Представляет собой заболевание, вызываемое ток-соплазмой—простейшим, облигатным внутриклегочным паразитом. Выделяют приобретенный и врожденный токсоплазмоз.
В первом случае токсоплазмы попадают в организм человека при контакте с животным, больным токсоплазмозом (собака), или при употреблении пищевых продуктов, загрязненных выделениями больных собак, грызунов (фекалии, моча, слизь носа, слюна), в которых содержится возбудитель заболевания. Попадая в пищевой канал человека, токсоплазмы затем гематогенным путем распространяются на все органы и системы.
Врожденный токсоплазмоз развивается в результате попадания токсоплазм в организм плода с кровью матери, зараженной этими паразитами. Возбудитель, воздействуя на развивающийся плод, нарушает процесс эмбриогенеза, обусловливая возникновение пороков развития плода и уродств, иногда — внутриутробную смерть плода и выкидыш.
Пато морфологи я. Патоморфологические изменения при приобретенном токсоплазмозе изучены в экспериментах на животных. Установлено, что в центральной нервной системе развиваются явления некротического перивентрикулита, мелкие очаги некроза в субкортикальном белом веществе. В сосудах головного мозга, мягкой мозговой оболочки и хориоидальных сплетениях отмечаются признаки серозно-пролиферативного воспаления. Обнаруживаются также глазные патологоанатомические изменения (типа ретинита, хориоидита, иридоциклита) и изменения во внутренних органах (сердце, легкие, печень, селезенка).
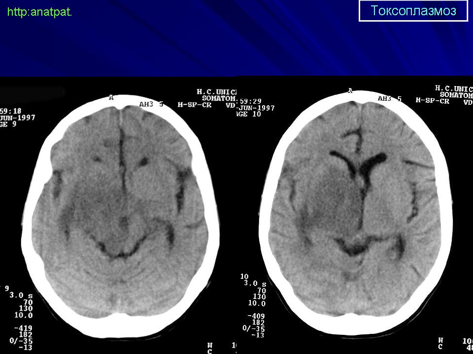
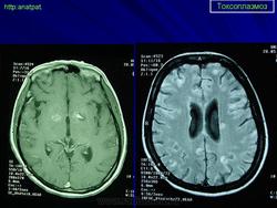
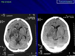
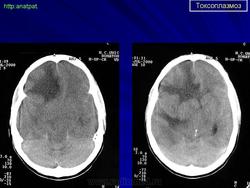
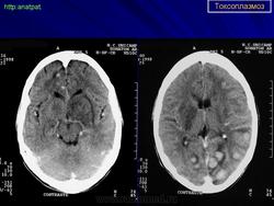
Врожденный токсоплазмоз чаще, чем приобретенный, приводит к летальному исходу. В головном мозге умерших обнаруживаются более или менее значительные очаги обызвествления, участки размягчения мозгового вещества, полости, заполненные жидкостью. Как правило, отмечается гидроцефалия, обусловленная воспалительной и рубцовой облитерацией водопровода среднего мозга, отверстий Люшка или других участков ликворных путей. Истон-чение вещества полушарий мозга может достигать степени их полного исчезновения.
Обнаруживаются также результаты дизэмбриогенеза: анэнцефалия, отсутствие черепных костей, волчья пасть, заячья губа, микрофтальмия и другие дефекты развития.
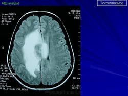
Клиника приобретенного токсоплазмоз а. Протекает как общее заболевание с мышечной и суставной болью, пят-нисто-папулезной сыпью, увеличением лимфатических желез, непостоянной лихорадкой. Поражение нервной системы проявляется в виде менингоэнцефаломиелита: головная боль, рвота, менинге-альный синдром, моно- и гемипарезы и параличи, атаксия, нарушение функции черепных нервов. В спинномозговой жидкости невысокий лимфоцитарный плеоцитоз, в осадке иногда обнаруживаются токсоплазмы.
Течение приобретенного токсоплазмоза может быть острым, подострым и хроническим. Летальный исход возможен при энцефалите с поражением ствола при сопутствующей тяжелой пневмонии или миокардите.
Клиника врожденного токсоплазмоза характеризуется сочетанием признаков текущего воспалительного процесса в головном мозге и последствий ранее (внутриутробно) развившихся поражений головного мозга.
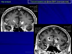
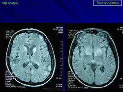
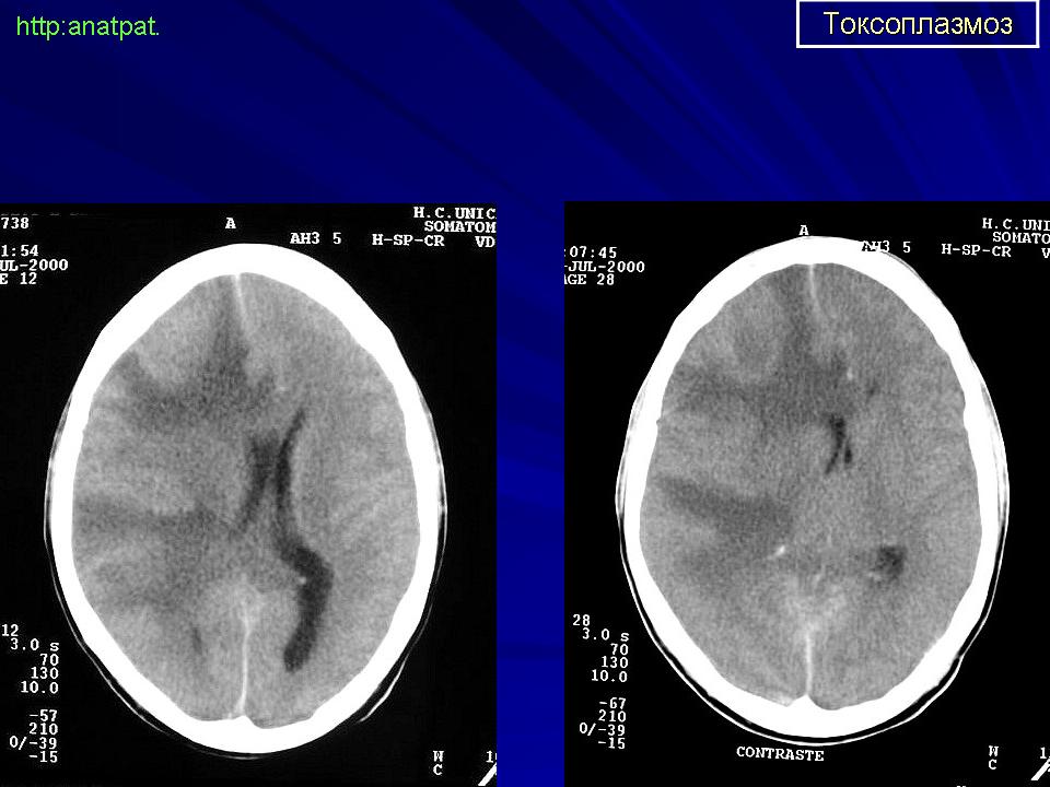
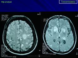
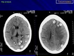
Особенно характерна триада симптомов: хореоретинит, гидроцефалия, очаги обызвествления в головном мозге. Кроме того, отмечаются менингеальные знаки, тонические и клонические судороги, парезы, параличи, олигофрения.
Неврологические симптомы могут сочетаться с пневмонией, миокардитом, гепатоспленомегалией, с выраженной желтухой. В спинномозговой жидкости отмечается лимфоцитарный плеоцитоз (до 500 • 106 в 1 л), ксантохромия (“канареечный” ликвор). На рентгенограмме черепа обнаруживаются обызвествления в глубинных отделах головного мозга, сосудистых сплетениях. Как и приобретенный, врожденный токсоплазмоз может протекать остро, подостро и хронически.
Диагностика токсоплазмоза основана на учете клинических данных, лабораторных исследованиях (серологическая реакция — реакция связывания комплемента с токсоплазменным антигеном и внутрикожная проба с токсоплазмином). При врожденном токсоплазмозе имеет значение акушерский анамнез матери (наличие выкидышей, мертворожденных).
Лечение состоит в повторных курсах хлоридина, аминохоли-на и сульфадимезина. Длительность каждого курса 5—7 дней с интервалом 1,5—2 недели (всего 2—4 курса). Одновременно назначаются антигистаминные и дегидратирующие препараты, глютами-новая кислота, липоцеребрин.
Профилактика приобретенного токсоплазмоза заключается в тщательном соблюдении правил личной гигиены, проведении мероприятий по борьбе с грызунами и бездомными собаками.
Токсоплазмоз
Токсоплазмоз
Представляет собой заболевание, вызываемое ток-соплазмой—простейшим, облигатным внутриклегочным паразитом. Выделяют приобретенный и врожденный токсоплазмоз.
В первом случае токсоплазмы попадают в организм человека при контакте с животным, больным токсоплазмозом (собака), или при употреблении пищевых продуктов, загрязненных выделениями больных собак, грызунов (фекалии, моча, слизь носа, слюна), в которых содержится возбудитель заболевания. Попадая в пищевой канал человека, токсоплазмы затем гематогенным путем распространяются на все органы и системы.
Врожденный токсоплазмоз развивается в результате попадания токсоплазм в организм плода с кровью матери, зараженной этими паразитами. Возбудитель, воздействуя на развивающийся плод, нарушает процесс эмбриогенеза, обусловливая возникновение пороков развития плода и уродств, иногда — внутриутробную смерть плода и выкидыш.
Пато морфологи я. Патоморфологические изменения при приобретенном токсоплазмозе изучены в экспериментах на животных. Установлено, что в центральной нервной системе развиваются явления некротического перивентрикулита, мелкие очаги некроза в субкортикальном белом веществе. В сосудах головного мозга, мягкой мозговой оболочки и хориоидальных сплетениях отмечаются признаки серозно-пролиферативного воспаления. Обнаруживаются также глазные патологоанатомические изменения (типа ретинита, хориоидита, иридоциклита) и изменения во внутренних органах (сердце, легкие, печень, селезенка).
Врожденный токсоплазмоз чаще, чем приобретенный, приводит к летальному исходу. В головном мозге умерших обнаруживаются более или менее значительные очаги обызвествления, участки размягчения мозгового вещества, полости, заполненные жидкостью. Как правило, отмечается гидроцефалия, обусловленная воспалительной и рубцовой облитерацией водопровода среднего мозга, отверстий Люшка или других участков ликворных путей. Истон-чение вещества полушарий мозга может достигать степени их полного исчезновения.
Обнаруживаются также результаты дизэмбриогенеза: анэнцефалия, отсутствие черепных костей, волчья пасть, заячья губа, микрофтальмия и другие дефекты развития.
Клиника приобретенного токсоплазмоз а. Протекает как общее заболевание с мышечной и суставной болью, пят-нисто-папулезной сыпью, увеличением лимфатических желез, непостоянной лихорадкой. Поражение нервной системы проявляется в виде менингоэнцефаломиелита: головная боль, рвота, менинге-альный синдром, моно- и гемипарезы и параличи, атаксия, нарушение функции черепных нервов. В спинномозговой жидкости невысокий лимфоцитарный плеоцитоз, в осадке иногда обнаруживаются токсоплазмы.
Течение приобретенного токсоплазмоза может быть острым, подострым и хроническим. Летальный исход возможен при энцефалите с поражением ствола при сопутствующей тяжелой пневмонии или миокардите.
Клиника врожденного токсоплазмоза характеризуется сочетанием признаков текущего воспалительного процесса в головном мозге и последствий ранее (внутриутробно) развившихся поражений головного мозга.
Особенно характерна триада симптомов: хореоретинит, гидроцефалия, очаги обызвествления в головном мозге. Кроме того, отмечаются менингеальные знаки, тонические и клонические судороги, парезы, параличи, олигофрения.
Неврологические симптомы могут сочетаться с пневмонией, миокардитом, гепатоспленомегалией, с выраженной желтухой. В спинномозговой жидкости отмечается лимфоцитарный плеоцитоз (до 500 • 106 в 1 л), ксантохромия (“канареечный” ликвор). На рентгенограмме черепа обнаруживаются обызвествления в глубинных отделах головного мозга, сосудистых сплетениях. Как и приобретенный, врожденный токсоплазмоз может протекать остро, подостро и хронически.
Диагностика токсоплазмоза основана на учете клинических данных, лабораторных исследованиях (серологическая реакция — реакция связывания комплемента с токсоплазменным антигеном и внутрикожная проба с токсоплазмином). При врожденном токсоплазмозе имеет значение акушерский анамнез матери (наличие выкидышей, мертворожденных).
Лечение состоит в повторных курсах хлоридина, аминохоли-на и сульфадимезина. Длительность каждого курса 5—7 дней с интервалом 1,5—2 недели (всего 2—4 курса). Одновременно назначаются антигистаминные и дегидратирующие препараты, глютами-новая кислота, липоцеребрин.
Профилактика приобретенного токсоплазмоза заключается в тщательном соблюдении правил личной гигиены, проведении мероприятий по борьбе с грызунами и бездомными собаками.
Церебральный токсоплазмоз.
Токсоплазмоз
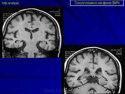
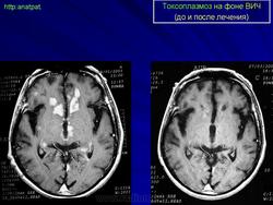
Токсоплазмоз у ВИЧ - инфицированных
http://www.turner-white.com/memberfile.php?PubCode=hp_jul08_toxoplasmosis.pdf
http://www.jpma.org.pk/full_article_text.php?article_id=2010
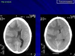
Церебральный токсоплазмоз
http://radiopaedia.org/articles/cerebral-toxoplasmosis-2
http://radiopaedia.org/images/1578287
http://radiopaedia.org/images/1337755
http://www.uaz.edu.mx/histo/pathology/ed/ch_9c/c9c_toxo_ct_scan.htm
Токсоплазмоз
http://www.ajronline.org/doi/full/10.2214/ajr.181.6.1811711
Neurotoxoplasmosis
Случаи и цифры
Дифференциальная диагностика изображения