Туберкулёз. Казеозная пневмония. +

Казеозная пневмония.

КП - одна из самых тяжелых форм ТБ, часто как осложнение ряда других форм; характерен выраженный казеозно-некротический компонент воспаление, быстрое прогрессирование, множественные полости распада, высокая летальность;

а) лобарная КП - чаще развивается как самостоятельное форма ТБ на фоне выраженного ИДС

б) лобулярная КП - чаще осложняет другие формы ТБ

Патогенез: выраженный ИДС (часто вследствие патологического повышения апоптоза клеток, участвующих в ИО) приводит к неконтролируемому размножению МБ; они, в свою очередь, усугубляют ИДС (вторичный иммунодефицит).

Патоморфологически: массовая гибель клеточных элементов и постепенное распространение казеозного некроза (ацинозная - ацинозно-лобулярная - сливная лобулярная - сегментарная КП и т.д.); вследствие гибели клеток ИС и выброса протеолитических ферментов происходит расплавление очагов казеоза с формирование полостей (множественных острых каверн); возможно лимфогематогенное распространение процесса

Клиника: острое начало, выраженный с-м интоксикации (бледность, лихорадочный румянец, высокая температура, озноб, потливость, одышка), сухой кашель; затем - выраженный бронхолегочно-плевральный с-м (кашель с большим количеством мокроты, примесью крови; боль в груди; нарастающая одышка, акроцианоз); физикально - притупление легочного звука, ослабленное дыхание, влажные мелкопузырчатые хрипы (над полостями распада - средне- и крупнопузырчатые)

Диагностика:

а) Проба Манту: отрицательная анергия

б) Бактериологическое исследование: эффективно со 2-ой недели (после образования полостей распада, до этого мокроты практически нет); МБТ часто обладают мультирезистентностью

в) Рентгендиагностика:

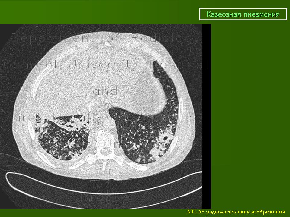
1. лобарная пневмония: затемнение всей или большей части доли, вначале однородное, затем с участками просветления бухтообразной формы с нечеткими контурами; в дальнейшем видны каверны

2. лобулярная пневмония: крупные очаговые тени и небольшие фокусы (до 1,5 см) неправильной формы, средней или высокой интенсивности, с нечеткими контурами; часто располагаются симметрично

г) Лабораторные данные: ОАК (при прогрессировании лейкопения с преобладанием палочкоядерных, лимфопения, резко увеличенное СОЭ), ОАМ (лейкоциты, выщелоченные эритроциты, гиалиновые цилиндры)

Осложнения: кровотечения; сердечно-легочная и дыхательная недостаточности

Исход: заживление невозмозно, так как легочная ткань расплавляется; летальный; фиброзно-кавернозный туберкулез, цирротический ТБ

Побединский Михаил Александрович аватар
Не на сайте
Был на сайте: 8 лет 3 месяцев назад
Зарегистрирован: 25.12.2010 - 23:44
Публикации: 696

Небольшой пример.

Приложения: 
1240462507.187.jpg1240462512.796.jpg1240462518.140.jpg1240462525.015.jpg1240462530.437.jpg1240462534.937.jpg1240462546.296.jpg1240462550.109.jpg1240462554.390.jpg1240462559.001.jpg1240462562.906.jpg1240462570.843.jpg
Катенёв Валентин Львович аватар
Не на сайте
Был на сайте: 7 лет 6 месяцев назад
Зарегистрирован: 22.03.2008 - 22:15
Публикации: 54876

Отличный пример. Каким образом, опираясь, на что выставлен диагноз "казеозная пневмония"?

Побединский Михаил Александрович аватар
Не на сайте
Был на сайте: 8 лет 3 месяцев назад
Зарегистрирован: 25.12.2010 - 23:44
Публикации: 696

По клинике (острое начало, интоксикация, кровохарканье), рентген-исследованию, и мокрота (Mbt+). К сожалению, информации мало, сам пациента не наблюдал, снимки архивные, 2009 года. Вот все, что смог выжать у очевидцев, то и передал.

Катенёв Валентин Львович аватар
Не на сайте
Был на сайте: 7 лет 6 месяцев назад
Зарегистрирован: 22.03.2008 - 22:15
Публикации: 54876

Спасибо за случай.