Основы. ОГК. Синдром повышения прозрачности легочных полей. +

Синдром повышения прозрачности легочных полей

«Дифференциальная рентгенодиагностика заболеваний органов дыхания и средостения», Л.С.Розенштраух, М.Г.Виннер

Определение понятия
Здесь рассматривается повышение прозрачности легких, не ограниченное четко очерченными границами.
Исключением является пневмоторакс. Рассмотрены следующие заболевания: приобретенная эмфизема легких, врожденная эмфизема легких, агенезия и гипоплазия ветвей легочной артерии, прогрессирующая дистрофия легких.
Методики исследования
При диагностике и дифференциальной диагностике этих заболеваний основными методами исследования являются:

  • Рентгеноскопия, в том числе исследование в латеропозиции.
  • Рентгенография с применением проб Ю. Н. Соколова и И. С. Амосова.
  • Томография корня и паренхимы легкого.
  • Ангиопульмонография.
  • Радионуклидное исследование.
  • Прозрачность легочных полей в норме.
  • При анализе прозрачности легочных полей следует иметь в виду, что и в норме она не одинакова на всем протяжении.

Если сравнить прозрачность по горизонтальным поясам, то можно заметить, что у мужчин она наиболее высока в нижних отделах, где объем легочной ткани наиболее велик. Напротив, у женщин нижние пояса наименее прозрачны из-за наложения теней молочных желез.
У мужчин, занимающихся физическим трудом, слегка понижена прозрачность средних поясов, что связано с развитием грудных мышц, особенно справа. У женщин эти пояса прозрачнее других.
В норме разница в прозрачности различных отделов легких выражена незначительно и подчинена определенным закономерностям. При патологических состояниях она может быть весьма значительной.

Эмфизема — это состояние легкого, характеризующееся стойким увеличением воздушных пространств, расположенных дистальнее терминальных бронхиол. Встречается преимущественно у мужчин и женщин старше 40 лет.
Различают межуточную и везикулярную эмфизему. Хроническая везикулярная эмфизема может быть субстанциальной, старческой (атрофической) и компенсаторной (Абрикосов А. И., 1947).
Распространенные в зарубежной литературе термины «необструктивная» и «обструктивная» эмфизема в основном соответствуют принятым в отечественной литературе терминам «острая» и «хроническая» эмфизема. Необструктивная эмфизема протекает без потери субстанции легочной структуры и характеризуется лишь перерастяжением легочной ткани.
При обструктивной эмфиземе наряду с перерастяжением респираторной ткани отмечаются потеря самой легочной ткани, исчезновение альвеолярных перегородок. Острая (необструктивная) функциональная эмфизема при длительном существовании переходит в хроническую (обструктивную) форму с большими морфологическими изменениями.
Эмфизема приводит к нарушениям газообмена в легких, что проявляется главным образом одышкой и цианозом, и к нарушению кровообращения в малом круге.
Вследствие запустевания большого количества капилляров, находящихся в альвеолярных перегородках и окутывающих альвеолы, развивается гипертензия в системе легочной артерии, что в свою очередь приводит к гипертрофии правого желудочка и легочному сердцу. При длительной гипертонии в малом круге кровообращения в ветвях легочной артерии развиваются явления атеросклероза, что еще больше ухудшает кровообращение.
Эмфизема является следствием хронического бронхита либо на ее фоне развивается хронический бронхит и пневмония, что в конечном счете приводит к развитию пневмосклероза. Таким образом, развивается порочный круг.
Ю. Н. Соколов (1950) предложил разделить изменения, выявляемые при эмфиземе, на четыре вида, учитывая, что ни один из симптомов (кроме рентгено-функциональных) не патогномоничен для эмфиземы, но их совокупность, особенно при учете клинической картины, является ценным подспорьем для диагностики.

Изменения грудной клетки. Бочкообразная или колоколообразная грудная клетка с горизонтально идущими задними отрезками ребер и расширенными межреберными промежутками. Вертикальный размер грудной клетки увеличен, грудина отклонена кпереди, ретростернальное пространство зияет (более 3 — 5 см).
Изменения легких. Увеличена площадь легочных полей, повышена прозрачность легких, легочный рисунок усилен и деформирован, что является проявлением пневмосклероза. В отсутствие пневмосклероза легочный рисунок разрежен и обеднен. Иногда на томограммах видны субплеврально расположенные буллы.
Корни легких расширены; характерна форма их в виде запятых за счет расширения основных стволов легочной артерии. На томограммах определяются суженные артериальные ветви.
Ангиографическая картина в основном повторяет томографическую: расширенные основные стволы легочной артерии, суженные средние ветви и резкая редукция мелких артерий; капиллярная фаза резко замедлена либо отсутствует. При наличии булл артерии иногда значительно раздвинуты.
Бронхографическая картина довольно типична и описывается, как «зимнее дерево без листьев», из-за отсутствия контрастирования мелких бронхов. Бронхиальное дерево обеднено, распределено на большом пространстве, углы отхождения бронхов расширены. В бронхах наблюдается длительная задержка контрастного вещества, что связано с угнетением эвакуаторной функции бронхов, потерей легким эластичности.
Определенное значение имеет симптом отсутствия разницы в величине ретрокардиального и ретростернального пространства на вдохе и выдохе, характерный для эмфиземы.

Изменения диафрагмы
Диафрагма расположена низко, реберно-диафрагмальные синусы уплощены, развернуты. Куполы диафрагмы уплощены, могут быть деформированы в виде палатки. Экскурсия куполов диафрагмы резко уменьшена.
Изменения сердца и сосудов. Типичная конфигурация развивающегося легочного сердца обусловлена гипертрофией правого желудочка, низким стоянием диафрагмы и связанного с этим поворота сердца вправо. Сердце небольших размеров («малое сердце»), расположено вертикально. В правом косом положении выбухает артериальный конус, в прямой проекции — дуга легочной артерии.
Описанные морфологические симптомы служат проявлением довольно далеко зашедшего заболевания. В более ранних стадиях эмфизему удается выявить с помощью функциональных проб Соколова и Амосова. Они же являются решающими для объективизации диагноза эмфиземы, которым, как показывает практика, злоупотребляют рентгенологи, особенно при обследовании лиц старше 50 лет. Дело в том, что даже при выраженной эмфиземе на структурных томограммах субплеврально расположенные буллы видны редко. Чаще они наблюдаются у больных, перенесших туберкулез верхних долей обоих легких.  
В выраженной стадии картина обструктивной эмфиземы характерна и не нуждается в дифференциальной диагностике.
В начальных стадиях во избежание гипердиагностики она должна обязательно документироваться рентгено-функциональными пробами. Как правило, эмфизема сопровождается хроническим бронхитом и пневмосклерозом. С другой стороны, эти заболевания, как и бронхиальная астма, сопровождаются эмфиземой.

Обзорная рентгенограмма (а): выраженная эмфизема легкого, легочные поля повышенной прозрачности, межреберные промежутки расширены, ребра располагаются горизонтально, диафрагма низко. Легочное сердце. На прицельной томограмме (б) в области верхушки левого легкого видны тонкостенные буллы, их наружные стенки не определяются.

Катенёв Валентин Львович аватар
Не на сайте
Был на сайте: 7 лет 4 месяцев назад
Зарегистрирован: 22.03.2008 - 22:15
Публикации: 54876

 

Большое практическое значение имеет острое вздутие легкого при препятствиях, расположенных в бронхиальном дереве. Это в первую очередь относится к внутрибронхиальным неконтрастным инородным телам и начальным фазам развития как злокачественных, так и доброкачественных внутрибронхиальных опухолей. С инородными телами приходится чаще иметь дело у детей, а с внутрибронхиальными опухолями — у взрослых.
Особенно большие трудности возникают в случаях, если необходимо определить локализацию инородного тела у маленьких детей при клапанном механизме вздутия.
Нередко пораженную, вздутую сторону (более прозрачную для рентгеновских лучей, с расширенными межреберными промежутками, низко расположенной диафрагмой) принимают за здоровую, а здоровую, кажущуюся затемненной на фоне вздутого легкого или доли — за больное легкое. Знание функциональных симптомов дает возможность поставить правильный диагноз.
Рекомендуется руководствоваться следующими правилами:

  1. В случае клапанной закупорки бронха прозрачность легкого для рентгеновских лучей на здоровой стороне заметно меняется при дыхании, чего не наблюдается на стороне поражения (Бодня И. Ф., 1966).
  2. При выдохе на здоровой стороне легочное поле становится менее прозрачным, а на стороне закупорки — более прозрачным, чем во время вдоха (Фридкин В. Я., 1963).
  3. В фазе вдоха средостение перемещается в сторону вздутого легкого, а во время выдоха — в здоровую сторону.

Вентильное вздутие левого легкого. Сердце смещено вправо. Прозрачность правого легкого понижена. При бронхоскопии из левого главного бронха извлечена скорлупа ореха.

Приложения: 
1635_1178446633.jpg
Катенёв Валентин Львович аватар
Не на сайте
Был на сайте: 7 лет 4 месяцев назад
Зарегистрирован: 22.03.2008 - 22:15
Публикации: 54876

Заболевание представляет собой порок развития паренхимы и мелких бронхов легкого. Встречается нередко, хотя далеко не всегда диагностируется. Это вызывает смерть новорожденных при явлениях дыхательной недостаточности. Наиболее распространенные синонимы заболевания: лобарная эмфизема новорожденных, гипертрофическая эмфизема, прогрессирующая лобарная эмфизема, инфантильная лобарная эмфизема.
Заболевание обнаруживается в первые дни или недели жизни. Обычно поражается одна из долей легкого, чаще верхняя слева. Пораженная доля увеличена в объеме (в 2 — 3 раза), не спадается при вскрытии грудной полости, содержит буллы разной величины.
Относительно причины развития эмфиземы единого мнения нет. Видимо, это заболевание может быть вызвано различными причинами, но все они или большинство из них врожденного характера.

Клиническая картина лобарной эмфиземы зависит от степени перерастяжения пораженного участка легкого и возможностей организма компенсировать его. Дыхательные расстройства у новорожденных могут появиться сразу же после рождения или спустя 2 — 3 нед. Характерны одышка, цианоз, усиливающиеся во время кормления или крика, приступы асфиксии.
При незначительной дыхательной недостаточности все эти симптомы выражены нерезко, прогрессируют относительно медленно. Однако присоединение воспалительных изменений приводит к быстрому и резкому ухудшению состояния.
Диагностировать заболевание только на основании клинических симптомов сложно. Решающее значение имеет рентгенологическое исследование.
На обзорных снимках и при рентгеноскопии выявляются резко повышенная прозрачность одного легкого (доли), с низким стоянием купола диафрагмы на соответствующей стороне, смещение сердца и выбухание части легкого (медиастинальная грыжа) в противоположную от поражения сторону, уменьшение экскурсии купола диафрагмы и отсутствие изменений прозрачности легкого во время дыхания на стороне поражения.
Противоположная сторона, наоборот, кажется затемненной, а легочный рисунок в ней — усиленным, избыточно развитым.
В то же время при рентгеноскопии (или на снимках, сделанных в противоположных фазах дыхания), прослеживая изменения прозрачности легочного поля, сразу же можно установить, какая сторона поражена. Прозрачность пораженной стороны не изменяется; сложнее точно определить характер поражения.Врожденная лобарная эмфизема. Резко вздута нижняя доля справа. Органы средостения смещены влево. После удаления пораженной доли клиническая и рентгенологическая картины нормализовались.

Приложения: 
1637_1631315477.jpg
Катенёв Валентин Львович аватар
Не на сайте
Был на сайте: 7 лет 4 месяцев назад
Зарегистрирован: 22.03.2008 - 22:15
Публикации: 54876

Основное заболевание, от которого следует дифференцировать лобарную эмфизему, — эмфизема доли или легкого в результате закупорки бронха случайно попавшим инородным телом. Клиническая и рентгенологическая картины при обоих заболеваниях могут быть идентичными. Вопрос решается с помощью поднаркозной бронхоскопии.
Следует также иметь в виду спонтанный пневмоторакс вследствие разрыва одной из булл. Однако на структурных обзорных рентгенограммах при спонтанном пневмотораксе в отличие от врожденной эмфиземы легочный рисунок не выявляется.
При эмфиземе легочный рисунок обеднен, но все же констатируется. При спонтанном пневмотораксе часто виден край коллабированного легкого. В некоторых случаях приходится прибегать к отсасыванию воздуха. При спонтанном пневмотораксе он отсасывается легко и легкое расправляется. При лобарной эмфиземе удается удалить лишь небольшое количество воздуха и картина не меняется.
Гигантская воздушная киста клинически и рентгенологически может дать весьма сходную с лобарной эмфиземой картину, особенно при присоединении воспаления. При эмфиземе прослеживается легочный рисунок, при воздушной кисте или системе кист он не виден, однако при поворотах удается увидеть стенки тонкостенных образований.
Имеющиеся в литературе описания односторонней эмфиземы у взрослых относятся к сборной группе заболеваний, включающих агенезию, аплазию и гипоплазию легочной артерии, а также так называемую дистрофию легких и др.

Катенёв Валентин Львович аватар
Не на сайте
Был на сайте: 7 лет 4 месяцев назад
Зарегистрирован: 22.03.2008 - 22:15
Публикации: 54876

 

Эта аномалия может протекать без клинически выраженных признаков. Больных выявляют при профилактическом осмотре в связи с бросающейся в глаза повышенной прозрачностью одного легкого. Одновременно отсутствуют или недоразвиты легочные вены, и кровоснабжение легкого осуществляется за счет развития бронхиальных и других артерий, отходящих от аорты.
Рентгенологически, кроме повышенной прозрачности легочного поля на одной стороне (однолегочная эмфизема, сверхпрозрачное легкое), определяются уменьшение тени корня легкого и отсутствие обычного легочного рисунка на стороне поражения. Гипоплазия легочной артерии часто сочетается с тетрадой Фалло.
В то же время в отличие от эмфиземы функциональные пробы, в том числе проба Соколова, отрицательны. Дифференцировать необходимо от чрезвычайно редко встречающегося стеноза легочной артерии на почве рубцов вследствие перенесенного специфического и неспецифического воспаления, сдавления ее ствола опухолью, а также от изменений легочной артерии при аневризме, пневмотораксе, бронхоэктазах и др.
Определение на томограммах суженных сосудов нижних долей дает возможность исключить спонтанный пневмоторакс. Углубленное бронхологическое исследование (бронхоскопия, бронхография, зондирование, цветная фотобронхоскопия) помогает отказаться от предположения о наличии приобретенных заболеваний с механическим сужением легочной артерии (рак, воспаление).
Диагноз гипоплазии, или недоразвития, ствола легочной артерии нуждается в ангиографическом подтверждении. Возможно, ангиографическую картину и следовало бы дифференцировать от таковой при тромбоэмболии, но при последней, как правило:

  1. выражена клиническая картина (одышка, кашель, кровохарканье);
  2. в легких определяется не просветление, а видны очаговоподобные тяжи, «хаотический» легочный рисунок, увеличение нисходящих ветвей легочной артерии, а также ателектаз и инфаркт легкого;
  3. увеличены правое предсердие и дуга легочной артерии, расширена верхняя полая вена (Мазаев П. Н., Куницын Д. В., 1979). Иногда в таких случаях ставится диагноз врожденной эмфиземы и дистрофии легких.

Обзорная рентгенограмма (а) и ангиопульмонограмма (б).

Приложения: 
1638_467434264.jpg1639_1905198220.jpg
Катенёв Валентин Львович аватар
Не на сайте
Был на сайте: 7 лет 4 месяцев назад
Зарегистрирован: 22.03.2008 - 22:15
Публикации: 54876

L. Heilmeyer и A. Schmid (1956) описали картину болезни, которая характеризовалась исчезновением легочной ткани, включая бронхи, сосуды в части легкого (сегмент, доля) или во всем легком. Болезнь склонна к прогрессированию. Этиология и патогенез неясны. Заболевание обозначают по-разному: исчезающее легкое, идиопатическая легочная атрофия, буллезная легочная эмфизема.
Исследовав препараты легких при прогрессирующей дистрофии, установлено, что мелкие и мельчайшие бронхи стенозируются вследствие хронического воспалительного процесса в них.
В интеретициальной ткани имеются воспалительные инфильтраты и гранулемы. Отмечаются воспалительные изменения в стенках ветвей легочной артерии.
От обычной картины обструктивной эмфиземы это заболевание отличается по крайней мере тремя признаками: ограниченностью процесса, который захватывает только часть легких (чаще одну, две доли), а не оба легких полностью, более выраженной потерей тканевой структуры легкого и тенденцией к относительно быстрому прогрессированию заболевания.

Заболевание чаще всего поражает пожилых мужчин, у которых обнаруживаются симптомы бронхита и эмфиземы. Основу процесса составляет субстанциальная эмфизема с образованием крупных булл.

Прогрессирующая дистрофия легкого. На фоне вздутия легкого видны расширенные крупные сосудистые ветви.

Приложения: 
1640_76042640.jpg
Катенёв Валентин Львович аватар
Не на сайте
Был на сайте: 7 лет 4 месяцев назад
Зарегистрирован: 22.03.2008 - 22:15
Публикации: 54876

Рентгенологическая картина весьма сходна с описанной при обструктивной эмфиземе и отличается следующими особенностями:

  1. поражение может быть симметричным или асимметричным, но никогда не захватывает полностью оба легких. Чаще поражаются верхние доли с одной или с обеих сторон;
  2. наблюдается более резкое разрежение легочного рисунка на ограниченном участке, рядом с пораженным отделом виден сгущенный и деформированный легочный рисунок соседней доли, сдавленной вздувшейся частью легкого. Между этими двумя отделами легкого (вздувшейся и сдавленной долями) нет резкого перехода;
  3. эмфизематозные буллы на рентгенограммах и томограммах видны плохо и определяются нечасто, что объясняется, по-видимому, неблагоприятными скиалогическими соотношениями и значительным истончением их стенок;
  4. смещение средостения в здоровую сторону встречается редко, иногда выявляется только при глубоком вдохе;
  5. на ангиопульмонограммах видны не только сужение и редукция мелких артериальных стволов, но и сужение долевых ветвей, чего не наблюдается при диффузной эмфиземе. Эта картина повторяется при сканировании.

Прогрессирующая дистрофия легких и система бронхиальных кист, гипоплазия легочной артерии, гигантские кисты, спонтанный пневмоторакс
Прогрессирующую дистрофию легких следует отличать от нескольких заболеваний, дающих сходную рентгенологическую картину:

  1. от системы бронхиальных кист, образующих картину «сотового» легкого. При этом заболевании на рентгенограммах и томограммах хорошо видны резкие стенки полостей, чего не отмечается при прогрессирующей дистрофии легкого. Кроме того, бронхиальные кисты часто протекают бессимптомно и не прогрессируют;
  2. от агенезии и гипоплазии легочной артерии врожденного или приобретенного генеза. При ангиопульмонографии отсутствует контрастирование легочной артерии с одной стороны. Кроме того, при врожденном недоразвитии сосудов одного легкого наблюдаются смещение органов средостения в сторону поражения, гипоплазия легочной артерии вплоть до отсутствия на рентгенограммах тени корня, сужение межреберных промежутков на стороне поражения и при выраженной картине узурация ребер вследствие развития коллатерального кровообращения;
  3. от напряженных, часто гигантских кист. Они отличаются тем, что на снимках с поворотом и на томограммах удается увидеть их стенки. Внутри этих полостей легочный рисунок отсутствует;
  4. от спонтанного пневмоторакса, при котором виден край поджатого легкого и не определяется легочный рисунок. При прогрессирующей эмфиземе в зоне просветления виден легочный рисунок (вернее, остатки того, что было легочным рисунком). При двусторонней дистрофии легкого вопроса о дифференциации от спонтанного пневмоторакса не возникает.

Постепенно прогрессирующая дистрофия легкого приводит к легочному сердцу и смерти.

При диффузном одностороннем повышении прозрачности одного легкого (синдроме Януса) необходимо иметь в виду следующие основные варианты:

  1. повышение прозрачности циркуляторного происхождения — врожденная сосудистая патология (отсутствие одной легочной артерии, в 50% случаев сочетающееся с тетрадой Фалло) и приобретенная (локальный тромбоз и эмболия ветви легочной артерии);
  2. повышение прозрачности вентиляционного происхождения — врожденного характера (врожденная эмфизема, врожденное кистозное легкое) и приобретенного (компенсаторная обструктивная эмфизема и прогрессирующая легочная дистрофия);
  3. повышение прозрачности смешанного генеза (синдром Мак-Лауда). Характеризуется повышением прозрачности, исчезновением легочного рисунка, смещением средостения на вдохе в пораженную сторону, отсутствием контрастирования при бронхографии и ангиопульмонографии мелких бронхиальных и артериальных стволов.

В части случаев приходится ограничиваться диагнозом исчезающего легкого.

Справа «исчезающее» легкое, слева —  легкое, заполненное бронхиальными кистами. Легочный рисунок справа резко разрежен, на его фоне видны тонкостенные воздушные полости.

Приложения: 
1641_151615974.jpg
Катенёв Валентин Львович аватар
Не на сайте
Был на сайте: 7 лет 4 месяцев назад
Зарегистрирован: 22.03.2008 - 22:15
Публикации: 54876

Пневмоторакс также обусловливает повышение прозрачности легочного поля. По происхождению он может быть искусственным (лечебным), диагностическим, травматическим и спонтанным, а также одно- и двусторонним.
По степени спадения легкого каждый из приведенных видов пневмоторакса может быть полным или тотальным, когда легкое спалось полностью и в виде небольшой округлой тени прилежит к средостению, неполным и частичным, когда легкое спалось на 1/2 ,1/3, 1/4  и т. д. своего объема, частичным или осумкованным, если спадение легкого ограничено спайками. Кроме того, по виду сообщения с атмосферным воздухом различают следующие виды пневмоторакса: открытый наружу (через раневой канал в грудной стенке), открытый внутрь (сообщение между плевральной полостью и поврежденным легким), сквозной (открытый кнаружи и кнутри), вентильный или клапанный (воздух входит в плевральную полость из легкого в фазе вдоха и не выходит на выдохе из-за прикрытия перфоративного отверстия в висцеральной плевре).
Вентильный пневмоторакс может перейти в напряженный, сопровождающийся резким спадением легкого и смещением средостения. При этом можно наблюдать пролабирование спавшегося легкого через переднее средостение в здоровую сторону (медиастинальная грыжа).
Закрытый пневмоторакс характеризуется отсутствием сообщения с атмосферным воздухом.
Перед рентгенологом возникают две задачи: определить наличие воздуха в плевральной полости или доказать его отсутствие, а также отличить пневмоторакс от других заболеваний, дающих сходную рентгенологическую картину.
В решении первого вопроса рентгенологический метод имеет решающее значение и обладает значительными разрешающими возможностями. Определенные трудности возникают при очень небольшом количестве газа, проникшем в плевральную полость, будь то при искусственном, диагностическом, травматическом или спонтанном пневмотораксе. Наилучший способ — рентгенография на латероскопе в положении больного лежа на здоровом боку при глубоком выдохе. Для определения небольшого количества воздуха в плевральной полости снимки необходимо делать не на вдохе, а на выдохе, когда легкое спадается.
Исследование на латероскопе в положении больного лежа на здоровом боку создает еще более благоприятные условия для выявления даже минимальных количеств газа, так как воздух стремится занять наиболее высокое положение и скапливается вдоль края реберной дуги, оттесняя легкое книзу.

Необходимость в дифференциальной диагностике пневмоторакса, как правило, возникает довольно редко, в основном при спонтанном пневмотораксе, чаще при наличии спаек и образовании осумкованного пневмоторакса. Чаще эти состояния приходится дифференцировать от гигантских воздушных булл, располагающихся у края легкого. Полипозиционное исследование и снимки, доказывающие наличие всех стенок кисты, их плавные контуры дают возможность исключить спонтанный пневмоторакс и установить диагноз гигантской буллы.
При разграничении спонтанного пневмоторакса и врожденной лобарной эмфиземы следует иметь в виду, что при пневмотораксе легочный рисунок отсутствует, а при эмфиземе виден.
Этот же признак может быть использован при дифференциальной диагностике спонтанного пневмоторакса с аномалией ветвей легочной артерии и прогрессирующей дистрофией легкого.

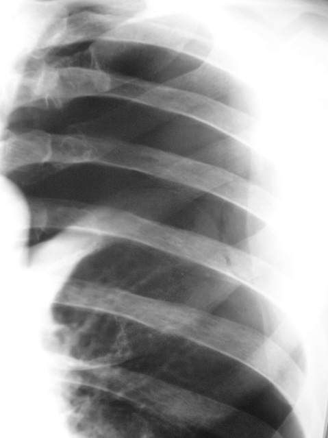
Спонтанный пневмоторакс справа. Правое легкое поджато на три четверти, хорошо виден его наружный край.

Приложения: 
1642_211222138.jpg
Катенёв Валентин Львович аватар
Не на сайте
Был на сайте: 7 лет 4 месяцев назад
Зарегистрирован: 22.03.2008 - 22:15
Публикации: 54876

В большинстве случаев хорошо видны воздух в плевральной полости и спавшееся легкое, увеличивающееся на вдохе и уменьшающееся на выдохе.
При наличии жидкости в плевральной полости она образует один или несколько (при осумковании) уровней, т. е. определяется картина пневмоплеврита.
Серия рентгенограмм, произведенных в динамике, дает возможность даже при множественном осумковании пневмоплеврита отличить полости в плевре от полостей в легком, расположенных субплеврально. Кроме того, при наличии в легком полостей с жидкостью (чаще всего полости абсцессов) наблюдаются клинические проявления нагноения, в первую очередь кашель с гнойной мокротой. При осумковании пневмоплевритов такой клинической картины нет. При гнойниках, расположенным в легком, отмечается реакция окружающей легочной ткани в виде перифокального воспаления и пневмосклероза.
При осумкованном пневмоплеврите утолщаются листки плевры, а легочная ткань реагирует в меньшей степени. Однако следует помнить, что при гигантских, так называемых гангренозных абсцессах полость общая (из легкого она распространяется на плевру).

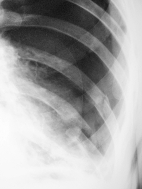
Спонтанный пневмоторакс справа. Изломанный медиальный контур просветления, отсутствие сопроводительной линии грудной стенки. Выздоровление.

Приложения: 
1643_1628532976.jpg
Катенёв Валентин Львович аватар
Не на сайте
Был на сайте: 7 лет 4 месяцев назад
Зарегистрирован: 22.03.2008 - 22:15
Публикации: 54876

Иллюстрации.

Приложения: 
1.p.slayd238.jpg1.pn_.slayd131.jpg
Катенёв Валентин Львович аватар
Не на сайте
Был на сайте: 7 лет 4 месяцев назад
Зарегистрирован: 22.03.2008 - 22:15
Публикации: 54876

Иллюстрации.

Приложения: 
1.pr_.slayd104.jpg2.pr_.slayd105.jpg3.pr_.slayd106.jpg4.pr_.slayd107.jpg
Катенёв Валентин Львович аватар
Не на сайте
Был на сайте: 7 лет 4 месяцев назад
Зарегистрирован: 22.03.2008 - 22:15
Публикации: 54876

Продолжение.

Приложения: 
1.pn_.slayd6_.jpg
Катенёв Валентин Львович аватар
Не на сайте
Был на сайте: 7 лет 4 месяцев назад
Зарегистрирован: 22.03.2008 - 22:15
Публикации: 54876

 

Левосторонний пневмоторакс (травматического генеза).

ИзображениеИзображениеИзображениеИзображение

Левосторонний пневмоторакс (ножевое ранение).

ИзображениеИзображениеИзображениеИзображение

Двусторонний пневмоторакс.

ИзображениеИзображение

Левосторонний пневмоторакс травматического генеза.

ИзображениеИзображениеИзображениеИзображение

Катенёв Валентин Львович аватар
Не на сайте
Был на сайте: 7 лет 4 месяцев назад
Зарегистрирован: 22.03.2008 - 22:15
Публикации: 54876

Продолжение.

Приложения: 
1.prosv_.slayd31.jpg2.prosv_.slayd32.jpg1.pn_.slayd4_.jpg2.pn_.slayd5_.jpg
Катенёв Валентин Львович аватар
Не на сайте
Был на сайте: 7 лет 4 месяцев назад
Зарегистрирован: 22.03.2008 - 22:15
Публикации: 54876

Эмфизема.

Приложения: 
1.em_.slayd54.jpg2.em_.slayd55.jpg3.em_.slayd56.jpg4.em_.slayd57.jpg5.em_..jpg6.em_.slayd59.jpg
Катенёв Валентин Львович аватар
Не на сайте
Был на сайте: 7 лет 4 месяцев назад
Зарегистрирован: 22.03.2008 - 22:15
Публикации: 54876

Синдром изменения прозрачности легочной ткани.

Приложения: 
47.slayd6_.jpg48.slayd15.jpg49.slayd16.jpg50.slayd29.jpg51.slayd30.jpg