Вы здесь

Динамика...?

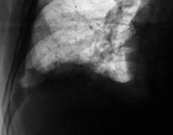
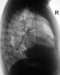
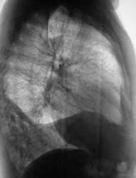
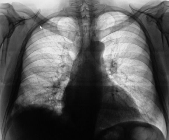
Пациент был направлен в рентгеновский кабинет терапевтом с диагнозом "Правостороняя пневмония". Было произведено стандартное исследование.


DIN.1..JPG
DIN.1..JPG
DIN.2..JPG
DIN.2..JPG
DIN.3..JPG
DIN.3..JPG

 

 

 

 

 

 

 

 

 

 

 

 

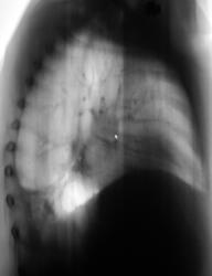
Было назначено противовоспалительное лечение. Через 1 неделю проведен "рентген-контроль".

 


DIN.4..JPG
DIN.4..JPG
DIN.5.JPG
DIN.5.JPG
DIN.6.JPG
DIN.6.JPG

 

 

 

 

 

 

 

 

 

 

 

 

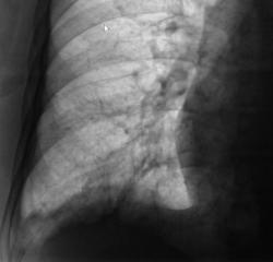
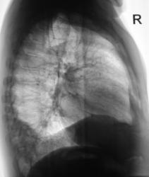
Еще через неделю, также произведен "рентген-контроль".

 


DIN.7..JPG
DIN.7..JPG
DIN.8..JPG
DIN.8..JPG
DIN.9..JPG
DIN.9..JPG

 

 

 

 

 

 

 

 

 

 

 

 

Ваше мнение коллеги?

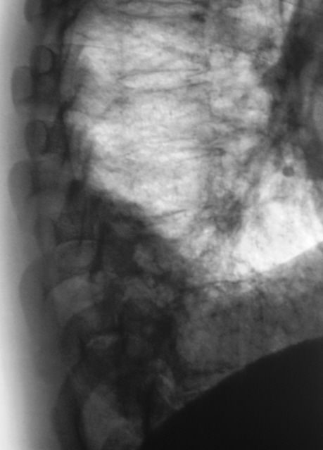
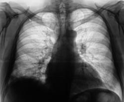
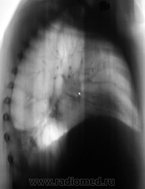
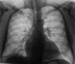
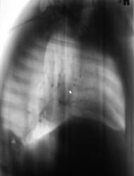
Сегодня произвели "очередной контроль". Произвели рентгенографию в прямой и правой боковой проекциях. Решили также произвести томографию в правой боковой проекции.


1.1.Kontrol.JPG
1.1.Kontrol.JPG
2.2.Kontrol.JPG
2.2.Kontrol.JPG
3.3.KOntrol.JPG
3.3.KOntrol.JPG

 

 

 

 

 

 

 

 

 

 

 

 


4.4.Kontrol.JPG
4.4.Kontrol.JPG
5.5.Kontrol.JPG
5.5.Kontrol.JPG
6.6.Kontrol.JPG
6.6.Kontrol.JPG

 

 

 

 

 

 

 

 

 

 

 

 


7.7.Kontrol.JPG
7.7.Kontrol.JPG
8.8.Kontrol.JPG
8.8.Kontrol.JPG
9.9.Kontrol.jpg
9.9.Kontrol.jpg

 

 

 

 

 

 

 

 

 

 

 

 


10.10.Kontrol.JPG
10.10.Kontrol.JPG
11.11.Kontrol.jpg
11.11.Kontrol.jpg
12.12.Kontrol.JPG
12.12.Kontrol.JPG

 

 

 

 

 

 

 

 

 

 

 

 


13.13.Kontrol.JPG
13.13.Kontrol.JPG
14.14.Kontrol.JPG
14.14.Kontrol.JPG
15.15.Kontrol..jpg
15.15.Kontrol..jpg

 

 

 

 

 

 

 

 

 

 

 

 

Ваше мнение коллеги?

ВложениеРазмер
Иконка изображения DIN.1..JPG82.62 КБ
Иконка изображения DIN.2..JPG73.27 КБ
Иконка изображения DIN.3..JPG87.97 КБ
Иконка изображения DIN.4..JPG81.35 КБ
Иконка изображения DIN.5.JPG82.1 КБ
Иконка изображения DIN.6.JPG95.83 КБ
Иконка изображения DIN.7..JPG77.86 КБ
Иконка изображения DIN.8..JPG77.78 КБ
Иконка изображения DIN.9..JPG91.34 КБ
Иконка изображения 1.1.Kontrol.JPG74.51 КБ
Иконка изображения 2.2.Kontrol.JPG75.66 КБ
Иконка изображения 3.3.KOntrol.JPG83.76 КБ
Иконка изображения 4.4.Kontrol.JPG76.84 КБ
Иконка изображения 5.5.Kontrol.JPG83.92 КБ
Иконка изображения 6.6.Kontrol.JPG69.08 КБ
Иконка изображения 7.7.Kontrol.JPG72.79 КБ
Иконка изображения 8.8.Kontrol.JPG71.95 КБ
Иконка изображения 9.9.Kontrol.jpg57.69 КБ
Иконка изображения 10.10.Kontrol.JPG74.11 КБ
Иконка изображения 11.11.Kontrol.jpg60.36 КБ
Иконка изображения 12.12.Kontrol.JPG75.97 КБ
Иконка изображения 13.13.Kontrol.JPG73.28 КБ
Иконка изображения 14.14.Kontrol.JPG73.92 КБ
Иконка изображения 15.15.Kontrol..jpg91.09 КБ
Глазков Игорь Артурович аватар
Не на сайте
Был на сайте: 11 месяцев 1 неделя назад
Зарегистрирован: 19.12.2008 - 20:41
Публикации: 1597

правостороннего плеврального выпота в проекции средней доли.

Прийди к Себе

Almo аватар
Не на сайте
Был на сайте: 8 часов 18 минут назад
Зарегистрирован: 28.09.2008 - 18:50
Публикации: 8286

Согласен с коллегой, но по-моему, кроме это выпот есть и заднем синусе. Картина в серия снимков №7-9, с небольшой положительной динамикой в сравнении данными в серии №4-6.

Катенёв Валентин Львович аватар
Не на сайте
Был на сайте: 7 лет 2 месяцев назад
Зарегистрирован: 22.03.2008 - 22:15
Публикации: 54876

Следовательно, только - выпот?

Анатолий Владимирович Шумаков аватар
Не на сайте
Был на сайте: 7 лет 12 месяцев назад
Зарегистрирован: 16.10.2009 - 21:16
Публикации: 1941

Кажущееся затемнение в области средней доли симулирует суперпозиция приподнятого правого купола диафрагмы и тени сердца. В заднем синусе справа - небольшой выпот, а со стороны диафрагмы, кроме элевации и выпрямления, присутствует картина диафрагматита в задних отделах. Вероятно необходимо ультразвуковое исследование органов брюшной полости и забрюшинного пространства для поиска первопричины данного состояния там. Динамика процесса за время наблюдения - явно положительная.

Almo аватар
Не на сайте
Был на сайте: 8 часов 18 минут назад
Зарегистрирован: 28.09.2008 - 18:50
Публикации: 8286

Уважаемый коллега, впервые сталкиваюсь с термином диафрагматит. Не дадите ссылку по этому термину.

Катенёв Валентин Львович аватар
Не на сайте
Был на сайте: 7 лет 2 месяцев назад
Зарегистрирован: 22.03.2008 - 22:15
Публикации: 54876

Определение диафрагматит [diaphragmatitis; диафрагма (основа diaphragmat-) + -ит; син. диафрагми]:

диафрагматит [diaphragmatitis; диафрагма (основа diaphragmat-) + -ит; син. диафрагми] - воспаление диафрагмы; возникает как осложнение при плеврите, перитоните, абсцессах легкого и печени, а также в случае гематогенного или лимфогенного проникновения возбудителей инфекции в диафрагму.

 

Вообще диафрагмит (ранее) считался косвенным признаком патологии брюшной полости, в том числе и для перитонита.

Almo аватар
Не на сайте
Был на сайте: 8 часов 18 минут назад
Зарегистрирован: 28.09.2008 - 18:50
Публикации: 8286

Спасибо! А на основании каких признаков выноситься заключение о диафрагматите( нечёткость контуров последней?).

Катенёв Валентин Львович аватар
Не на сайте
Был на сайте: 7 лет 2 месяцев назад
Зарегистрирован: 22.03.2008 - 22:15
Публикации: 54876

Уважаемый коллега!

Вопрос не ко мне. Нами такой диагноз (диафрагмит, диафрагматит) не выставлялся.

Анатолий Владимирович Шумаков аватар
Не на сайте
Был на сайте: 7 лет 12 месяцев назад
Зарегистрирован: 16.10.2009 - 21:16
Публикации: 1941

Конечно все признаки диафрагматита косвенные, основные из них -

кажущееся разволокнение и утрата четкости купола диафрагмы,

изменение формы купола - его выпрямление, тотальное или частичное, или наоборот - ограниченное выпячивание,

быстрое, в течение нескольких дней формирование плевро - диафрагмальных спаек, зазубренность купола,

видимость (редко) локального лимфангита,

приподнятость купола,

отсутствие или небольшое количество выпота (латерография желательна!)

ограничение подвижности (при скопии),

дисковидные ателектазы в нижних отделах легких, (кстати в данном наблюдении на первой серии снимков виден небольшой дисковидный ателектаз в проекции средней доли справа),

минимальные изменения в смежных отделах легких, так как подразумевается, что диафрагматит преимущественно является сопутствуюшей патологией и сигналом наличия воспалительного процесса в смежных органах именно брюшной полости и забрюшинного пространства (острый панкреатит, панкреанекроз, перитонит, поддиафрагмальный абсцесс, абсцесс сальниковой сумки, карбункул почки и т.п.)

клиники - локальной боли при попытке глубокого вдоха, признаков основной патологии в животе, при левосторонней локализации - икоте и других

Возможно коллеги дополнят и поправят...

 

Классика жанра - книга: Выржиковская М.Ф. Рентгенодиагностика перитонитов и гнойников брюшной полости. М. МЕДГИЗ. 1958г.

Катенёв Валентин Львович аватар
Не на сайте
Был на сайте: 7 лет 2 месяцев назад
Зарегистрирован: 22.03.2008 - 22:15
Публикации: 54876

Анатолий Шумаков:

"Возможно коллеги дополнят и поправят...".

 

Здравствуйте уважаемый коллега! Книга действительно хорошая, до сих пор пользуемся описанной симптоматологией.

А вот насчет "поправят и дополнят" - тут Вы не правы. На сайте каждый волен высказывать "свою точку зрения", Вы высказали свою и за это Вам спасибо.

С уважением В. Катенёв.

Катенёв Валентин Львович аватар
Не на сайте
Был на сайте: 7 лет 2 месяцев назад
Зарегистрирован: 22.03.2008 - 22:15
Публикации: 54876

Сегодня произвели рентген-контроль. Снимки "выше" - в основном сообщении.

Изображение

Almo аватар
Не на сайте
Был на сайте: 8 часов 18 минут назад
Зарегистрирован: 28.09.2008 - 18:50
Публикации: 8286

Анатолию Шумакову: Спасибо за ответ! Приму к сведению.Смущает год издания источника (51 год назад).

 

Катенёву В.Л.: На боковых томограммах, впечатление о инфильтрации с распадом в S10; томограммы, вероятно выполнены в положении лёжа, следовательо следует ожидать, что выпот растекся по грудной стенке и  не виден. С учётом характера распада, не исключаеиться туберкулёзный процесс.  

Катенёв Валентин Львович аватар
Не на сайте
Был на сайте: 7 лет 2 месяцев назад
Зарегистрирован: 22.03.2008 - 22:15
Публикации: 54876

Спасибо Вам Almo за высказанное мнение.

О "выпоте" думали даже сначала, но только об осумкованном. Сегодня при дообследовании, "полостное образование" было неожиданной находкой, но о "туберкулёзной" этиологии, именно полостного образования, не думали. Но интересно, что пациент себя (с его слов) чувствует себя хорошо. ПО ВСЕЙ ВИДИМОСТИ, ОТПРАВИМ В ОБЛАСТЬ К ПУЛЬМОНОЛОГАМ.