Забрюшинное пространство. Патология. Втр, 13/12/2011 - 22:29 #1 И.Бондаренко Не на сайте Был на сайте: 1 неделя 1 день назад Зарегистрирован: 13.09.2011 - 22:55 Публикации: 9213 Спасибо за презентацию. Ср, 01/02/2012 - 00:26 #2 Катенёв Валенти... Не на сайте Был на сайте: 7 лет 5 месяцев назад Зарегистрирован: 22.03.2008 - 22:15 Публикации: 54876 Забрюшинное пространство. Патология.Приложения: Ср, 01/02/2012 - 00:31 #3 Катенёв Валенти... Не на сайте Был на сайте: 7 лет 5 месяцев назад Зарегистрирован: 22.03.2008 - 22:15 Публикации: 54876 Забрюшинное пространство. Патология.Приложения: Пнд, 27/11/2017 - 19:06 #4 Катенёв Валенти... Не на сайте Был на сайте: 7 лет 5 месяцев назад Зарегистрирован: 22.03.2008 - 22:15 Публикации: 54876 Дифференциальная диагностика перинефрических "масс" на КТ и МРТ Карцинома почек Просмотр увеличенной версии (65K) лимфома Просмотр увеличенной версии (88K) http://www.ajronline.org/doi/full/10.2214/ajr.183.6.01831697?src=recsys Чт, 11/01/2018 - 16:27 #5 Катенёв Валенти... Не на сайте Был на сайте: 7 лет 5 месяцев назад Зарегистрирован: 22.03.2008 - 22:15 Публикации: 54876 Radiology Key. Ретроперитонеальные заболевания https://radiologykey.com/retroperitoneal-diseases/ Рисунок 7.2.
Спасибо за презентацию.
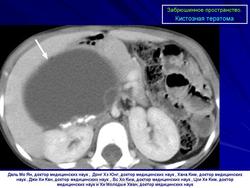
Забрюшинное пространство. Патология.
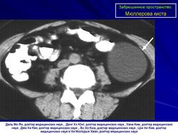
Забрюшинное пространство. Патология.
Дифференциальная диагностика перинефрических "масс" на КТ и МРТ
Карцинома почек

Просмотр увеличенной версии (65K)
лимфома

Просмотр увеличенной версии (88K)
Radiology Key.
Ретроперитонеальные заболевания
https://radiologykey.com/retroperitoneal-diseases/