Пол пациента:
Тип патологии:
Область исследования:
Методы исследования:
- https://radiomed.ru/sites/default/files/styles/case_slider_image/public/user/7033/100024.jpg?itok=3jJTlbZ8
- https://radiomed.ru/sites/default/files/styles/case_slider_image/public/user/7033/100034.jpg?itok=unFwhILB
- https://radiomed.ru/sites/default/files/styles/case_slider_image/public/user/7033/200014.jpg?itok=WXlICDVv
- https://radiomed.ru/sites/default/files/styles/case_slider_image/public/user/7033/200024.jpg?itok=6uyQ-Vq4
- https://radiomed.ru/sites/default/files/styles/case_slider_image/public/user/7033/200034.jpg?itok=f2L5h-oV
- https://radiomed.ru/sites/default/files/styles/case_slider_image/public/user/7033/300014.jpg?itok=MyOVJJ-i
- https://radiomed.ru/sites/default/files/styles/case_slider_image/public/user/7033/300024.jpg?itok=uYxk1gLP
- https://radiomed.ru/sites/default/files/styles/case_slider_image/public/user/7033/300034.jpg?itok=rLtVcedr
ID:14183
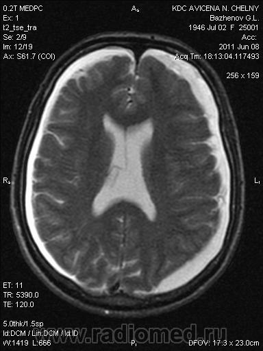
Двусторонние субдуральные гематомы.
травму категорически отрицает
Это неважно. Во-первых отрицает не означает не было. Во-вторых бывают гематомы и без травмы, особенно у пожилых.
Конечно, субдуралки. Несвежие.
С уважением, С.Н. Нагорный
Выставлялся похожий случай, тоже без травмы. v1tal, кажется... лимфома оказалась, поражение оболочек.
https://www.youtube.com/channel/UCBGxoBUOqUT_bFhSeUgtWEw
http://www.radiomed.ru/blogs/v1tal/9052011-kt-golovnogo-mozga
https://www.youtube.com/channel/UCBGxoBUOqUT_bFhSeUgtWEw
На днях был абсолютно идентичный случай. Написал двусторонние гигромы, что подразумевает несвежие субдуральные гематомы, хотя и не исключает другие варианты.
Добрый админ
Это гигромы. Как вы представляете себе развитие таких гематом? Двухсторонних? Допустим. ДАЖЕ если они возникнут одномоментно, они все равно не будут иметь столь однородный сигнал. Будет ассиметрия по сторонам, в зависимости от локализации кровотечения. На т1 гипоинтенсивные, значит, если это кровь, минимум 3+ недели прошло. Гемоглобин прошел несколько(если не все) стадий гемолиза (гемосидерин, метгемоглобин и другие, где то быстрее, где-то медленнее), как он может быть таким ПРЕДЕЛЬНО однородным на всем видимом протяжении? В этом периоде никак не может. Ну и, конечно, это не травма, ибо при таком объеме обязательно должны быть другие признаки, отек головного, подкожные гематомы, деформация кости, и конечно, острая клиника. Гематома без травмы? Налила на полголовы и остановилась? Раз такой объем, значит крупный сосуд, быстрое развитие, значит клинические проявления "какие угодно", только не "с января по чуть-чуть болит". Если из маленького сосуда, значит должна подтекать, так называемая, пульсирующая гематома, тем более в структуре будут компоненты, характерные для различных сроков.
Это не гематомы.
-------------------------------------------------------------------------------------------------
Я получил счет от хирургов. Теперь мне понятно, почему эти парни работают в масках.
пардон, но абсолютно не подразумевает.
-------------------------------------------------------------------------------------------------
Я получил счет от хирургов. Теперь мне понятно, почему эти парни работают в масках.
Мдаа, а что по вашему случается с субдуральной гематомой через годы?
Гигрома в абсолютном большинстве случаев развивается из хронической субдуральной гематомы и, в меньшей степени, из кистозных форм лимфангиом. Поправьте, если не прав.
С уважением, С.Н. Нагорный
мдаа.. а по вашему? :)
Лично я уверен в том, что гематомы пройдя все стадии распада в итоге организуются. :) В головном мозге это кисто-глиозные изменения, субдурально- кистозно-склерозные, назовем это так. Выпадают нити фибрина и далее по цепочке, в итоге склероз. Что-то ограничиваются капсулой и т.д. Как это может выглядить столь однородно - понять абсолютно невозможно, ибо все видели исход крвооизлияний.
. ну если уж говорить про абсолютное большинство, то не стоит забывать, что большинство гигром - хронические, и возникают в лучезапятсных и голеностопных суставах (даже связывают их с различной проф. деятельностью) Вообще, гигрома, темная лошадка, на мой взгляд, далеко не все смогут дать точное, исчерпывающее понятие. Насколько я понимаю, по сути, это кистоподобная полость, киста, если хотите, заполненная чем-либо. Да, часто они возникают при гематомах, но прямой зависимости здесь нет. Например, я видел 2 похожих (только более выраженные) случая у детей, после лучевой терапии по поводу глиобластом. И весь вышеназваннный здесь в обсуждении диф.ряд считаю справедливым. Контраст добавит информации. В данном случае, это похоже просто на "стоячий" ликвор. http://bibliotekar.ru/439/30.htm.И потом, не забывайте, субдуральные гематомы это тяжелое состояние. Ряд авторов считает, что при толщине субдуральной гематомы >1см - вероятность летального исхода более 90%. В любом случае, при таком объеме поражения клиника - ВСЕГДА. В чем отличие гигромы от гематомы? В том что гематома выливается мощно, одномоментно, отсюда и дислокационный синдром со всеми, как говорится, вытекающими. Гигрома же может годами "поттравливать", льется туда, где есть место, по принципу наименьшего сопротивления. Повворюсь, для "постепенной" гематомы такая картина не характерна, ибо даже если не было первого мощного кровоизлияния с клиникой, то распадающийся гемоглобин на разных сроках выглядит по-разному, что и находит свое отражение при мрт.
С Уважением
-------------------------------------------------------------------------------------------------
Я получил счет от хирургов. Теперь мне понятно, почему эти парни работают в масках.
Извините, unre_ALL, но у Вас совершенно неправильные представления о субдуральных гематомах. Гигромы в суставах - это из дугой "оперы". Хронические субдуральные гематомы - это скопление жидкости (которая раньше была кровью и гемолизировалась). Изредка субдуральная гематома может рассасываться полностью, но очень редко. Кровотечение при субдуральных гематомах из вен, в отличии от эпидуральных, поэтому они более благоприятно протекают, чем эпидуральные. Наличие переломов совершенно не обязательно. Подкожные гематомы могли и рассосаться с января месяца. Если пациент в возрасте, травма не обязательна. В данном случае сигнал как от жидкости с довольно высоким содержание белка. По сигналу это не ликвор (сравните с ликвором в желудочках). Лимфома все же менее вероятна, чем гематомы. Я бы отправила к нейрохирургу как можно быстрее.
Интереснейший случай-столько мнений, все четко аргументированные; к сожалению -добавить нечего, дабы не подливать масла в огонь( все равно лучше не скажу).Хотелось бы верификации ( если возможно) .
спасибо коллеги!!!! если будет верификация обязательно сообщю.
Уважаемая, Nela!
Спасибо, что сказали. А я то думал гематомы - это пельмени минус выпускники авиационного института.
:)
Насчет другой оперы. Есть медицинский термин Гигрома, обозначающий определенную нозологию. Нравится вам это или нет, но сиё означает, что у всех проявлений данного заболевания есть общие признаки. Не важно "где и когда", важно "что". Киста есть киста. Гигрома есть гигрома. А умозрительно делить один термин на совершенно разные оперы - есть заблуждение. Сей постулат, что характерно, применим ко всей медицинской номенклатуре. Обсуждать здесь нечего.
В третий раз повторю основной аргумент: при ТАКОМ объеме - если одномоментно- выраженная клиника, если постепенно - разные стадии гемолиза. Дабы привлечь внимание:
http://www.medhelp4you.ru/sdg.php
http://www.brainport.su/research/brain_trauma/
НИЧЕГО общего с примером, представленным в осбуждении. Под обоими ссылками неплохая теория, в которую укладываются основные аргументы, и не получаются гематомы. В принципе, материал известен и его полно, вышеназванные -это первые по запросу. У меня, конечно, совершенно неправильные представления о гематоме, вот только они как пазлы складываются в МР-картинку. Да... так и живем.
Как учил Гиппократ: лечить нужно не болезнь, а человека. Такой вот принцип. Не чистые томограммы, а анамнез +патфизиология (подчеркиваю) вместе взятые. Думать.
А то, что сигнал от "стоячего" ликвора и движущегося - разный, Вас не смущает? Цветущий пруд и проточное русло реки, если вам будет угодно.С Уважением
-------------------------------------------------------------------------------------------------
Я получил счет от хирургов. Теперь мне понятно, почему эти парни работают в масках.
P.S. полцарства за верификацию
-------------------------------------------------------------------------------------------------
Я получил счет от хирургов. Теперь мне понятно, почему эти парни работают в масках.
А белый медведь то как горяч! Даром, что житель севера.
В принципе, медведь спокоен (это видно на аватарке), пока не ворошат его берлогу :)
-
С Наилучшими Пожеланиями! :)
-------------------------------------------------------------------------------------------------
Я получил счет от хирургов. Теперь мне понятно, почему эти парни работают в масках.