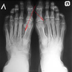
Что за тени указанные стрелками?

Пол пациента: 
Тип патологии: 
Область исследования: 
Методы исследования: 

Пожилой мужчина пришёл на исследование кистей и стоп. Меня заинтересовали продольные нитевидные тени, указанные красными стрелками. Моё мнение что это склеротические изменения артерий.

  • https://radiomed.ru/sites/default/files/styles/case_slider_image/public/user/712/sl274316.jpg?itok=K6Mft6xr
  • https://radiomed.ru/sites/default/files/styles/case_slider_image/public/user/712/sl274317.jpg?itok=7dp-uZl7
ID:19165
Катенёв Валентин Львович аватар
Не на сайте
Был на сайте: 7 лет 2 месяцев назад
Зарегистрирован: 22.03.2008 - 22:15
Публикации: 54876

Обызвествления стенок сосудов. Сахарным диабетом пациент не болеет?

Глазков Игорь Артурович аватар
Не на сайте
Был на сайте: 10 месяцев 3 недели назад
Зарегистрирован: 19.12.2008 - 20:41
Публикации: 1597

Нет не болеет.

Прийди к Себе

Андрей Юрьевич аватар
Не на сайте
Был на сайте: 4 дня 16 минут назад
Зарегистрирован: 16.11.2008 - 22:16
Публикации: 18101

Глазков Игорь Артурович wrote:

Нет не болеет.

Значит болеет. Картина характерна для артериосклероза Менкеберга. Хотя (если не подтвердится) артериосклероз может быть и другой этиологии

Андрей Юрьевич

Наталия Васильевна аватар
Не на сайте
Был на сайте: 5 лет 10 месяцев назад
Зарегистрирован: 25.09.2011 - 09:02
Публикации: 754

Действительно, сосуды, и полностью "за" с Валентином Львовичем-практически каждый день имеем дело с диабетическими стопами, а если сделать поясничный отдел, то тень частично склерозированной аорты 100% будет.

Дмитрий К аватар
Не на сайте
Был на сайте: 6 лет 6 месяцев назад
Зарегистрирован: 27.10.2011 - 10:17
Публикации: 120

[/quote]

Значит болеет. Картина характерна для артериосклероза Менкеберга. Хотя (если не подтвердится) артериосклероз может быть и другой этиологии

[/quote]

А почему артериосклероз? Как отдифференцировать по снимку какой слой сосуда обызвествился?

Андрей Юрьевич аватар
Не на сайте
Был на сайте: 4 дня 16 минут назад
Зарегистрирован: 16.11.2008 - 22:16
Публикации: 18101

Дмитрий К wrote:

Значит болеет. Картина характерна для артериосклероза Менкеберга. Хотя (если не подтвердится) артериосклероз может быть и другой этиологии

[/quote]

А почему артериосклероз? Как отдифференцировать по снимку какой слой сосуда обызвествился?

[/quote]

Мы же не первопроходцы. Это уже определили до нас.

Андрей Юрьевич

Катенёв Валентин Львович аватар
Не на сайте
Был на сайте: 7 лет 2 месяцев назад
Зарегистрирован: 22.03.2008 - 22:15
Публикации: 54876

 

Артериосклероз Менкеберга (кальцифицирующий склероз средней сосудистой оболочки) развивается у пациентов старше 50 лет. Возрастная дегенерация средней сосудистой оболочки происходит с фокусами кальцификации и даже формированием костной ткани в пределах артериальной стенки. Участки артерии могут стать твердой кальцифицированной трубкой без сужения просвета.

Диагноз обычно становится очевидным при простом рентгенологическом исследовании. Клиническое значение этого заболевания заключается только в том, что артерия не способна реагировать изменением просвета, что приводит к выраженному, но ложному повышению цифр АД при его изменении.

----------------------------

Рис. а). Рентгенограмма голеней больного со склерозом Менкеберга на фоне сахарного диабета: стрелками указаны кальцифицированные большеберцовые артерии.
 
Рис. б). Рентгенограмма стоп больного со склерозом Менкеберга на фоне сахарного диабета: стрелками указаны кальцифицированные артерии тыла стопы.
Приложения: 
1.0200329076.jpg2.0222764490.jpg1051517159-8.jpg