Пол пациента:
Тип патологии:
Область исследования:
Методы исследования:
- https://radiomed.ru/sites/default/files/styles/case_slider_image/public/user/9121/b2.jpg?itok=iaKf_Cdq
- https://radiomed.ru/sites/default/files/styles/case_slider_image/public/user/9121/b3.jpg?itok=anIu1WHQ
- https://radiomed.ru/sites/default/files/styles/case_slider_image/public/user/9121/b4.jpg?itok=kfG6gOkk
- https://radiomed.ru/sites/default/files/styles/case_slider_image/public/user/9121/b5.jpg?itok=m4gWy5-o
- https://radiomed.ru/sites/default/files/styles/case_slider_image/public/user/9121/b7.jpg?itok=WbslN3cT
ID:17257
Кажется есть точка над i?
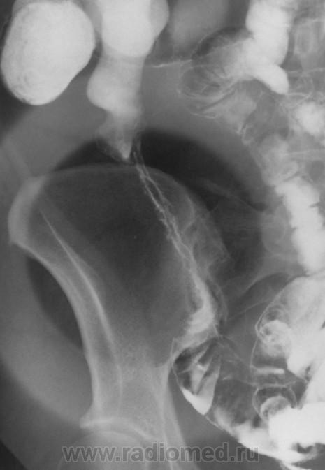
Крона vs. туб. vs. лимфома подвздошной. Цекум мобиле. Пдпеченочный аппендикс. Дивертикул сигмы.
Verum plus uno esse non potest.
Бог с ним дивертикулом то.
Терминальный илеит(Крон). Респект за качество исследования, и снимков.!!!
Наверное да.
Неоднозначно всё
Наверное Вы коллеги правы.
Стойкое чувство зависти к качеству снимков... Как называется Ваш рентгеновский аппарат, Михаил Анатольевич?
https://www.youtube.com/channel/UCBGxoBUOqUT_bFhSeUgtWEw
КРТ Электрон Эксперт
Согласен со всеми. Такого качества от наших российских аппаратов не ожидал. Работаем на КРТ Элетроне (но не Эксперте, сборка проще), так кроме проблем ничего не видим.
Спасибо!
https://www.youtube.com/channel/UCBGxoBUOqUT_bFhSeUgtWEw
Михаил Анатольевич, а есть ли возможность делать полноформатные плёночные снимки на вашем КРТ Электрон Эксперт?
Неоднозначно всё
Работаю на РДК "Электрон" на 3 рабочих места. В эксплуатации, эргономике и качестве снимков намного лучше итальянского Clinomat Ital Ray
Verum plus uno esse non potest.
Возможность есть.
Коллега прав.
Но очень важно учитывать для каких исследований предназначен рентгеновский кабинет.
А в чем проблемы?
Спасибо за иллюстрации. Забрал в набор.