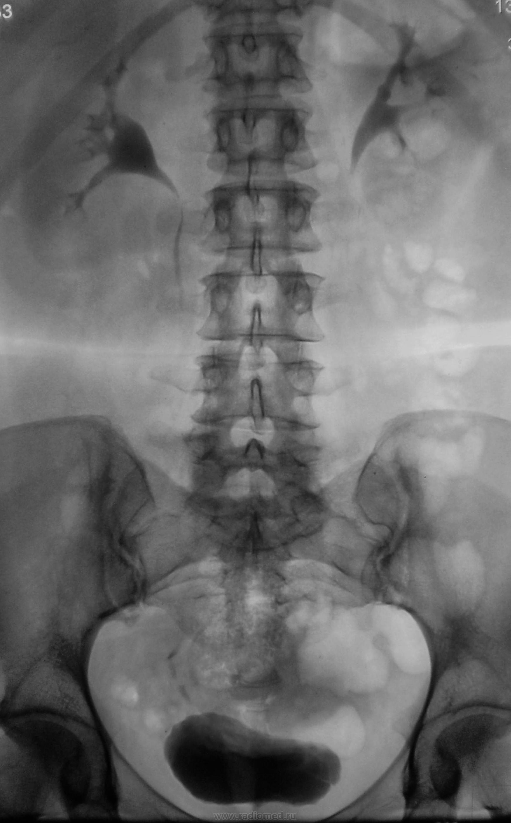
Сделали урографию, что писать протокольно просто не представляю… Может коллеги дадут совет?

Пол пациента: 
Тип патологии: 
Область исследования: 
Методы исследования: 

Сделали урографию, что писать протокольно просто не представляю… Может коллеги дадут совет?

Пациентка жалуется на боли, на уровне паховой области слева. В анализах все в норме.

  • https://radiomed.ru/sites/default/files/styles/case_slider_image/public/user/12/2.p8310007.jpg?itok=vLY5ukqE
  • https://radiomed.ru/sites/default/files/styles/case_slider_image/public/user/12/3.p8310008.jpg?itok=5Pj9tfrR
  • https://radiomed.ru/sites/default/files/styles/case_slider_image/public/user/12/4.p8310009.jpg?itok=FgJZctZP
  • https://radiomed.ru/sites/default/files/styles/case_slider_image/public/user/12/5.p8310016.jpg?itok=mc6rrNVZ
  • https://radiomed.ru/sites/default/files/styles/case_slider_image/public/user/12/6.p8310017a.jpg?itok=naAjmbLZ
ID:15628
skos72 аватар
Не на сайте
Был на сайте: 14 лет 5 месяцев назад
Зарегистрирован: 29.06.2011 - 17:36
Публикации: 37

У нас теперь не делаются внутривенки, всё отдано на откуп УЗИ и КТ. Долго рассматривал представленные урограммы и, если честно, уважаемый Валентин Львович, не понял, что Вас насторожило. По-моему всё ничего

Катенёв Валентин Львович аватар
Не на сайте
Был на сайте: 7 лет 3 месяцев назад
Зарегистрирован: 22.03.2008 - 22:15
Публикации: 54876

skos72 wrote:

У нас теперь не делаются внутривенки, всё отдано на откуп УЗИ и КТ. Долго рассматривал представленные урограммы и, если честно, уважаемый Валентин Львович, не понял, что Вас насторожило. По-моему всё ничего

Спасибо Вам за высказанное мнение.

Катенёв Валентин Львович аватар
Не на сайте
Был на сайте: 7 лет 3 месяцев назад
Зарегистрирован: 22.03.2008 - 22:15
Публикации: 54876

Хочу задать вопрос. А, как расценить этот "клювик", да еще и с "глазиком".

Приложения: 
1.v.p8310024aaa.jpg2.v.p8310025a.jpg3.v.p8310027.jpg4.p8310028ba.jpg
rentgengb1 аватар
Не на сайте
Был на сайте: 12 лет 2 месяцев назад
Зарегистрирован: 13.02.2009 - 23:02
Публикации: 290

Окостенение передних крестцово-подвздошных связок справа (лигаментоз)

Катенёв Валентин Львович аватар
Не на сайте
Был на сайте: 7 лет 3 месяцев назад
Зарегистрирован: 22.03.2008 - 22:15
Публикации: 54876

rentgengb1 wrote:

Окостенение передних крестцово-подвздошных связок справа (лигаментоз)

Здравствуйте Евгений Борисович!

А рентгенолог, по всей видимости, описал "это", как экзостоз или остеохондрому?

rentgengb1 аватар
Не на сайте
Был на сайте: 12 лет 2 месяцев назад
Зарегистрирован: 13.02.2009 - 23:02
Публикации: 290

Здравствуйте. Можно доснять КПС в задней косой проеции 25-30 градусов.

svet аватар
Не на сайте
Был на сайте: 2 года 1 месяц назад
Зарегистрирован: 07.05.2010 - 19:10
Публикации: 201

левый мочеточник не законтрастирован. это настораживает. может быть всеже камень в левом мочеточнике?

Dr.Drug аватар
Не на сайте
Был на сайте: 8 лет 1 неделя назад
Зарегистрирован: 01.11.2008 - 20:21
Публикации: 464

или тьма...

Стандартная фраза: "Мочеточники имеют обычный ход, прослеживаются на отдельных участках"

Если видно весь мочеточник - гипотония - признак воспаления.

При обтурирующем камне мочеточника прежде всего реагирует ЧЛС.

С уважением, А.В.Коробейников

Катенёв Валентин Львович аватар
Не на сайте
Был на сайте: 7 лет 3 месяцев назад
Зарегистрирован: 22.03.2008 - 22:15
Публикации: 54876

Dr.Drug wrote:

или тьма...

Стандартная фраза: "Мочеточники имеют обычный ход, прослеживаются на отдельных участках"

Если видно весь мочеточник - гипотония - признак воспаления.

При обтурирующем камне мочеточника прежде всего реагирует ЧЛС.

Так можно "норму" писать?

Катенёв Валентин Львович аватар
Не на сайте
Был на сайте: 7 лет 3 месяцев назад
Зарегистрирован: 22.03.2008 - 22:15
Публикации: 54876

А, вот с мочевым пузырем что?

Приложения: 
1.p.p8310022.jpg2.p.p8310022a.jpg3.p.p8310023.jpg4.p.p8310023a.jpg
Катенёв Валентин Львович аватар
Не на сайте
Был на сайте: 7 лет 3 месяцев назад
Зарегистрирован: 22.03.2008 - 22:15
Публикации: 54876

А, вот с мочевым пузырем что?

Приложения: 
5.p.p8310034.jpg6.p.p8310034a.jpg7.p.p8310035.jpg8.p.p8310035a.jpg
Kat аватар
Kat
Не на сайте
Был на сайте: 12 лет 9 месяцев назад
Зарегистрирован: 19.04.2011 - 19:10
Публикации: 365

без тугого заполнения,стенки не расправились

Временно отсутствую на сайте...

stovbav аватар
Не на сайте
Был на сайте: 2 года 5 месяцев назад
Зарегистрирован: 20.12.2009 - 17:28
Публикации: 7066

1. Камень левого мочеточника, вблизи устья, и на обзорной он виден, без существенного нарушения оттока.

2. Крупная парапельвикальная киста правой почки.

3. Мочевой туго не выполнен (контрольное УЗИ!), но пациентке не помешает и УЗИ гениталий для уточнения состояния матки, особенно с учетом единичного обызествления в ее структуре.

Катенёв Валентин Львович аватар
Не на сайте
Был на сайте: 7 лет 3 месяцев назад
Зарегистрирован: 22.03.2008 - 22:15
Публикации: 54876

Спасибо за комент Виктор Григорьевич!

Оказывается патологии, могущей вызвать болевой синдром более, чем достаточно.

Петрович аватар
Не на сайте
Был на сайте: 7 лет 5 месяцев назад
Зарегистрирован: 22.03.2009 - 01:13
Публикации: 3908

stovbav wrote:

1. Камень левого мочеточника, вблизи устья, и на обзорной он виден, без существенного нарушения оттока.

2. Крупная парапельвикальная киста правой почки.

3. Мочевой туго не выполнен (контрольное УЗИ!), но пациентке не помешает и УЗИ гениталий для уточнения состояния матки, особенно с учетом единичного обызествления в ее структуре.

Ну, пожалуй, киста; ну, допустим, обызвествление в матке…, но камень-то где ж?

Неоднозначно всё

stovbav аватар
Не на сайте
Был на сайте: 2 года 5 месяцев назад
Зарегистрирован: 20.12.2009 - 17:28
Публикации: 7066

Здесь....

Приложения: 
snimok-11.png
Фил аватар
Не на сайте
Был на сайте: 6 лет 12 месяцев назад
Зарегистрирован: 13.09.2011 - 16:24
Публикации: 137

Для устья низковато , пожалуй. И ЧЛС слева  вполне приличная , если- бы отток был нарушен левые форниксы такими-бы не были.      .. А за парапельвикальную кисту - мерси , не заметно сразу.

Катенёв Валентин Львович аватар
Не на сайте
Был на сайте: 7 лет 3 месяцев назад
Зарегистрирован: 22.03.2008 - 22:15
Публикации: 54876

А, какой интересный поперечный отросток Л1 справа...

Приложения: 
1.poper_.p8310020.jpg2.poper_.p8310021a.jpg
Катенёв Валентин Львович аватар
Не на сайте
Был на сайте: 7 лет 3 месяцев назад
Зарегистрирован: 22.03.2008 - 22:15
Публикации: 54876

Полая система левой почки с увеличением.

Приложения: 
1.p.p8310010ab.jpg2.p.p8310011a.jpg
svet аватар
Не на сайте
Был на сайте: 2 года 1 месяц назад
Зарегистрирован: 07.05.2010 - 19:10
Публикации: 201

скажите рентгенологически мы все же с осторожностью говорим об кистах. Ведь единственный косвенный признак это то что чашечки раздвинуты. Я думаю что кисты это узи-диагноз, а на Ро-граммах это лишь предположение.

stovbav аватар
Не на сайте
Был на сайте: 2 года 5 месяцев назад
Зарегистрирован: 20.12.2009 - 17:28
Публикации: 7066

svet wrote:

скажите рентгенологически мы все же с осторожностью говорим об кистах. Ведь единственный косвенный признак это то что чашечки раздвинуты. Я думаю что кисты это узи-диагноз, а на Ро-граммах это лишь предположение.

Конечно, Вы правы...мы лишь описываем характер изменений и делаем предположение...дескать исходя их рентгенологических признаков не исключается киста там то и там то...для уточнения...а дальше - что там под рукой есть, то и рекомендуем...УЗИ...КТ...

Ермолаев аватар
Не на сайте
Был на сайте: 9 лет 1 месяц назад
Зарегистрирован: 07.02.2009 - 16:33
Публикации: 670

Считаю, что Виктор Григорьевич прав с камнем левого мочеточника. Дилятация полостной системы почек НЕ всегда возникает при наличии камня мочеточника. Только при нарушении оттока (закупорка трубы). Вода всегда найдет себе путь! Различное НОРМАЛЬНОЕ положение матки (отклонение вправо, влево, антефлексио, антеверзио и.т.д) может давать различные варианты рентгенологических картин мочевого пузыря. Для дифдиагностики болей надо выполнить УЗИ малого таза (гинекология). Причин для тазовых болей у женщин более чем достаточно (миомы, кисты, варикозная болезнь и т.д.).

dok

Катенёв Валентин Львович аватар
Не на сайте
Был на сайте: 7 лет 3 месяцев назад
Зарегистрирован: 22.03.2008 - 22:15
Публикации: 54876

Спасибо за высказанные мнения уважаемые коллеги!

stovbav аватар
Не на сайте
Был на сайте: 2 года 5 месяцев назад
Зарегистрирован: 20.12.2009 - 17:28
Публикации: 7066

Ермолаев wrote:

..... Дилятация полостной системы почек НЕ всегда возникает при наличии камня мочеточника. Только при нарушении оттока (закупорка трубы). Вода всегда найдет себе путь! ....

Спасибо за поддержку, Владимир Васильевич!...а уж чтобы совсем было интересно...с конца августа у меня у самого в нижней трети правого мочеточника стоит конкремет треугольной формы..до 0,35*0,2 см...а нарушения оттока нет...))))...так что подобную ситуацию пришлось изучить не только по снимкам))))...