Петро-кливальная менингиома-рецидив?

Женщина по направлению нейрохирурга.В мае 2011  года оперирована по поводу петро-кливальной менингиомы ( где конкретно-слева или справа-история умалчивает, предыдущие исследования и описания не представила).Кроме менингиомы  нашла еще несколько изменений в головном мозге.Хочу послушать мнение уважаемых коллег и сравнить со своими умозаключениями.Это для самоконтроля-честное слово!

                

Постконтраст.

    

  • https://radiomed.ru/sites/default/files/styles/case_slider_image/public/user/5662/sher2.jpg?itok=TaOLGRYJ
  • https://radiomed.ru/sites/default/files/styles/case_slider_image/public/user/5662/sher3.jpg?itok=tuuo10n1
  • https://radiomed.ru/sites/default/files/styles/case_slider_image/public/user/5662/sher4.jpg?itok=_zNs7yQj
  • https://radiomed.ru/sites/default/files/styles/case_slider_image/public/user/5662/sher6.jpg?itok=nrg4yWtd
  • https://radiomed.ru/sites/default/files/styles/case_slider_image/public/user/5662/sher6_0.jpg?itok=trDbpoq-
  • https://radiomed.ru/sites/default/files/styles/case_slider_image/public/user/5662/sher7.jpg?itok=wM3wkFJP
  • https://radiomed.ru/sites/default/files/styles/case_slider_image/public/user/5662/sher8.jpg?itok=An4JBqkm
  • https://radiomed.ru/sites/default/files/styles/case_slider_image/public/user/5662/sher9.jpg?itok=bkOsuTgm
  • https://radiomed.ru/sites/default/files/styles/case_slider_image/public/user/5662/sher10_0.jpg?itok=ECNkpdL5
  • https://radiomed.ru/sites/default/files/styles/case_slider_image/public/user/5662/sher11.jpg?itok=Iwvxdg35
  • https://radiomed.ru/sites/default/files/styles/case_slider_image/public/user/5662/sher11_0.jpg?itok=fHW-vAdc
  • https://radiomed.ru/sites/default/files/styles/case_slider_image/public/user/5662/sher12.jpg?itok=XL_DqvKy
  • https://radiomed.ru/sites/default/files/styles/case_slider_image/public/user/5662/sher13.jpg?itok=zKvqRr3t
  • https://radiomed.ru/sites/default/files/styles/case_slider_image/public/user/5662/sher14_0.jpg?itok=Ln_cp-6A
  • https://radiomed.ru/sites/default/files/styles/case_slider_image/public/user/5662/sher15_0.jpg?itok=xrUuGAR5
  • https://radiomed.ru/sites/default/files/styles/case_slider_image/public/user/5662/sher16.jpg?itok=tBHmenI9
  • https://radiomed.ru/sites/default/files/styles/case_slider_image/public/user/5662/sher17.jpg?itok=6Ve3i6S1
  • https://radiomed.ru/sites/default/files/styles/case_slider_image/public/user/5662/sher18.jpg?itok=4wbO6RMm
  • https://radiomed.ru/sites/default/files/styles/case_slider_image/public/user/5662/sher19.jpg?itok=7dMb9ElC
ID:50054
И.Бондаренко аватар
Не на сайте
Был на сайте: 1 день 18 часов назад
Зарегистрирован: 13.09.2011 - 22:55
Публикации: 9208

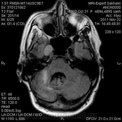
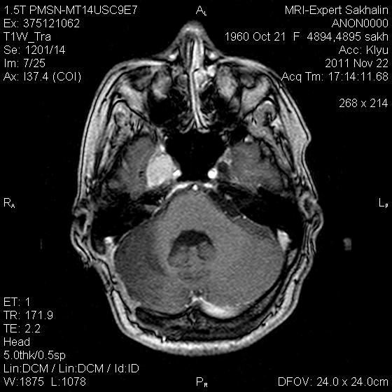
Не специалист в МРТ. Образование в правой височной доле (?), сбоку от турецкого седла. Изменения сигнала в правом полушарии мозжечка, расширение 4-го желудочка.

Dr.Drug аватар
Не на сайте
Был на сайте: 7 лет 11 месяцев назад
Зарегистрирован: 01.11.2008 - 20:21
Публикации: 464

Судя по глиозным изменениям справа, дефекту затылочной кости кости - было справа и оперировали через поперечный синус. Стало быть - рецидив.

С уважением, А.В.Коробейников

Helios аватар
Не на сайте
Был на сайте: 9 месяцев 2 недели назад
Зарегистрирован: 06.08.2010 - 15:16
Публикации: 4417

Спасибо за посты.А расширение базальных цистерн и широкое сообщение с 4 желудочком?

Dr.Drug аватар
Не на сайте
Был на сайте: 7 лет 11 месяцев назад
Зарегистрирован: 01.11.2008 - 20:21
Публикации: 464

Helios wrote:

Спасибо за посты.А расширение базальных цистерн и широкое сообщение с 4 желудочком?

Дали бы срединный сагитал Т2, было бы что сказать...

С уважением, А.В.Коробейников

nnemo аватар
Не на сайте
Был на сайте: 11 лет 3 месяцев назад
Зарегистрирован: 13.09.2011 - 18:32
Публикации: 561

Состояние после провденного оперативного лечения в ЗЧЯ (кистозно-глиозные изменения в правом полушарии мозжечка, послеоперационный костный дефект затылочной кости справа). Объемное образование медиобазальных отделов правой височной области (параселлярно справа). Хорошо копит контраст. Возможно - рецидив, возможно остаточный фрагмент или продолженный рост... Надо знать что было до операции... Не вижу "кливального" компонента... Не исключено распространение в проекцию основной пазухи (по моему как минимум деформирована ее стенка).

Еще не нравится что "копит" намет парасагитально справа, но толком не рассмотреть...

nnemo аватар
Не на сайте
Был на сайте: 11 лет 3 месяцев назад
Зарегистрирован: 13.09.2011 - 18:32
Публикации: 561

По-моему в чем то сходно с  http://radiographia.ru/node/5858

Helios аватар
Не на сайте
Был на сайте: 9 месяцев 2 недели назад
Зарегистрирован: 06.08.2010 - 15:16
Публикации: 4417

То Dr.Drug: срединный сагиттал имеется.

То nnemo: спасибо-как всегда-коротко и ясно. Мне тоже интересно-что было до операции-но )))

Dr.Drug аватар
Не на сайте
Был на сайте: 7 лет 11 месяцев назад
Зарегистрирован: 01.11.2008 - 20:21
Публикации: 464

Helios wrote:

То Dr.Drug: срединный сагиттал имеется.

Срединный сагиттал Т2. Хорошо, что он у Вас имеется. Нам бы тоже хотелось посмотреть.

С уважением, А.В.Коробейников

Helios аватар
Не на сайте
Был на сайте: 9 месяцев 2 недели назад
Зарегистрирован: 06.08.2010 - 15:16
Публикации: 4417

Срединный сагиттал Т2 в стандартных исследованиях  не делаем.Только при необходимости.

Dr.Drug аватар
Не на сайте
Был на сайте: 7 лет 11 месяцев назад
Зарегистрирован: 01.11.2008 - 20:21
Публикации: 464

А функцию сильвиева водопровода как визуализируете?! Темный поток жидкости на фоне белого фона стоячей жидкости... Как на Т1?!

С уважением, А.В.Коробейников

Helios аватар
Не на сайте
Был на сайте: 9 месяцев 2 недели назад
Зарегистрирован: 06.08.2010 - 15:16
Публикации: 4417

Такие у нас формализовнные протоколы .