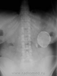
В своё время, нашим коллегой, на сайте было размещено наблюдение, но по ряду причин, оно осталось не замечанным, хотя случай интересный. Возможно, коллеги выскажут мнение по поводу представленной патологии?
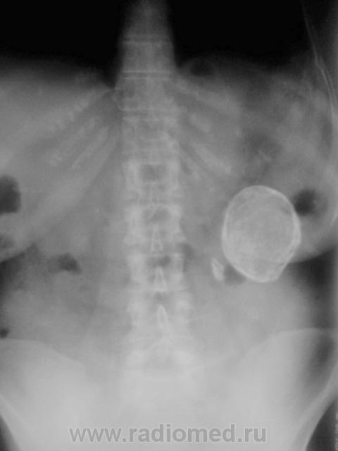
Весьма интересный и неоднозначный случай. Подумать можно о всем,что угодно можно предположить t-r почки, паразитарное заболевание, не думаю,что есть связь с кишечной трубкой.
При всем уважении к коллеге УЗИ ....анэхогенное? никто ничего не имеет против, но где описательная часть ПЛОТНОЙ капсулы...и как это через нее удалось эту самую АНЭХОГЕННОСТЬ рассмотреть.....что то тут не так, в протоколе, то то недооценено должным образом, увы...и уводит клиницистов в сторону, противореча данным обзорной рентгенографии...как мне кажется.
Больше данных за обызествленную кисту неясного генеза.
Обезыствленная полость в почке в сочетании с нефросклерозом. Помимо эхинококка нельзя исключить и обезыствленную туб. каверну. Туберкулез тоже, как известно, любит кальций.
Великое преймущество врача заключается в том, что он не обязан следовать собственным советам. ( А. Кристи)
Вполне м.б. закрытой эхинококковой кистой почки (или не почки) в сочетании с камнем. Возможно, у меня богатая фантазия, но, что за тень бобовидной формы слева на уровне Th12 - L1? Из опыта знаю, результаты УЗИ иногда лучше не принимать во внимание.
Весьма интересный и неоднозначный случай. Подумать можно о всем,что угодно можно предположить t-r почки, паразитарное заболевание, не думаю,что есть связь с кишечной трубкой.
А каких-то других снимков нет ? или хотя бы
что-нибудь из клиники?
Есть только это.
УХ-ты... кистозная дегенерация левой нирки..
Нирка - это почка.
достаточно объемный процесс.жаль,что нельзя в/в урографию провести.
При всем уважении к коллеге УЗИ ....анэхогенное? никто ничего не имеет против, но где описательная часть ПЛОТНОЙ капсулы...и как это через нее удалось эту самую АНЭХОГЕННОСТЬ рассмотреть.....что то тут не так, в протоколе, то то недооценено должным образом, увы...и уводит клиницистов в сторону, противореча данным обзорной рентгенографии...как мне кажется.
Больше данных за обызествленную кисту неясного генеза.
Болезни ног: виды, симптомы, причины, профилактика и лечение
По снимку данное образование находится в проекции почки , правая-то хорошо визуализируется. А слева?
Вот только, как мне кажется , и по размеру разногласия, описывается образование 5 см, но на снимке кажется больше .
Больше данных за обызествленную кисту неясного генеза.
stovbav
--------------------------------------------------------------------------------------------------------------------------------------------------------------------------------------------------------
Согласен с коллегой.
Больше данных за обызествленную кисту неясного генеза.
stovbav
__________________________________
Абсолютно поддержую!!!
__________________________________
Без дообследования нелья категорично заявлять о локализации,а с УЗИ-забавно получается...
Ум не замещает знания!
Интересно, а что, это, рядом с такой "каменюкой", маленькая "каменючка"?
"Младший братик" в синусе почки!


Ум не замещает знания!
Тогда, выходит допустимо, предположить, что "булыжник" в почке, в лоханке?
Здравствуйте!
Ребра тоже с известью... Склонность к кальцинозу. А не эхинококк? Протокол УЗи вызывает огромное сомнение в квалификации врача...
Здравствуйте Анатолий Владимирович!
Один из коллег, ранее, высказал предположение, что имеет место, быть эхинококк селезенки.
По поводу протокола УЗИ - не комментирую. На нашей переферии, протоколы УЗИ, еще более "лоховские".
Обезыствленная полость в почке в сочетании с нефросклерозом. Помимо эхинококка нельзя исключить и обезыствленную туб. каверну. Туберкулез тоже, как известно, любит кальций.
Великое преймущество врача заключается в том, что он не обязан следовать собственным советам. ( А. Кристи)
Ну, если такая полость в почке, то надо думать, что почка должна быть значительных размеров?
А, если такая туб. каверна в почке, то, что-же осталось от почки?
Вполне м.б. закрытой эхинококковой кистой почки (или не почки) в сочетании с камнем. Возможно, у меня богатая фантазия, но, что за тень бобовидной формы слева на уровне Th12 - L1? Из опыта знаю, результаты УЗИ иногда лучше не принимать во внимание.
Делай, что должно, и будь, что будет.