Нужен "мозговой штурм". Что это?

Пол пациента: 
Тип патологии: 
Методы исследования: 

Нужен "мозговой штурм".  Что это?

Томограммы.

  • https://radiomed.ru/sites/default/files/styles/case_slider_image/public/user/12/2.pa120059.jpg?itok=YAwGMCOi
  • https://radiomed.ru/sites/default/files/styles/case_slider_image/public/user/12/3.pa120060.jpg?itok=ZLAw_b9j
  • https://radiomed.ru/sites/default/files/styles/case_slider_image/public/user/12/4.pa120061.jpg?itok=Xo1C5ME8
  • https://radiomed.ru/sites/default/files/styles/case_slider_image/public/user/12/5.pa120063.jpg?itok=KiKBu6mv
  • https://radiomed.ru/sites/default/files/styles/case_slider_image/public/user/12/6.pa120063a.jpg?itok=hWZhn3iL
  • https://radiomed.ru/sites/default/files/styles/case_slider_image/public/user/12/1.pa120065.jpg?itok=WSgOGX_o
  • https://radiomed.ru/sites/default/files/styles/case_slider_image/public/user/12/2.pa120066.jpg?itok=PWrHGEnL
  • https://radiomed.ru/sites/default/files/styles/case_slider_image/public/user/12/3.pa120067.jpg?itok=f_qPr_FM
  • https://radiomed.ru/sites/default/files/styles/case_slider_image/public/user/12/4.pa120068.jpg?itok=M1sTDv0W
  • https://radiomed.ru/sites/default/files/styles/case_slider_image/public/user/12/5.pa120069.jpg?itok=cwWdCoH6
  • https://radiomed.ru/sites/default/files/styles/case_slider_image/public/user/12/6.pa120070.jpg?itok=H-8W4fy5
  • https://radiomed.ru/sites/default/files/styles/case_slider_image/public/user/12/7.pa120071.jpg?itok=-y8V7YLo
ID:20371
Almo аватар
Не на сайте
Был на сайте: 7 часов 21 минут назад
Зарегистрирован: 28.09.2008 - 18:50
Публикации: 8281

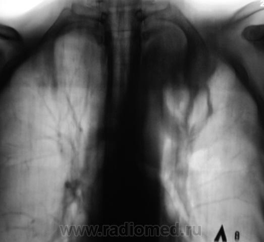
Нужна клиника. Частично опрожнённая лёгочная киста ?

И.Бондаренко аватар
Не на сайте
Был на сайте: 5 дней 18 часов назад
Зарегистрирован: 13.09.2011 - 22:55
Публикации: 9206

Каков возраст пациента?

Катенёв Валентин Львович аватар
Не на сайте
Был на сайте: 7 лет 1 месяц назад
Зарегистрирован: 22.03.2008 - 22:15
Публикации: 54876

Около 40 лет.

И.Бондаренко аватар
Не на сайте
Был на сайте: 5 дней 18 часов назад
Зарегистрирован: 13.09.2011 - 22:55
Публикации: 9206

Мне кажется, что это образование. От корня отходят, вероятно, расширенные сосуды.

Гриша Хата аватар
Не на сайте
Был на сайте: 10 лет 4 недели назад
Зарегистрирован: 09.02.2011 - 20:40
Публикации: 665

А мне кажется, что это фиброзная каверна в цирротечески изменённой верхней доле.

VaRy аватар
Не на сайте
Был на сайте: 13 лет 8 месяцев назад
Зарегистрирован: 21.05.2011 - 23:26
Публикации: 66

Гриша Хата wrote:

А мне кажется, что это фиброзная каверна в цирротечески изменённой верхней доле.

Похоже, с уровнями. Заячьи ушки). Более молодой детёныш и в правой верхушке.

Almo аватар
Не на сайте
Был на сайте: 7 часов 21 минут назад
Зарегистрирован: 28.09.2008 - 18:50
Публикации: 8281

Валентн Львович, указанные нозологии выставите в диф.ряд и пусть клиницисты дифференцируют в волю...

Nikolas аватар
Не на сайте
Был на сайте: 2 месяцев 2 недели назад
Зарегистрирован: 21.12.2010 - 20:37
Публикации: 4559

в правом лёгком и вокруг полости есть. Туберкулёз. Палочки Коха должны сыпаться в изобилии. На фиброзно-кавернозный и цирротический не дотягивает, так как выраженного  смещения прилещих органов  с сторону поражения нет. Полость раздута. Насчет формы туберкулеза можно очень долго спорить. Динамика покажет.  Главное - есть туберкулёз или нет туберкулёза. Спасибо за демонстрацию. Nik

Евгений1313 аватар
Не на сайте
Был на сайте: 13 лет 4 недели назад
Зарегистрирован: 15.10.2010 - 19:13
Публикации: 808

Полость дренируется-это не рак.Либо каверна, что вероятно; либо абсцесс, что тоже может быть.