Помогите разобраться. Сегодня поступил мужчина 61год, температура 38 в течение двух недель, больше жалоб нет. Бледный очень ( анализы в работе). Заболевания отрицает, в контакте с тбс не был. Что тут может быть? Заранее извиняюсь за качество снимков...не было с собой фотика и негатоскопа:((((((
Помогите разобраться. Сегодня поступил мужчина 61год, температура 38 в течение двух недель, больше жалоб нет. Бледный очень ( анализы в работе). Заболевания отрицает, в контакте с тбс не был. Что тут может быть? Заранее извиняюсь за качество снимков...не было с собой фотика и негатоскопа:((((((
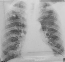
Вот, по поводу этой, на мой взгляд туберкуломы, пациента надо направить на консультацию к фтизиатру.
Я бы снял прицельную заднюю проекцию левой верхушки, т.к. за тенью первого ребра слева похоже туберкулома с распадом.Не выкашливает ли ваш дядя палочку из неё????
Вот, по поводу этой, на мой взгляд туберкуломы, пациента надо направить на консультацию к фтизиатру.
Я бы снял прицельную заднюю проекцию левой верхушки, т.к. за тенью первого ребра слева похоже туберкулома с распадом.Не выкашливает ли ваш дядя палочку из неё????
Старый туберкулезник с "застойными" легкими. И я доснял бы еще правый бок.
Хочешь сделать что-то нормально - сделай это сам!
Pilula20, так чем дело кончилось? Что Вы предприняли в качестве дообследования?
Больше данных за тбц, похоже там еще и в левом легком очаг ( инфильтрат ), отправьте к фтизиатрам.