Вы здесь

Какие будут мнения.

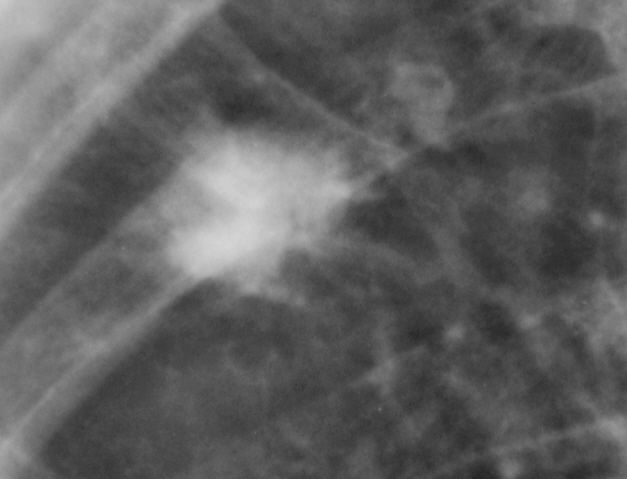
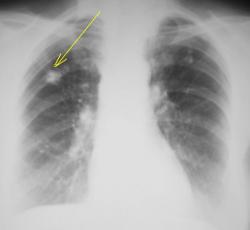
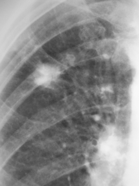
Уважаемые коллеги!. Какие будут мнения по поводу "тени", помеченной стрелкой. Пациент длительное время находился на учёте у фтизиатра.

1_vopros.jpg
1_vopros.jpg
2_vopros.JPG
2_vopros.JPG
3_vopros.JPG
3_vopros.JPG

 

 

 

 

 

 

 

 

 

4_vopros.jpg
4_vopros.jpg
5_vopros.jpg
5_vopros.jpg
6_vopros.jpg
6_vopros.jpg
ВложениеРазмер
Иконка изображения 1_vopros.jpg45.55 КБ
Иконка изображения 2_vopros.JPG20.49 КБ
Иконка изображения 3_vopros.JPG66.7 КБ
Иконка изображения 4_vopros.jpg87.23 КБ
Иконка изображения 5_vopros.jpg76.92 КБ
Иконка изображения 6_vopros.jpg55.86 КБ
Sergo аватар
Не на сайте
Был на сайте: 14 лет 2 месяцев назад
Зарегистрирован: 26.06.2009 - 18:42
Публикации: 41

Если на предыдущих снимках такая же каритнка, то туб изменения в фазе уплотнения. Если нет, то подозрительные спикулоподобные тяжи вселяют подозрения о наличии периферического рака зоне  постуберкулезных изменений или реактивации туб. процесса.

Almo аватар
Не на сайте
Был на сайте: 1 день 7 часов назад
Зарегистрирован: 28.09.2008 - 18:50
Публикации: 8248

Можно согласиться с предидущим постом. Отложение извести (туберкулома?),но контуры какие-то нечёткие и тяжтстые. Для оценки динамики необходим R-архив.

Ермолаев аватар
Не на сайте
Был на сайте: 8 лет 10 месяцев назад
Зарегистрирован: 07.02.2009 - 16:33
Публикации: 670

Валентин Львович! Необходимо дифференцировать с периферическим раком и tbc в стации инфильтрации. Конечно же необходим рентгенархив (если таковой имеется).

dok

Катенёв Валентин Львович аватар
Не на сайте
Был на сайте: 7 лет 2 недели назад
Зарегистрирован: 22.03.2008 - 22:15
Публикации: 54876

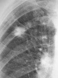
Произведены томограммы.

ИзображениеИзображение

Какие будут мнения?

Sergo аватар
Не на сайте
Был на сайте: 14 лет 2 месяцев назад
Зарегистрирован: 26.06.2009 - 18:42
Публикации: 41

Конгломерат извести. При отсутсвии клиниколабораторных данных за активность туб. процесса я бы рискнул оставить пациента в покое на 3 месяца с последующим рентгенологическим контролем.

Катенёв Валентин Львович аватар
Не на сайте
Был на сайте: 7 лет 2 недели назад
Зарегистрирован: 22.03.2008 - 22:15
Публикации: 54876

Я согласен с Вами коллега, мы так и поступили - "оставили его в покое", с последующи контролем через 6 месяцев.

Almo аватар
Не на сайте
Был на сайте: 1 день 7 часов назад
Зарегистрирован: 28.09.2008 - 18:50
Публикации: 8248

Валентини Львович, в целом впечатление о туберкулёме в стадиии обострения ( инфильтрации?).Рекомендовал бы консультацию в Противотуберкулёзном диспансере!

Катенёв Валентин Львович аватар
Не на сайте
Был на сайте: 7 лет 2 недели назад
Зарегистрирован: 22.03.2008 - 22:15
Публикации: 54876

Спасибо коллега!

Фтизиатры "руку приложили".