Онкология. ОГК. Опухоли сердца. +

Мэри Л. Grebenc, CDR, MC, USNR, Мелисса Л. Росадо-де-Кристенсон, полковник ВВС США, MC , Кертис Е. Зеленый, доктор медицинских наук, Аллен П. Берк, доктор медицинских наук и Джеффри Р. Galvin, доктор медицинских наук

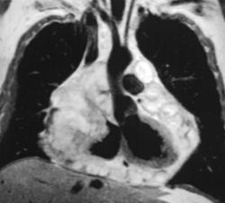
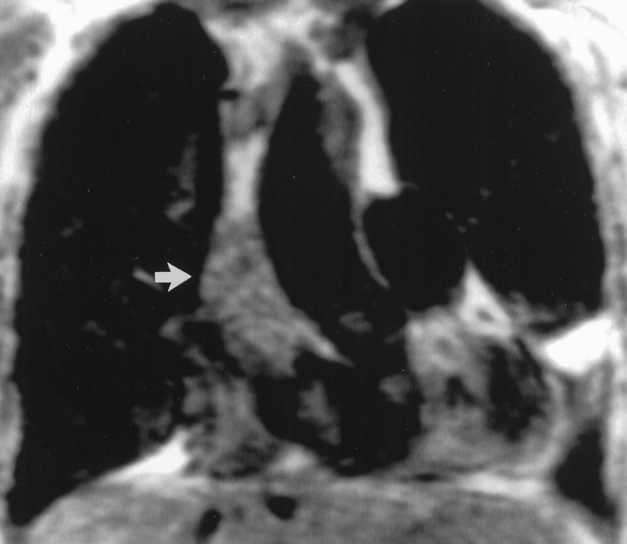
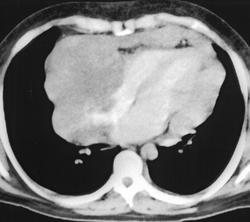
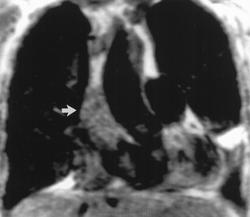
Саркома может возникнуть в любом возрасте, но наиболее часто в 30- 50 лет, одинаково часто у мужчин и женщин. Опухоль поражает преимущественно правые отделы сердца, исходя, как правило, из эндокарда или перикарда. Первичная саркома сердца может вызвать окклюзию клапанных отверстий и выходных отделов желудочков, сдавливать и прорастать коронарные сосуды, крупные артерии и вены. Она отличается быстрым инвазивным ростом, прорастает все слои сердца и близлежащие органы, а также быстро и обширно метастазирует в легкие, средостение, трахеобронхиальные и ретроперитонеальные лимфатические узлы, надпочечники, мозг.

 

Ангиосаркома - наиболее частая разновидность, составляющая 33% первичных злокачественных опухолей. У мужчин встречается в 2- 3 раза чаще, чем у женщин. Опухоль может поражать любые отделы сердца, наиболее часто - правое предсердие.

Ангиосаркома макроскопически представляет собой плотное бугристое образование, инфильтрирующее ткани. На разрезе видны очаги некроза и кровооизлияний. Микроскопически определяются веретенообразные, полигональные или округлые клетки, образующие синцитий и складывающиеся в беспорядочно расположенные тяжи. Характерным является образование различных по размерам и форме сосудистых полостей, заполненных кровью и сообщающихся между собой. Между клетками опухоли находятся рыхлые сети аргирофильных волокон, напоминающих базальную мембрану.

Первичная сердечная лимфома.

Саркома сердца — групповое обозначение весьма редких новообразований, поражающих, главным образом, лиц среднего возраста. Сюда входят 9—11 типов, из которых самыми распространенными являются: ангиосаркома, злокачественная фиброзная гистиоцитома и лейомиосаркома. Среди остальных типов сарком сердца встречаются остеосаркома, фибросаркома, миксосаркома, рабдомиосаркома, синовиальная саркома, липосаркома и саркома Капоши. Все они практически идентичны своим аналогам при других локализациях. 

Катенёв Валентин Львович аватар
Не на сайте
Был на сайте: 7 лет 3 месяцев назад
Зарегистрирован: 22.03.2008 - 22:15
Публикации: 54876

Папиллярная фиброэластома.

Папиллярная фиброэластома, так же известная как эндокардиальная папиллома, - вторая по распространенности первичная опухоль сердца после миксомы. Некоторые авторы описывают ее в виде гигантского нароста Ламбла и считают частым признаком клапанных пороков. Папиллярная фиброэластома образуется из мелких тромбов на поверхности эндокарда.

Как правило, это небольшая опухоль размером около 1-2 см, расположенная внутри камер сердца и происходящая из эндокарда. Чаще всего обнаруживают поражение АК, реже - митрального, трехстворчатого и пульмонального. Источником роста также могут быть интрамуральный неклапанный эндокард, папиллярные мышцы и сухожилия хорд.

При макроскопическом исследовании опухоль напоминает папиллому с множественными листьями или актинию, форма которой лучше определяется под водой. При гистологическом исследовании опухоль имеет типичную папиллярную форму с неваскуляризированными фиброэластическими листьями, связанными с основным стеблем, окруженными миксоидной тканью и покрытыми одним слоем эндокарда. Также можно обнаружить свежие или организованные тромбы. Часто папиллярную фиброэластому ошибочно принимают за ворсинчатую миксому.

В связи с небольшим размером папиллярная фиброэластома редко вызывает симптомы обструкции. Тем не менее при аускультации можно услышать систолический или диастолический шум.

В отличие от миксомы, папиллярная фиброэластома - твердая, редко - рыхлая опухоль, часто приводящая к эмболии. ИМ, транзиторная ишемическая атака и инсульт нередко служат первыми клиническими признаками заболевания. Другое очень редкое осложнение, которое может вызвать внезапную смерть, - заклинивание АК в устье коронарного входа папилломой, располагающейся на свободном крае коронарной створки.

В настоящее время папиллярная фиброэластома стала частой находкой при ЭхоКГ, которую проводят при появлении необъяснимого шума во время аускультации, развитии эмболии и др. В связи с потенциальным риском возникновения эмболии рекомендовано обязательное выполнение хирургического вмешательства, по крайней мере, при левостороннем поражении. С другой стороны, при правосторонних папиллярных фиброэластомах риск микроэмболизации в малом круге кровообращения, как правило, не оправдывает проведение операции, сопровождающейся торакотомией и остановкой кровообращения.

Мэри Л. Grebenc, CDR, MC, USNR, Мелисса Л. Росадо-де-Кристенсон, полковник ВВС США, MC , Кертис Е. Зеленый, доктор медицинских наук, Аллен П. Берк, доктор медицинских наук и Джеффри Р. Galvin, доктор медицинских наук

Приложения: 
f23.large_.jpgf24.large_.jpg
Катенёв Валентин Львович аватар
Не на сайте
Был на сайте: 7 лет 3 месяцев назад
Зарегистрирован: 22.03.2008 - 22:15
Публикации: 54876

Ангиосаркома 

 

Приложения: 
14.mik_.slayd47.jpg
Катенёв Валентин Львович аватар
Не на сайте
Был на сайте: 7 лет 3 месяцев назад
Зарегистрирован: 22.03.2008 - 22:15
Публикации: 54876

Рабдомиома.

Приложения: 
3.mik_.slayd46.jpg
Катенёв Валентин Львович аватар
Не на сайте
Был на сайте: 7 лет 3 месяцев назад
Зарегистрирован: 22.03.2008 - 22:15
Публикации: 54876

Миксома предсердия

</p> <p>

ID: 8544 Atrial myxoma Dr Frank Gaillard - 10 Feb 2010 This patient went on to have a resection and an atrial myxoma was confir...

ID: 14404 Atrial myxoma on CTPA Dr Jeremy Jones - 21 Jul 2011 No PE or other cause of breathlessness on review of the lungs. How...

Случаи и цифры

  •  
    Рисунок 1: 
  •  
    Дело 1
  •  
    Случай 1: миксома правого предсердия
  •  
    Случай 2: миома левого предсердия
  • Низкое затухание м ...
     
    Случай 3: миксома левого предсердия
  •  
    Случай 4: миома левого предсердия
  •  
    Случай 5: миома левого предсердия

Дифференциальная диагностика изображения

  •  
    В
Катенёв Валентин Львович аватар
Не на сайте
Был на сайте: 7 лет 3 месяцев назад
Зарегистрирован: 22.03.2008 - 22:15
Публикации: 54876