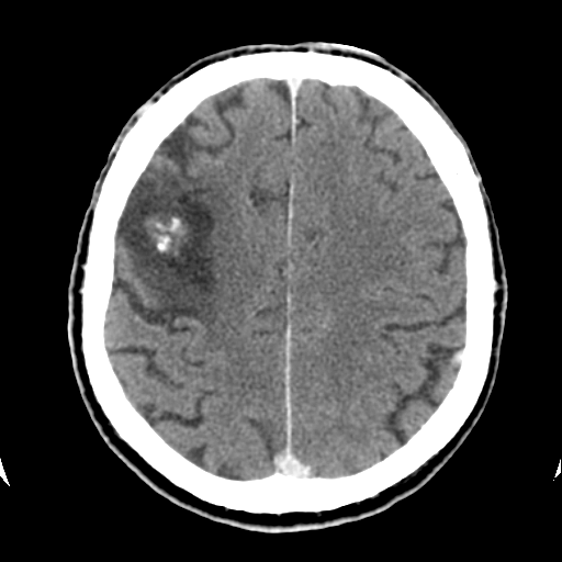
Образование головного мозга КТ.

Привезли с неврологическим дефицитом и эпи экстренно. До и после контрастирования картина образования практически не изменилась.

  • https://radiomed.ru/sites/default/files/styles/case_slider_image/public/user/5374/se001_31.png?itok=yJ4nZu2C
  • https://radiomed.ru/sites/default/files/styles/case_slider_image/public/user/5374/se002_31.png?itok=4zgUUByV
ID:52123
Ola-la аватар
Не на сайте
Был на сайте: 1 год 1 неделя назад
Зарегистрирован: 06.12.2008 - 09:33
Публикации: 1786

А возраст можно узнать?

Сергей Нагорный аватар
Не на сайте
Был на сайте: 9 лет 10 месяцев назад
Зарегистрирован: 13.07.2010 - 22:49
Публикации: 1370

около 50

С уважением, С.Н. Нагорный

Ola-la аватар
Не на сайте
Был на сайте: 1 год 1 неделя назад
Зарегистрирован: 06.12.2008 - 09:33
Публикации: 1786

А по плотности - внутри  кальцинаты?

Любовь С. аватар
Не на сайте
Был на сайте: 9 лет 7 месяцев назад
Зарегистрирован: 23.12.2010 - 01:58
Публикации: 2324

Возможно, олигодендроглиома.

"Предоставляя весь смысл и совершенство в распоряжение одного только Бога, вы избавляете себя от бездны хлопот." Джон Уитборн.

Ola-la аватар
Не на сайте
Был на сайте: 1 год 1 неделя назад
Зарегистрирован: 06.12.2008 - 09:33
Публикации: 1786

Тоже мысли о олигодендроглиоме, был бы молодой возраст, еще в диф.дз можно было бы добавить астроцитому нсз, ганглиоглиому и ДНЕО.

Сергей Нагорный аватар
Не на сайте
Был на сайте: 9 лет 10 месяцев назад
Зарегистрирован: 13.07.2010 - 22:49
Публикации: 1370

Ola-la wrote:

А по плотности - внутри  кальцинаты?

Ага, кальцинаты...

С уважением, С.Н. Нагорный

Евгений Второй аватар
Не на сайте
Был на сайте: 2 месяцев 6 часов назад
Зарегистрирован: 13.09.2011 - 22:00
Публикации: 1772

Нехорошая опухоль...

Катенёв Валентин Львович аватар
Не на сайте
Был на сайте: 7 лет 2 месяцев назад
Зарегистрирован: 22.03.2008 - 22:15
Публикации: 54876

Евгений Второй wrote:
Нехорошая опухоль...

Что опухоль стопудово?

Катенёв Валентин Львович аватар
Не на сайте
Был на сайте: 7 лет 2 месяцев назад
Зарегистрирован: 22.03.2008 - 22:15
Публикации: 54876

А, травмы, головой, у пациента не было?

Сергей Нагорный аватар
Не на сайте
Был на сайте: 9 лет 10 месяцев назад
Зарегистрирован: 13.07.2010 - 22:49
Публикации: 1370

Даю намётку! Локально - атрофия, желудок ползет в зону структурных изменений (это по поводу опухоли если говорить - не отек). Травм не было.

С уважением, С.Н. Нагорный

Евгений Второй аватар
Не на сайте
Был на сайте: 2 месяцев 6 часов назад
Зарегистрирован: 13.09.2011 - 22:00
Публикации: 1772

Поа комментировать не буду, меня ткнули носом несуразность :) Запасся попкорном и на скамейку штрафников...

irena аватар
Не на сайте
Был на сайте: 9 лет 9 месяцев назад
Зарегистрирован: 28.09.2009 - 13:00
Публикации: 289

кавернозная ангиома ?

Popovpavel аватар
Не на сайте
Был на сайте: 7 лет 4 месяцев назад
Зарегистрирован: 08.06.2009 - 00:23
Публикации: 649

Что значит, с "неврологическим дефицитом"? Можете поподробнее рассказать клинику? Предварительное заключение невролога?

Сергей Нагорный аватар
Не на сайте
Был на сайте: 9 лет 10 месяцев назад
Зарегистрирован: 13.07.2010 - 22:49
Публикации: 1370

Гемипарез справа. Заключение невролога - ОНМК.

С уважением, С.Н. Нагорный

Popovpavel аватар
Не на сайте
Был на сайте: 7 лет 4 месяцев назад
Зарегистрирован: 08.06.2009 - 00:23
Публикации: 649

Вообще-то зона пониженной плотности вокруг - это старые изменения, кистозно-глиозные... Что за кальцинированная блямба в центре - непонятно. Контраст не копила?

nnemo аватар
Не на сайте
Был на сайте: 11 лет 3 месяцев назад
Зарегистрирован: 13.09.2011 - 18:32
Публикации: 561

Нагорный Сергей Николаевич wrote:

Даю намётку! Локально - атрофия, желудок ползет в зону структурных изменений (это по поводу опухоли если говорить - не отек). Травм не было.

Сергей Николаевич, что то вы утаиваете еще от нас... Может расскажите пополнее анамнез; в костном окне - кости не изменены? Травм не было вообще или в последнее время?

И почему, если увязывать с гемипарезом он (гемипарез) справа, а не слева?

Больше похоже на старые дела (по типу "эхо войны")...

Сергей Нагорный аватар
Не на сайте
Был на сайте: 9 лет 10 месяцев назад
Зарегистрирован: 13.07.2010 - 22:49
Публикации: 1370

Я ничего не утаиваю. Анамнеза другого не знаю, травм не было вообще, кости не изменены.  ОНМК по клинике невролог ставит и эпиприпадок по клинике перед тем, как его привезли.

С уважением, С.Н. Нагорный

Сергей Нагорный аватар
Не на сайте
Был на сайте: 9 лет 10 месяцев назад
Зарегистрирован: 13.07.2010 - 22:49
Публикации: 1370

nnemo wrote:

И почему, если увязывать с гемипарезом он (гемипарез) справа, а не слева?

Больше похоже на старые дела (по типу "эхо войны")...

Обычная топика кортикоспинального тракта. Справа лежат тела первых нейронов, их аксоны имеют перекрест абсолютным большинством в области ствола мозга налево. Поэтому клиника слева.

С уважением, С.Н. Нагорный

Сергей Нагорный аватар
Не на сайте
Был на сайте: 9 лет 10 месяцев назад
Зарегистрирован: 13.07.2010 - 22:49
Публикации: 1370

Извиняюсь, с уверенностью думаю про гемипарез слева, а написал гемипарез справа. Возможно, не то написал, но писал это когда сидел с историей. Думаю, что гемипарез слева должен быть, всё верно.

С уважением, С.Н. Нагорный

Сергей Нагорный аватар
Не на сайте
Был на сайте: 9 лет 10 месяцев назад
Зарегистрирован: 13.07.2010 - 22:49
Публикации: 1370

В общем что я сам думаю по этому поводу...

Конечно, это не глиальная опухоль, к.м.к. и не мтс. Естественно, про отек тут речь не идет, вокруг зона кистозно-атрофических изменений с глиозом. Ну что может быть? Если есть зона мертвой ткани, значит был ишемический инфаркт/кровоизлияние. Травмы исключает, никаких признаков. Дык вот мое мнение, что это образование - какая-то небольшая КА, АВМ (что-то сосудистое), которое либо тромбировалось, либо произошло кровоизлияние и эта дрянь сама от себя погибла и поставила себе надгробья в виде таких камней. Как вам такой расклад? Только не говорите, что я курю что-то злое devil Просто других объяснений не вижу.

С уважением, С.Н. Нагорный

nnemo аватар
Не на сайте
Был на сайте: 11 лет 3 месяцев назад
Зарегистрирован: 13.09.2011 - 18:32
Публикации: 561

Нагорный Сергей Николаевич wrote:

Гемипарез справа. Заключение невролога - ОНМК.

справа - слева? 

nnemo аватар
Не на сайте
Был на сайте: 11 лет 3 месяцев назад
Зарегистрирован: 13.09.2011 - 18:32
Публикации: 561

Нагорный Сергей Николаевич wrote:

Извиняюсь, с уверенностью думаю про гемипарез слева, а написал гемипарез справа. Возможно, не то написал, но писал это когда сидел с историей. Думаю, что гемипарез слева должен быть, всё верно.

ну, славо богу разобрались с "право-левыми" делами.... 

Катенёв Валентин Львович аватар
Не на сайте
Был на сайте: 7 лет 2 месяцев назад
Зарегистрирован: 22.03.2008 - 22:15
Публикации: 54876

Нагорный Сергей Николаевич wrote:

В общем что я сам думаю по этому поводу...

Конечно, это не глиальная опухоль, к.м.к. и не мтс. Естественно, про отек тут речь не идет, вокруг зона кистозно-атрофических изменений с глиозом. Ну что может быть? Если есть зона мертвой ткани, значит был ишемический инфаркт/кровоизлияние. Травмы исключает, никаких признаков. Дык вот мое мнение, что это образование - какая-то небольшая КА, АВМ (что-то сосудистое), которое либо тромбировалось, либо произошло кровоизлияние и эта дрянь сама от себя погибла и поставила себе надгробья в виде таких камней. Как вам такой расклад? Только не говорите, что я курю что-то злое devil Просто других объяснений не вижу.

Интересное объяснение..., ну. а "камни", на Ваш взгляд, сидерин?

Сергей Нагорный аватар
Не на сайте
Был на сайте: 9 лет 10 месяцев назад
Зарегистрирован: 13.07.2010 - 22:49
Публикации: 1370

Разобрались. Либо я ошибся мимоходом списав из истории, либо невролог. А возможно, ОНМК и действительно справа, просто изменений на КТ на момент исследования не видно. В данном случае ОНМК не суть, право или лево - ничего не меняет.  Необходимо больше отталкиваться от КТ-морфологических признаков данного образования.

С уважением, С.Н. Нагорный

Popovpavel аватар
Не на сайте
Был на сайте: 7 лет 4 месяцев назад
Зарегистрирован: 08.06.2009 - 00:23
Публикации: 649

Вообще, если мы видим образование повышенной плотности с кальцинатами, не накапливающее контраст, то логичнее всего подумать о кавернозной ангиоме. Хотя эти штуки обычно никак себя клинически не проявляют, и мозговая ткань вокруг них обычно не изменена.