. Причиа геморрагического пропитывания всем понятна, наверно. Именно пропитывание, о гематоме тут речь не идет.
И для чего в данном случае делать КТА? смысл? Бассейн и так понятен. Есть смысл сделать КТА при субарахноидальных кровоизлияниях, да бы найти источник (например, аневризму), но учитывая ангиоспазм в определенный промежуток времени, тоже не всегда рационально.
С уважением, С.Н. Нагорный
Спасибо, Сергей Николаевич. КТА - я вообще спрашиваю, не про конкретный случай. У нас еще нет программы для перфузии. А ангиографию делать можем - вопрос по сосудистым делам, когда КТА нужна. И, кстати, у нас нет ангиохирургии! Сделаю КТА, найду (если!) причину - и на этом всё. Диагноз хорошо, место тромбоза - тоже, а дальше дело не пойдёт. Тромболизис пока на стадии священного страха и трепета, что вполне обоснованно...
https://www.youtube.com/channel/UCBGxoBUOqUT_bFhSeUgtWEw
Если даже будет программа для перфузии - посмотрите что она вам даст... Какая у вас толщина области сканирования максимальная при КТ-перфузии? Какой аппарат? Только уровень базальных ганглиев и то не весь будет захвачен. Далее... Где рекомендации и критерии что является гипоперфузией, а что нет? Рассчет по перфузионным картам или относительное сравнение с противоположной стороной? А уж про тромболизис оооочень больная тема :)
С уважением, С.Н. Нагорный
Тут все ответы на уровне презентации на учёбе)), ни самой программы - она в туманном будущем, ни рекомендаций по её практическому применению. Федеральная программа, начальство уже отрапортовало, что всё работает, "галочка" поставлена. А что обещанной телемедициной не пахнет и в самом сосудистом отделении мониторы не работают и кислорода нет... так, небольшие огрехи(((
Лиха беда - начало, только надеяться остаётся, что постепенно как-то худо-бедно всё наладится
https://www.youtube.com/channel/UCBGxoBUOqUT_bFhSeUgtWEw
Здравствуйте! Делаете ли вы после такой картины КТ гед уже визуализируются гиподесные зоны, еще и КТ-ангиографию? В обязательном ли порядке нужно делать КТ-ангиоргаию артерий головного мозга?
Я вообще этого (КТ АГ ГМ) не делаю. Не обладаю "твердыми" навыками.
Андрей Юрьевич
Это уже второй вопрос?
Андрей Юрьевич
Так то после такого периода врмени формируется гигрома)))))
"Знаешь, у некоторых врачей есть комплекс мессии — им необходимо спасать мир. А у тебя комплекс Рубика — тебе необходимо решать головоломки."
Это уже второй вопрос?
[/quote]Да это другой вопрос.
[/quote]
Я не веду такой статистики , но очевидно, что редко.
Андрей Юрьевич