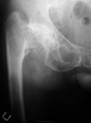
Уважаемые коллеги как классифицировать данную остеодистрофию. Мужчина, лета средние, страдание с детства. https://radiomed.ru/sites/default/files/styles/case_slider_image/public/user/5598/2240_thumb.jpg?itok=sJHog88e https://radiomed.ru/sites/default/files/styles/case_slider_image/public/user/5598/2241_thumb.jpg?itok=9zuaPPI- ID:53497 Сб, 25/06/2011 - 15:02 #1 Демчев Валентин... Не на сайте Был на сайте: 7 лет 8 месяцев назад Зарегистрирован: 08.02.2011 - 15:40 Публикации: 445 Может быть фиброзная остеодисплазия полиоссальная форма? Сб, 25/06/2011 - 15:05 #2 Демчев Валентин... Не на сайте Был на сайте: 7 лет 8 месяцев назад Зарегистрирован: 08.02.2011 - 15:40 Публикации: 445 Впрочем не уверен. Очень интересное наблюдение. Сб, 25/06/2011 - 15:28 #3 Демчев Валентин... Не на сайте Был на сайте: 7 лет 8 месяцев назад Зарегистрирован: 08.02.2011 - 15:40 Публикации: 445 Была подборка на сайте по болезни Олье.Приложения: Сб, 25/06/2011 - 16:10 #4 Петрович Не на сайте Был на сайте: 7 лет 3 месяцев назад Зарегистрирован: 22.03.2009 - 01:13 Публикации: 3908 Склонен согласиться с коллегой. Неужели за многие лета диагноз ещё не установлен? Неоднозначно всё Пнд, 27/06/2011 - 21:20 #5 Ola-la Не на сайте Был на сайте: 11 месяцев 2 недели назад Зарегистрирован: 06.12.2008 - 09:33 Публикации: 1786 Я бы в первую очередь подумала о фиброзной дисплазии. Нельзя исключить гиперпаратиреоидную дистрофию. https://www.instagram.com/pediatricradiology/ Втр, 28/06/2011 - 02:46 #6 Демчев Валентин... Не на сайте Был на сайте: 7 лет 8 месяцев назад Зарегистрирован: 08.02.2011 - 15:40 Публикации: 445 Ola-la wrote: Я бы в первую очередь подумала о фиброзной дисплазии. Нельзя исключить гиперпаратиреоидную дистрофию. Всетаки чаще страдают женщины от 20 до 50 лет, а зднсь я понял проблема с детства.
Может быть фиброзная остеодисплазия полиоссальная форма?
Впрочем не уверен. Очень интересное наблюдение.
Была подборка на сайте по болезни Олье.
Склонен согласиться с коллегой. Неужели за многие лета диагноз ещё не установлен?
Неоднозначно всё
Я бы в первую очередь подумала о фиброзной дисплазии. Нельзя исключить гиперпаратиреоидную дистрофию.
https://www.instagram.com/pediatricradiology/