ОГК. Хочу с Вами посоветоваться коллеги.

Пол пациента: 
Методы исследования: 

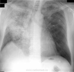
50 лет. Вич - отрицательный. Поступил  вчера. Болен 2 мес. Состояние средней тяжести.  Нарастает одышка. Кашель сухой.  Температура тела 37,5 С  не более. Лейк. 20 тыс. эозинофилы 40%, СОЭ - 70мм/ч. Повторили ан. крови, эозин. опять 38%.  Социально благополучен. О каком заболевании можно думать при таких данных?  Жду. Nikolas

  • https://radiomed.ru/sites/default/files/styles/case_slider_image/public/user/7898/ris2.jpg?itok=jj1YjoB8
ID:20564
Santuus аватар
Не на сайте
Был на сайте: 2 года 7 месяцев назад
Зарегистрирован: 01.07.2009 - 23:08
Публикации: 109

Я бы рекомендовал КТ, для исключения онкологии. Ателектаз в средней доли правого лёгкого, снижения пневматизации по всем полям справа.

Фаина аватар
Не на сайте
Был на сайте: 3 года 1 месяц назад
Зарегистрирован: 14.12.2008 - 16:51
Публикации: 323

При такой эозинофилии приходит на мысль паразитарное поражение легких

Bob аватар
Bob
Не на сайте
Был на сайте: 12 лет 1 месяц назад
Зарегистрирован: 20.08.2011 - 20:06
Публикации: 218

По сезону о описторхозе.

Дмитрий86 аватар
Не на сайте
Был на сайте: 1 год 2 месяцев назад
Зарегистрирован: 17.01.2012 - 08:49
Публикации: 285

эозинофильная инфильтрация. бронхоскопия, кт

Сан Саныч1 аватар
Не на сайте
Был на сайте: 1 год 1 месяц назад
Зарегистрирован: 07.06.2010 - 21:17
Публикации: 2114

Я порекомендовал бы поискать грибы.

Хочешь сделать что-то нормально - сделай это сам!

Dr.Akulla аватар
Не на сайте
Был на сайте: 12 лет 3 недели назад
Зарегистрирован: 28.05.2011 - 20:06
Публикации: 218

Эозинофильный лейкоз? Скорее болезнь крови.

Сан Саныч1 аватар
Не на сайте
Был на сайте: 1 год 1 месяц назад
Зарегистрирован: 07.06.2010 - 21:17
Публикации: 2114

Лейкозы не перетягивают средостение.

Хочешь сделать что-то нормально - сделай это сам!

Евгений1313 аватар
Не на сайте
Был на сайте: 13 лет 2 месяцев назад
Зарегистрирован: 15.10.2010 - 19:13
Публикации: 808

Видно пациент давно не обследовался. Что вырастил такую гулю в С6 справа.Э, да он похоже после лобэктомии.И слева туберкулез.Тогда -рецедив .

Nikolas аватар
Не на сайте
Был на сайте: 1 месяц 2 недели назад
Зарегистрирован: 21.12.2010 - 20:37
Публикации: 4560

на органах грудной клет. не было

Гриша Хата аватар
Не на сайте
Был на сайте: 10 лет 2 месяцев назад
Зарегистрирован: 09.02.2011 - 20:40
Публикации: 665

Бывают лимфосаркомы, а это, наверное, эозинофильная саркома, только очень запущенная.

Петрович аватар
Не на сайте
Был на сайте: 7 лет 5 месяцев назад
Зарегистрирован: 22.03.2009 - 01:13
Публикации: 3908

Гриша Хата wrote:
Бывают лимфосаркомы, а это, наверное, эозинофильная саркома, только очень запущенная.

Что бы там ни было, … похоже, не жилец.

Возможно, скоро узнаем о патанатомическом субстрате такой рентгеновской картины.

Неоднозначно всё

Евгений1313 аватар
Не на сайте
Был на сайте: 13 лет 2 месяцев назад
Зарегистрирован: 15.10.2010 - 19:13
Публикации: 808

Петрович поставил точку в дискуссии.

Глазков Игорь Артурович аватар
Не на сайте
Был на сайте: 11 месяцев 3 недели назад
Зарегистрирован: 19.12.2008 - 20:41
Публикации: 1597

два варианта:

1. Фиброзно-кавернозный туберкулёз

2. Паразитарное поражение - эхиноккок

Прийди к Себе

Nikolas аватар
Не на сайте
Был на сайте: 1 месяц 2 недели назад
Зарегистрирован: 21.12.2010 - 20:37
Публикации: 4560

спасибо за Ваши мнения. Передал их  леч. врачам. Новости сообщу по мере поступления.

Фаина аватар
Не на сайте
Был на сайте: 3 года 1 месяц назад
Зарегистрирован: 14.12.2008 - 16:51
Публикации: 323

Будем ждать

Катенёв Валентин Львович аватар
Не на сайте
Был на сайте: 7 лет 3 месяцев назад
Зарегистрирован: 22.03.2008 - 22:15
Публикации: 54876

Ну, мокроту точно исследовали...

Что, ни "палки", ни "грибов" нет?

Dr.Akulla аватар
Не на сайте
Был на сайте: 12 лет 3 недели назад
Зарегистрирован: 28.05.2011 - 20:06
Публикации: 218

Хотелось бы продолжения.

Nikolas аватар
Не на сайте
Был на сайте: 1 месяц 2 недели назад
Зарегистрирован: 21.12.2010 - 20:37
Публикации: 4560

Сегодня мне сообщили. У больного установлен окончательно Синдром Черджа- Стросс (СЧС). Краткое сообщение об этой болезни. Относится к группе заболеваний,  "легочные эозинофилии". Изменения на рентгенограммах  и КТ не являются специфическими для СЧС. Инфильтраты в лёгких различной протяженности и плотности, часто мигрирующие, обнаруживаются у 2/3 больных. Реже наблюдаются узелковые центрилобулярные изменения, утолщения стенок бронхов, внутригрудная лимфаденопатия, плевральный и перикардиальный выпот ( последние два признака отмечены на КТ у нашего больного). Ретроспективный пересмотр рентгенограмм позволяет это заметить. С уважением ко всем Вам за Ваше участие в диагностике заболевания. Nikolas.

Гриша Хата аватар
Не на сайте
Был на сайте: 10 лет 2 месяцев назад
Зарегистрирован: 09.02.2011 - 20:40
Публикации: 665

И это здорово!

Dr.Akulla аватар
Не на сайте
Был на сайте: 12 лет 3 недели назад
Зарегистрирован: 28.05.2011 - 20:06
Публикации: 218

Спасибо за редкий случай! Антитела или биопсия?

Петрович аватар
Не на сайте
Был на сайте: 7 лет 5 месяцев назад
Зарегистрирован: 22.03.2009 - 01:13
Публикации: 3908

А чем при этом синдроме объясняется столь явное смещение средостения вправо и такое подтягивание диафрагмы вверх? И продолжает ли нарастать одышка? Может быть здесь есть и ещё что-то?

Неоднозначно всё

Dr.Akulla аватар
Не на сайте
Был на сайте: 12 лет 3 недели назад
Зарегистрирован: 28.05.2011 - 20:06
Публикации: 218

Возможно, компрессионный ателектаз лимфоузлами и выпотом.

фатя аватар
Не на сайте
Был на сайте: 4 года 4 месяцев назад
Зарегистрирован: 13.02.2012 - 19:43
Публикации: 30

у этого больного не может не быть в анамнезе перенесенный плеврит так как диафрагма подтянута

фкар

Петрович аватар
Не на сайте
Был на сайте: 7 лет 5 месяцев назад
Зарегистрирован: 22.03.2009 - 01:13
Публикации: 3908

Случай, по-моему, остался не проясненным: нет же ответа на важнейшие вопросы.

Неоднозначно всё

Nikolas аватар
Не на сайте
Был на сайте: 1 месяц 2 недели назад
Зарегистрирован: 21.12.2010 - 20:37
Публикации: 4560

Б-й  50 лет. Профанамнеза нет. Поступил в терапевтический стационар с жалобами на ощущение заложенности в грудной клетке, затруднённое дыхание, малопродуктивный кашель, одышку в покое,  потливость, выраженную слабость, повышение температуры тела до 37,5 С.
Анамнез заболевания. В течение  2 лет  беспокоит периодически возникающий приступообразный кашель, заложенность носа. Состояние расценивалось как хронический фарингит, аллергический ринит. В мае 2011 г. выставлен диагноз – бронхиальная астма лёгкого течения. У больного была диагностирована аллергия на домашнюю пыль,  клещ домашней пыли и другие.  От лечения ингаляционными глюкокортикостероидами  больной отказался из-за предубеждения о «вреде гормонов  для организма».  В январе 2012   обратился в частную клинику тибетской медицины,  где начал проходить лечение (иглоукалывание, травы) по поводу бронхиальной астмы. После первых сеансов у пациента появились головные боли, слабость. Однако сладкоголосые тибетские Серены ему шептали в уши: «Это так должно быть и скоро ты будешь летать». Но с каждым днем ему становилось все хуже, хуже. Нарастала общая  и мышечная слабость. Больной едва-едва ходил на работу. После последнего сеанса, по дороге на работу,  упал и был доставлен в больницу.
Граждане Российской империи: «Помните, что  лечение в частных клиниках опасно для жизни!»

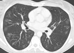
 В ходе обследования обращало на себя внимание увеличение уровня лейкоцитов (20*109 /л) и эозинофилов  (40 %),  лимфопения (7%), СОЭ – 70 мм/ч при нормальном уровне гемоглобина,  повышение уровня IgЕ до 461 МЕ/мл. СРБ - резко положительный, гипергаммаглобулинемия. А анализах мочи патологических изменений не обнаружено.  Ан. мокроты: эритроциты 60-80 в п-зр,  эозинофилы 20-30 в п/зр, альвеолярные макрофаги – большое кол. МБТ, грибы не найдены. Спирография - выраженные нарушения вентиляционной способности легких смешанного типа. Бронхоскопия. 2- сторонний поверхностный эндобронхит (1 ст). Микрофлора не выделена.  В анализе кала без особенностей, гельминты и яйца глистов не обнаружены.  Анализы крови на p-ANCA, биопсия легочной не сделаны по объективным причинам.  Следует отметить, что только у 48–66 % пациентов в периферической крови определяются p-ANCA. Данные КТ при поступлении (см. рисунки). Наличие аллергии , аллергического ринита, бронхиальной астмы, гиперэозинофилии, лёгочных инфильтратов,  выпота в плевральной  полости, перикарде, лейкоцитоза, повышения СОЭ, повышения уровня СРБ, выраженной слабости, лихорадки позволили высказать предположение о синдроме Черджа-Стросса. Указанные признаки соответствовали второй фазе болезни.

В результате лечения исчезли признаки бронхиальной обструкции, уменьшилась эозинофилия периферической крови до 6 %, СОЭ снизилась до 22 мм/час. По данным КТ органов грудной клетки (будут представлены позже) отмечена  выраженная положительная динамика в лёгких.  Выпот в плевральной полости и перикарде не определялся. Увеличение лимфатических узлов средостения сохраняется. В удовлетворительном состоянии больной выписан под наблюдение ревматолога. Приведённое наблюдение с оценкой течения заболевания указывает на типичное течение синдрома Черджа–Стросса, несмотря на отсутствие морфологического подтверждения. Специалистов сайта по КТ очень прошу дать характеристику выявленных изменений в ОГК. Пока все. Nikolas.

Приложения: 
dscf3054.jpgdscf3056.jpgdscf3058.jpgdscf3060.jpgdscf3062.jpgdscf3065.jpgdscf3068.jpgdscf3074.jpgdscf3075.jpgdscf3081.jpgdscf3083.jpgdscf3087.jpg
Петрович аватар
Не на сайте
Был на сайте: 7 лет 5 месяцев назад
Зарегистрирован: 22.03.2009 - 01:13
Публикации: 3908

<< В результате лечения исчезли признаки бронхиальной обструкции…. По данным КТ органов грудной клетки (будут представлены позже) отмечена выраженная положительная динамика в лёгких. >>   —  В лёгких рассосалось ВСЁ? С обеих сторон? Средостение и диафрагма вернулись на место?

 Очень хотелось бы увидеть любые снимки в конце лечения. Спасибо.

Неоднозначно всё

Катенёв Валентин Львович аватар
Не на сайте
Был на сайте: 7 лет 3 месяцев назад
Зарегистрирован: 22.03.2008 - 22:15
Публикации: 54876

Да, интересно, что скажут коллеги КТ-ологи!

Любовь С. аватар
Не на сайте
Был на сайте: 9 лет 8 месяцев назад
Зарегистрирован: 23.12.2010 - 01:58
Публикации: 2324

Достаточно неспецифичная картина: билатеральное (больше справа) снижение пневматизации,  от зон "матового стекла" до консолидации с "воздушной бронхограммой", утолщение стенок бронхов, утолщение парасептального интерстиция, гидроторакс, немного жидкость в перикарде видна. Об узелковых изменениям по картинкам судить невозможно. Справа паракостально не то фиброз плевры, не то осумкованный гидроторакс - сказать трудно. Увеличения лимфоузлов средостения не разглядела, может, не в срезе или проблемно на преимущественно легочном окне увидеть.

Как раз исчезновение гидроторакса интересует меньше всего. В данном случае доказательством хронической консолидации, а не острой, будет сохранение её при адекватном лечении более месяца.

Для меня картина, более характерная (с учетом клиники, анализов) для хронической эозинофильной пневмонии.

O. Persiva Morenza "Диф.диагностика хронических легочных консолидаций":

 

Хроническая эозинофильная пневмония  (CЕP)
Хроническая эозинофильная пневмония является идиопатическим состоянием, характеризующимся хронической
инфильтрацией легких эозинофилами. 
Это обычно связано с увеличением числа эозинофилов в периферической крови, но это не является абсолютом. Эозинофилия периферической крови, как правило, легкой или умеренной степени, но иногда высокая. Увеличение сывороточного IgE наблюдается у 2/3  пациентов. Скорость оседания эритроцитов, как правило, повышена.  
Заболеваемость выше у женщин, с пиком в 5-м десятилетии; начало с потерей веса, кашлем  и одышкой. Связь с астмой достигает 50% случаев. 
 
Радиологические признаки:
 
В более чем 50% случаев рентгенограмма грудной клетки показывает несегментарную легочную консолидацию, ограниченную внешней третью легких, «фотографический негатив отека легких ". 
 
Это характерное проявление отображается  на КТ, где практически у каждого пациента наблюдаются двусторонние консолидации и до 85% из них являются периферическими. Эта характерная картина, связанная с эозинофилией крови, достаточна для уверенной постановки диагноза. 
 
Описаны мигрирующие, летучие консолидации, сходные с криптогенной организованной пневмонией, но дифференцировка при наличии эозинофилии не представляет трудностей. При отсутствии эозинофилии необходима биопсия легких для определения эозинофильной инфильтрации паренхимы. 
 
Менее распространенные симптомы включают: 
а) матовое стекло, 
б) узловые изменения
в) ретикулярные изменения 
Эти изменения более редки и преобладают на более поздних стадиях CEP. При проведении КТ позднее 2 месяцев от начального появления симптомов, на сканах демонстрируются линейные изменения в виде помутнения  параллельно плевральной поверхности. Плевральный выпот наблюдается менее чем в 10% случаев. 
 
Диф.диагноз: Churg-Стросса, другое заболевание эозинофильных изменений легких, может быть представлено в виде 
однородной периферической легочной консолидации с хроническим течением, но при Churg-Стросс синдроме консолидация имеет тенденцию к очаговому распределению  (отличие - несегментарно при CEP) и часто ассоциируется с центродолевой  консолидацией с матовым стеклом.

"Предоставляя весь смысл и совершенство в распоряжение одного только Бога, вы избавляете себя от бездны хлопот." Джон Уитборн.

Nikolas аватар
Не на сайте
Был на сайте: 1 месяц 2 недели назад
Зарегистрирован: 21.12.2010 - 20:37
Публикации: 4560

"исчезли КЛИНИЧЕСКИЕ признаки бронхиальной обструкции"

Любовь С. аватар
Не на сайте
Был на сайте: 9 лет 8 месяцев назад
Зарегистрирован: 23.12.2010 - 01:58
Публикации: 2324

федя, Вам сюда)

"Предоставляя весь смысл и совершенство в распоряжение одного только Бога, вы избавляете себя от бездны хлопот." Джон Уитборн.

Любовь С. аватар
Не на сайте
Был на сайте: 9 лет 8 месяцев назад
Зарегистрирован: 23.12.2010 - 01:58
Публикации: 2324

Кори? Андрей Юрьевич? Сергей Николаевич? И тишина. федя молчит, автора моё мнение не впечатлило... Но других пока нет).

"Предоставляя весь смысл и совершенство в распоряжение одного только Бога, вы избавляете себя от бездны хлопот." Джон Уитборн.

Nikolas аватар
Не на сайте
Был на сайте: 1 месяц 2 недели назад
Зарегистрирован: 21.12.2010 - 20:37
Публикации: 4560

и даже очень.  Очень Вам благодарен за высококвалифицированный протокол описания и информацию.  С уважением, Nikolas 

Катенёв Валентин Львович аватар
Не на сайте
Был на сайте: 7 лет 3 месяцев назад
Зарегистрирован: 22.03.2008 - 22:15
Публикации: 54876

Nikolas wrote:

Сегодня мне сообщили. У больного установлен окончательно Синдром Черджа- Стросс (СЧС). Краткое сообщение об этой болезни. Относится к группе заболеваний,  "легочные эозинофилии". Изменения на рентгенограммах  и КТ не являются специфическими для СЧС. Инфильтраты в лёгких различной протяженности и плотности, часто мигрирующие, обнаруживаются у 2/3 больных. Реже наблюдаются узелковые центрилобулярные изменения, утолщения стенок бронхов, внутригрудная лимфаденопатия, плевральный и перикардиальный выпот ( последние два признака отмечены на КТ у нашего больного). Ретроспективный пересмотр рентгенограмм позволяет это заметить. С уважением ко всем Вам за Ваше участие в диагностике заболевания. Nikolas.

Интересный диагноз с иноземным запахом...

Катенёв Валентин Львович аватар
Не на сайте
Был на сайте: 7 лет 3 месяцев назад
Зарегистрирован: 22.03.2008 - 22:15
Публикации: 54876

 

Синдром Чардж-Стросса
Классификационные критерии клинических манифестаций синдрома Чардж-Стросса (СЧС) включают шесть основных проявлений: астма, эозинофилия > 10%, моно или полинейропатия, летучие легочные инфильтраты, синуситы, экстраваскулярная тканевая эозинофилия (American College of Rheumatology, 1990). Если у больного выявляются четыре из указанных шести признаков, то диагностическая чувствительность превышает 85%, специфичность 99,7%. Центральное место занимает бронхиальная астма, которая позволяет врачу ориентироваться среди других проявлений системных васкулитов.
Морфология
Патологические изменения в легочной ткани исследованы недостаточно. Cottin и Cordier приводят немногочисленные данные по патологическим изменениям в легочной паренхиме. Эти изменения носят распространенный и вариабельный характер; наиболее выраженными из них являются некротические изменения и образование каверн. Во многих сосудах выявляются тромбы и участки кровоизлияний, на более поздних стадиях обнаруживают разрастание рубцовой соединительной ткани. Гистологические изменения при СЧС характеризуются сочетанием некротизирующейся гранулемы, васкулита мелких и средних сосудов, а также развитием эозинофильной пневмонии. У больных, которых не лечили стероидными препаратами, выявляются обширные эозинофильные инфильтраты, преимущественно интерстициальные и периваскулярные.
Некротизирующаяся воспалительная гранулема расположена экстраваскулярно, в этот патологический процесс сосуды вовлекаются редко. Гранулема характеризуется появлением некротической зоны, которая окружена эпителиодными гистиоцитами. Для этого типа гранулем типично значительное содержание эозинофилов и кристаллов ШаркоЛейдена. В пестрой морфологической картине наблюдаются также саркоидподобные гранулемы.
Другим определяющим признаком первичного системного васкулита при СЧС являются морфологические изменения в стенках сосудов. В процесс вовлекаются мелкие артерии и вены, стенки сосудов инфильтрированы клетками, дифференциальнодиагностическое значение имеет появление эозинофилов и гигантских клеток. Воспалительная реакция находится на различных этапах своего развития, поэтому, помимо острофазовых реакций, наблюдаются их исходы в виде рубцовых склеротических изменений в сосудах и легочной ткани.
Морфологическая картина дополняется изменениями со стороны бронхов и бронхиол, которые характерны для бронхиальной астмы. Стенка бронхов инфильтрирована эозинофилами, слизистая отечна, гладкие мышцы находятся в состоянии гипертрофии, налицо метаплазия бокаловидных клеток, происходит значительное утолщение базальной мембраны, формируются слизистые пробки в просвете терминального отдела дыхательных путей. Интерстициальная ткань легких, так же как и интеральвеолярное пространство, инфильтрирована лимфоцитами, плазматическими клетками и гистиоцитами.
Трансбронхиальная биопсия обычно позволяет получить достаточный материал для проведения гистологического исследования, и только в редких случаях рекомендуется проведение открытой биопсии легких. Типичными морфологическими чертами васкулита является выраженная инфильтрация эозинофилами стенки мелких сосудов. Важный признак первичного системного васкулита обнаружение некротизирующей гранулемы. Эти изменения могут быть обнаружены при исследовании кожи и подкожной клетчатки.
Дифференциальная диагностика СЧС проводится с гранулематозом Вегенера, гиперэозинофильным синдромом, узелковым полиартериитом, микроскопическим полиангиитом; она не представляет трудностей, если брать за основу клинические проявления первичного системного васкулита. Однако морфологическое различие представляет определенные трудности при разграничении близких по своим проявлениям васкулитов. Наибольшую диагностическую значимость имеют некротизирующий васкулит, эозинофильная пневмония, экстраваскулярный гранулематоз, которые патогномоничны для СЧС. Так, при гранулематозе Вегенера не происходит интенсивной инфильтрации эозинофилами, в то время как образование асептической некротической полости более характерно для ранних его стадий, а при СЧС возможно лишь на далеко зашедших стадиях болезни. Экстраваскулярная гранулема не встречается при узелковом полиартериите, и поражение легких не является ведущим проявлением при этом васкулите. Более сложна дифференциальная диагностика между хронической эозинофильной пневмонией и СЧС, так как инфильтрация легких эозинофилами морфологически очень близка. Задача усложняется также и тем, что при хронической эозинофильной пневмонии могут быть обнаружены проявления умеренно выраженного васкулита. Однако некротизирующий гранулематоз встречается только при СЧС.
Клиническая картина
Lanham et al. описали три фазы клинического течения СЧС. На естественное течение болезни могут оказывать влияние многие факторы, особенно медикаментозная терапия. В типичных случаях болезнь начинается с проявлений аллергического ринита, который часто осложняется полипозными разрастаниями слизистой носа и присоединением синуситов и бронхиальной астмы. Первая фаза заболевания может продолжаться несколько лет, и основным клиническим синдромом является бронхиальная астма. Вторая фаза характеризуется повышенным содержанием эозинофилов в периферической крови и выраженной их миграцией в ткани. На этом этапе формируется хроническая эозинофильная инфильтрация легких и желудочнокишечного тракта. Третья фаза заболевания характеризуется частыми и тяжело протекающими приступами бронхиальной астмы и появлением признаков системного васкулита. Временной интервал между возникновением симптомов бронхиальной астмы и васкулита составляет в среднем три года (в литературе описан случай, когда он составил 50 лет). Считается, что чем короче этот интервал, тем неблагоприятней прогноз течения СЧС. Болезнь может проявиться в любом возрасте, но чаще признаки системного васкулита приходятся на четвертую или пятую декаду жизни. Женщины болеют в три раза чаще, чем мужчины. По данным эпидемиологических исследований, в клинической практике чаще встречаются больные с гранулематозом Вегенера, нежели больные с СЧС.
Бронхиальная астма один из основных синдромов этого первичного системного васкулита; как правило, ее клинические проявления приходятся на старшую возрастную группу. Течение болезни сразу становится тяжелым, что вынуждает врачей в ранние сроки назначать системные кортикостероидные препараты. Обострения болезни бывают частыми, плохо контролируются приемом умеренных доз стероидов, врачи вынуждены их постоянно наращивать. Ремиссии сокращаются, интенсивность и тяжесть клинических проявлений бронхиальной астмы нарастают. Подобные формы бронхиальной астмы трактуются, как тяжелые (злокачественные). С появлением признаков системного васкулита степень тяжести бронхиальной астмы может уменьшиться; генерализации процесса предшествует период длительной лихорадки, выраженной интоксикации при снижении массы тела.
Другая клиническая особенность течения бронхиальной астмы появление легочных инфильтратов. Они регистрируются у двух третей больных, что делает диагноз синдрома ЧарджСтросса более вероятным. Инфильтраты в легких могут развиваться на разных этапах болезни: в период появления первых приступов удушья или уже в период развернутой клинической картины системного васкулита. В диагностике инфильтратов решающее значение имеют рентгенологические методы обследования органов грудной клетки. Инфильтраты носят транзиторный характер, могут распространиться на всю долю легкого, но чаще локализованы в нескольких сегментах. Они быстро подвергаются обратному развитию при назначении глюкокортикостероидных препаратов, что может быть использовано для постановки диагноза СЧС. Форма и локализация инфильтратов могут быть самыми разнообразными; в тех случаях, когда они симметрично расположены по периферии, возникает необходимость дифференцировать их с хронической эозинофильной пневмонией. Узловатые и билатерально расположенные инфильтраты, в отличие от гранулематоза Вегенера, редко осложняются формированием асептической полости. Инфильтраты могут быть диффузными, распространяясь по интерстициальной ткани легких; увеличение лимфатических узлов наблюдается редко.
С внедрением в клиническую практику компьютерной томографии значительно расширились возможности в диагностике легочных васкулитов. Она позволила визуализировать паренхиматозные инфильтраты, часто схожие с феноменом ォматового стеклаサ, расположенные преимущественно по периферии. С помощью компьютерной томографии хорошо выявляются изменения со стороны бронхов, стенки которых утолщены; в отдельных местах они дилатированы вплоть до образования бронхоэктазов. У некоторых больных выявляются узловые образования в легочной ткани. Внимание привлекают изменения со стороны сосудов, которые лучше выявляются при проведении компьютерной томографии высокого разрешения (они выглядят расширенными, с остроконечными окончаниями). Эти радиологические находки коррелируют с эозинофильной инфильтрацией стенок сосудов и ее распространением на межуточную ткань.
Плевральные изменения при СЧС встречаются относительно часто. Плевральный экссудат содержит в большом количестве эозинофилы, что характерно для этой формы легочного васкулита. В подобных клинических ситуациях необходимо провести дифференциальный диагноз с эозинофильными плевритами другой этиологии: паразитарные заболевания (парагонимоз), синдром Леффлера, разрыв пищевода, туберкулез и другие. Появление плеврального выпота у больных с СЧС свидетельствует о распространении процесса, больные часто жалуются на усиление одышки, что обусловлено нарастающей дыхательной недостаточностью.
Аллергический ринит встречается более чем у 70% больных с СЧС. Клиническая картина болезни часто начинается с проявлений ринита, который осложняется развитием в слизистой носа полипов, инфильтрированных эозинофилами и эозинофильными синуситами. Однако в отличие от гранулематоза Вегенера, когда некротические процессы в септальной части носа приводят к ее перфорации и развитию ォседловидного носаサ, при СЧС подобного рода процессы, скорее, исключения.
Клиническая картина системных васкулитов характеризуется большим полиморфизмом проявлений. При СЧС отмечается особая фаза заболевания с признаками системного васкулита. Обычно к проявлениям бронхиальной астмы и аллергического ринита присоединяются такие общие признаки, как лихорадка, миалгии, артралгии, происходит снижение веса. В целом клиническая картина СЧС схожа с проявлениями узелкового полиартериита, однако признаков поражения почек не наблюдается. Lanham et al. суммировали литературные данные, в которых сообщалось о причинах смерти при СЧС.
На первое место вышли осложнения со стороны сердца (нарастающая сердечная недостаточность), геморрагический инсульт и перфорации в желудочнокишечном тракте, в то время как астматическое состояние и другие проявления дыхательной недостаточности не доминировали в клинической картине на этапе развернутых проявлений системного васкулита. В той группе больных, у которых выявлялись признаки почечной недостаточности, возникала необходимость проведения дифференциальной диагностики с узелковым полиартериитом.
Если в дебюте заболевания в клинической картине СЧС доминируют проявления аллергического ринита и бронхиальной астмы, то при осложненных формах заболевания на первое место выходят признаки застойной сердечной недостаточности или же мозговой инсульт. Эозинофильные гранулемы могут локализоваться в миокарде, что приводит к нарушению сократительной функции миокарда. Поражение коронарных сосудов, которое наступает вследствие воспалительного системного процесса в сосудах, может явиться причиной внезапной смерти у этой категории больных. На поражение миокарда было указано уже в серии наблюдений, представленных Churg & Strauss. Сердечная деятельность может улучшаться в период успешного проведения терапии глюкокортикостероидами и циклофосфамидом. В литературе описаны больные, которым были успешно проведены трансплантации сердца в связи с тяжелым поражением миокарда при СЧС. Рекомендуется проводить регулярные электро и эхокардиографические исследования у больных с васкулитами. У них часто выявляются признаки митральной регургитации, прогностическое значение имеет выявление диффузного фиброзного процесса в миокарде. Эта диагностическая информация необходима не только для констатации факта, что миокард вовлечен в воспалительный процесс, но она играет важную роль в выборе адекватных методов лечения и в составлении индивидуального прогноза течения заболевания. В воспалительный процесс может вовлекаться перикард, что с поражением плевры и накоплением в ее полости экссудата создает картину полисерозита. Эндо кард редко вовлекается в воспалительный процесс, однако в литературе описаны клинические наблюдения, в которых сообщается об эндокардиальном фиброзе.
Поражение нервной системы наблюдается более чем у 60% всех больных с СЧС. На первое место выходит периферическая нейропатия: мононейропатия, дистальная полинейропатия, редко наблюдается асимметричная полинейропатия. В основе этих проявлений лежит инфильтрация эпиневральных сосудов лимфоцитами, иммуноглобулинами, включая и IgE, а также компонентами комплемента, иммунными комплексами. Иммунопатологические процессы в эпиневральных сосудах поддерживают концепцию системного васкулита. Реже встречаются радикулопатии, нейропатия зрительного нерва. Приблизительно у каждого четвертого больного появляются признаки поражения центральной нервной системы: от расстройств в эмоциональной сфере до геморрагического инсульта, инфаркта мозга, эпилептических явлений. Необходимо указать на возможность развития неблагоприятных реакций со стороны центральной нервной системы в ответ на проводимую терапию кортикостероидами или цитостатиками, которые порой бывает достаточно сложно отличить от симптомов васкулита.
Поражение почек при СЧС не часты, и если таковые происходят, то они носят, как правило, не выраженный характер. Так, при узелковом полиартериите некротический гломерулонефрит с сегментарным тромбозом носит доминирующий характер, и от этих проявлений зависит прогноз больных. При СЧС прогностическое значение имеет поражение сердца и сосудов головного мозга, но не почек. Однако и при этой форме васкулита наблюдается протеинурия, гематурия, повышение системного артериального давления и начальные признаки почечной недостаточности. Специально этот вопрос исследовали Guillevin et al., они производили прижизненную биопсию почек, и в высоком проценте случаев обнаруживался сегментальный гломерулонефрит, который коррелировал с обнаружением перинуклеарных антител (PANCA). При поражении почек редко развивается эозинофильный интерстициальный инфильтрат, гранулема и васкулит почечных сосудов.
Поражение желудочнокишечного тракта относительно частая клиническая проблема у больных с СЧС. Васкулит и эозинофильный инфильтрат могут привести к ишемии и в последующем перфорации стенки желудка или кишечника. Необходимо вновь подчеркнуть возможное негативное влияние терапии глюкокортикостероидами, прием которых может стать причиной образования острой язвы желудка и последующего кровотечения. Эти осложнения могут оказаться непосредственной причиной смерти больных с васкулитами.
Кожные поражения при СЧС являются достаточно частыми и могут проявить себя еще в период дебюта заболевания. Наиболее частое кожное проявление при этой форме васкулита появление болезненной пурпуры с преимущественной локализацией на нижних конечностях. Подкожные узелки преимущественно локализуются на голове и руках. Однако следует подчеркнуть, что специфических изменений со стороны кожных покровов у этой категории больных не наблюдается. Полиморфизм кожных симптомов может проявиться инфарктом кожи, буллезными, макулярными, папулезными или уртикарными высыпаниями. Многообразные формы поражений кожных покровов приходятся на фазу развернутых клинических проявлений системного васкулита.
Полиартралгии и артриты наблюдаются приблизительно у каждого второго больного с СЧС, особенно в период разгара системного васкулита. Полиартралгии часто сопровождаются миалгиями. Если миалгия относительно частое проявление системного васкулита, то полимиозит практически не наблюдается у больных СЧС. В диагностике заболевания придается значение биопсии мышц, так как она может дать достаточно объективную информацию о системном васкулите.
Офтальмологические осложнения при этой форме васкулита встречаются редко. В литературе приводятся отдельные наблюдения за больными СЧС, у которых вследствие ишемии зрительного нерва развилась слепота.
К редким локализациям гранулемы относится урогенитальный тракт и простата, что явилось причиной развития анурии и обструктивной уропатии. У отдельных больных описаны случаи аутоиммунной гемолитической анемии и случаи тромбозов, тромбоэмболий.
В педиатрической практике эта форма системного васкулита встречается чрезвычайно редко. Описаны отдельные наблюдения развития СЧС у женщин в период беременности; назначенная терапия кортикостероидными препаратами обеспечила стойкую ремиссию и успешное родоразрешение. Однако описаны наблюдения, когда приходилось проводить искусственное родоразрешение изза гибели плода.
Лабораторная диагностика
Эозинофилия периферической крови относится к числу эссенциальных признаков СЧС. Число эозинофилов превышает 1,5х109/л (в относительных величинах >10%), границы процентного содержания эозинофилов колеблются от 11 до 77%. Высокое содержание эозинофилов и клиническая картина приступов бронхиальной астмы делают диагноз СЧС более чем вероятным. С назначением глюкокортикостероидов содержание эозинофилов в периферической крови очень быстро снижается до нормального уровня, и их повышение может рассматриваться, как признак начинающегося обострения системного васкулита. Эозинофилия выявляется также при исследовании бронхоальвеолярного лаважа. В процессе терапии глюкокортикостероидами происходит, как уже говорилось выше, быстрое снижение числа эозинофилов в периферической крови, так же как и регрессия эозинофильной пневмонии, однако этот тип клеток продолжает сохраняться в альвеолярной порции лаважной жидкости. Высокое процентное содержание эозинофилов обнаруживают и при исследовании плеврального экссудата.
Обращает на себя внимание высокое содержание общего IgE, однако специфичность этого показателя для СЧС невысока.
Особое внимание в лабораторной диагностике васкулитов придается обнаружению антител ANCA. Повышенное содержание антител выявляется более чем у 67% больных. Необходимо подчеркнуть, что антинейтрофильные цитоплазматические аутоантитела (ANCA) являются классом антител, направленных против антигенов цитоплазмы полиморфонуклеарных нейтрофилов, главным образом протеиназы-3 (ПР3) и миелопероксидазы (МПО). При проведении теста с непрямой иммунофлюоресценцией различают цитоплазматические (CANCA) и перинуклеарные антитела (PANCA). При СЧС наиболее характерным является обнаружение перинуклеарных антител (PANCA) c антимиелопероксидазной активностью, реже выявляются цитоплазматические антитела (CANCA). У больных с гранулематозом Вегенера чаще выявляются повышенные титры антител с антипротеазной специфичностью (ПР3); при микроскопическом полиангиите чаще устанавливают повышенные концентрации перинуклеарных антител (PANCA); не выявляются они у больных с узелковым полиартериитом. Серологической диагностике придается большое значение не только в разделении клинических форм системных васкулитов, но и в оценке эффективности проводимой терапии.
Из других лабораторных тестов значение придают исследованию реакции оседания эритроцитов, которая у этой категории больных ускоряется, что в сочетании с гиперэозинофилией и повышенным содержанием иммуноглобулина класса Е имеет диагностическое значение. Редко выявляется анемия, могут определяться иммунные комплексы и ревматоидный фактор.
Принципиальное значение в лабораторной диагностике СЧС придается установлению факта гиперэозинофилии, повышению уровня общего IgE и перинуклеарных антител с антимиелопероксидазной активностью (PANCA).
Диагностика
Lanham et al. разработали диагностические критерии СЧС, которые включают бронхиальную астму, гиперэозинофилию > 10% и системные проявления васкулита, когда в патологический процесс экстрапульмонально вовлечено два или более органа. Эти критерии в последние годы были дополнены положительными тестами на содержание антител ANCA. Однако диагностика при кажущейся ясности синдрома остается затруднительной. Churg & Strauss привели наблюдения за больными без терапии глюкокортикостероидами, что позволило им описать естественное течение болезни, когда ее клинические проявления не были модифицированы под воздействием терапии гормональными препаратами. В современной клинической практике больные бронхиальной астмой получают уже на ранних этапах болезни ингаляционные кортикостероиды, а в случаях тяжелого течения к этой терапии добавляется и прием системных гормональных препаратов. Подобная тактика ведения больных оказывает существенное влияние на проявления СЧС. В этой ситуации особое внимание должно быть уделено больным с тяжелым течением бронхиальной астмы, с ее частыми рецидивами и нестабильным течением болезни. Синдром отмены глюкокортикостероидов может провоцировать трансформацию болезни в фазу системных проявлений васкулита и снижение эффективности гормональной терапии, наступившей вследствие развившейся к ним резистентности. В клинической практике описаны сочетанные формы васкулитов, что также усложняет диагностику СЧС. Так, дифференциальный диагноз затруднен у больных с гиперэозинофилией другой этиологии.

Катенёв Валентин Львович аватар
Не на сайте
Был на сайте: 7 лет 3 месяцев назад
Зарегистрирован: 22.03.2008 - 22:15
Публикации: 54876
Катенёв Валентин Львович аватар
Не на сайте
Был на сайте: 7 лет 3 месяцев назад
Зарегистрирован: 22.03.2008 - 22:15
Публикации: 54876

Вот ещё...

Дженнифер П. Mayberry, Стивен Л. Примак, Нестор Л. Мюллер

41.churg-stross_sindrom.jpg
41.churg-stross_sindrom.jpg239.12 кб
42.churg-stross_sindrom.jpg
42.churg-stross_sindrom.jpg359.53 кб
koriatus аватар
Не на сайте
Был на сайте: 3 года 2 месяцев назад
Зарегистрирован: 14.06.2010 - 01:49
Публикации: 452

Существует очень хороший материал по диф.диагностике легочных изменений при обнаруженной эозинофилии в крови.

http://radiographics.rsna.org/content/27/3/617.full.pdf+html 

 

Считается что для постановки диагноза синдрома Чардж- Стросса надо чтобы выполнялось 4 из 6 нижеперечисленных признаков:

1. Астма (у нас +) ;   в 50%  будет и при хронической эозинофильной пневмонии

2. Эозинофилия >  10 % (+); аналогично   и при ХЭП

3. Нейропатия (-) и другие системные поражения (кожа, ССС, ЖКТ) ;  при ХЭП нету.    Все таки в этом случае есть и именно он позволяет поставить правильный диагноз: это жидкость в плевральнйо полости и перикарде.

4. Изменения в ППН (+); однако данные измнения  могут быть и на фоне аллергического ринита при астме. (поэтому диф. критерий нечеткий)

5. Мигрирующий характер инфильтратов по КТ. Тут надо остановится поподробнее. Мигрирующий характера может быть как и при СЧС так и при ХЭП. Важно именно характер инфилтрации. В случае с СЧС инфильтрация в основном имеет дольковое распределение  - что это такое: посмотрите с ссылки что я выше привел картинки в конце статью - то есть выглядит как небольшие очаговоподобные инфильтраты. Также для СЧС характерна очаговость. В случае же ХЭП в начальные периоды преобладают именно консолидации, без четких контуров с вовлечением различных сегментов (хаотично). Мигрирующий характер консолидации также встречается часто.

То есть основным диф.диагностическим критерием по КТ между СЧС и ХЭП будет именно ХАРАКТЕР ИНФИЛЬТРАЦИИ. В нашем случае - характер больше в пользу ХЭП (она более массивная , явных признаков очаговости процесса не видно)

6. Биопсия: наличие эктраваскулярно-расположенных эозинофилов (не проводилась). Тут тоже надо сказать (как выше писал Валентин Львович),  биопсия часто не дает явно дифференцировать СЧС и ХЭП - и там и там выявлятся эктраваскулярно расположенные эозинофилы. При ХЭП часто есть изменения по типу вторичного васкулита, так что только выяление некротизирующей гранулемы позволяет явно отдифференцировать СЧС от ХЭП.

Так что я бы не торопился ставить явно без вопросов диагноз СЧС. Согласен с Любовь С., что  радиологическая картина (учитывая наличие массивных консолидаций, уже с признаками фиброзироваия) похожа на ХЭП. (но учитывая наличия жидкости в плевральнйо полости и в перикарде - все таки СЧС)

То есть для достоверной постановки  диагноза СЧС надо чтобы была системность поражения или характерная биопсия (и то, не сильно доверяю тому что напишут патологоанатомы - так как выше уже было сказано - васкулит может быть и при ХЭП). 

А в плане лечения, существуют ли кардинальные различия в лечении СЧС и ХЭП? или все лечим гормонами  и точный диагноз в данном случае непринципиальный? (ну, предположим что не было бы плеврита и перикардита)

koriatus аватар
Не на сайте
Был на сайте: 3 года 2 месяцев назад
Зарегистрирован: 14.06.2010 - 01:49
Публикации: 452

дифференциально-диагностическая табличка эозинофильных заболеваний:

Приложения: 
eosin.png
koriatus аватар
Не на сайте
Был на сайте: 3 года 2 месяцев назад
Зарегистрирован: 14.06.2010 - 01:49
Публикации: 452

Катенёв Валентин Львович wrote:

 

Из архива AFIP

 

для данных случаев хаврактерна именно очаговоподобность инфильтратов

koriatus аватар
Не на сайте
Был на сайте: 3 года 2 месяцев назад
Зарегистрирован: 14.06.2010 - 01:49
Публикации: 452

Сорри , написал пост - потом еще раз все пересмотрел - больше в пользу СЧС. Все решил гидроторакс и гидроперикард :)) А вот критерий характера инфильтрации к сожилению не такой четкий. Но при СЧС все таки очаговоподобность больше. Если бы не было системности поражения - то ставил бы все таки ХЭП.

Катенёв Валентин Львович аватар
Не на сайте
Был на сайте: 7 лет 3 месяцев назад
Зарегистрирован: 22.03.2008 - 22:15
Публикации: 54876

Спасибо за разъяснения koriatus.

Nikolas аватар
Не на сайте
Был на сайте: 1 месяц 2 недели назад
Зарегистрирован: 21.12.2010 - 20:37
Публикации: 4560

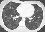
Как мне сообщили сегодня, прибавился признак 5. Мигрирующий характер инфильтратов.

Bob аватар
Bob
Не на сайте
Был на сайте: 12 лет 1 месяц назад
Зарегистрирован: 20.08.2011 - 20:06
Публикации: 218

А кал на я/глист стоит повторить

Nikolas аватар
Не на сайте
Был на сайте: 1 месяц 2 недели назад
Зарегистрирован: 21.12.2010 - 20:37
Публикации: 4560

много раз в самых лучших лабораториях.

Nikolas аватар
Не на сайте
Был на сайте: 1 месяц 2 недели назад
Зарегистрирован: 21.12.2010 - 20:37
Публикации: 4560

Показываю "признак 5. Мигрирующий характер инфильтратов" (# 42). Пациенту проводится лечение кортикостероидами. Состояние удовлетворительное. При поступлении материалов исследования буду  Вас информировать. С уважением ко всем участникам обсуждения клинического наблюдения, Nikolas

Приложения: 
28.03.2012.jpg
Петрович аватар
Не на сайте
Был на сайте: 7 лет 5 месяцев назад
Зарегистрирован: 22.03.2009 - 01:13
Публикации: 3908

Очень и весьма…

Неоднозначно всё

Леонид аватар
Не на сайте
Был на сайте: 9 лет 2 месяцев назад
Зарегистрирован: 13.01.2011 - 19:33
Публикации: 445

Почему по рентгеновскому изображению выставлен прогноз с намёком на exitus letalis. Дай Бог больному долгих лет жизни.