Вы здесь

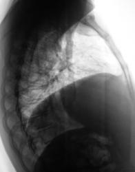
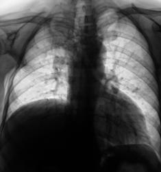
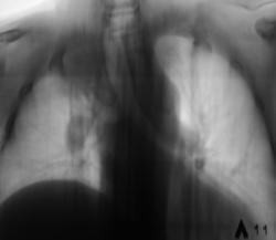
Пациентка после мастэктомии.

Два года тому поциентке произведена мастэктомия по поводу рака молочной железы. Направлена врачом онкологом (из области) для рентгенографии органов грудной полости. Произведено исследование.

1.MAST_.JPG
1.MAST_.JPG
2.MAST_.JPG
2.MAST_.JPG

 

 

 

 

 

 

 

 

 

 

 

 

3.MAST_.JPG
3.MAST_.JPG
4.MAST_.JPG
4.MAST_.JPG

 

 

 

 

 

 

 

 

 

 

 

 

5.MAST_.JPG
5.MAST_.JPG
6.MAST_.JPG
6.MAST_.JPG

 

 

 

 

 

 

 

 

 

 

 

 

 

Ваше мнение коллеги?

 

ВложениеРазмер
Иконка изображения 1.MAST_.JPG70.77 КБ
Иконка изображения 2.MAST_.JPG78.43 КБ
Иконка изображения 3.MAST_.JPG62.89 КБ
Иконка изображения 4.MAST_.JPG57.04 КБ
Иконка изображения 5.MAST_.JPG68.11 КБ
Иконка изображения 6.MAST_.JPG57.56 КБ
Анатолий Владимирович Шумаков аватар
Не на сайте
Был на сайте: 7 лет 10 месяцев назад
Зарегистрирован: 16.10.2009 - 21:16
Публикации: 1941

Картина новообразования справа на верхушке, периферического, отсутствие переднего фрагмента 4 ребра справа, релаксация или приподнятость правого купола диафрагмы. Если при рентгеноскопии наличствует парадоксальная подвижность диафрагмы - парез диафрагмального нерва - мета в средостение, если нет - УЗИ печени - искать причину приподнятости купола там.

Катенёв Валентин Львович аватар
Не на сайте
Был на сайте: 7 лет 3 недели назад
Зарегистрирован: 22.03.2008 - 22:15
Публикации: 54876

За экраном - экскурсий диафрагмы не зарегистрирована, "парадоксальности" экскурсий также видно не было.

Анатолий Владимирович Шумаков аватар
Не на сайте
Был на сайте: 7 лет 10 месяцев назад
Зарегистрирован: 16.10.2009 - 21:16
Публикации: 1941

Наверное это можно расценить как парез нерва, с фиксацией купола в верхнем крайнем положении...

Катенёв Валентин Львович аватар
Не на сайте
Был на сайте: 7 лет 3 недели назад
Зарегистрирован: 22.03.2008 - 22:15
Публикации: 54876

Спасибо Вам, за высказанное мнение.

tatyana аватар
Не на сайте
Был на сайте: 4 года 1 месяц назад
Зарегистрирован: 24.06.2009 - 08:33
Публикации: 2090

Как Вам второй вариант: после мастэктомии часто проводят лучевую терапию на над-подключичные л/узлы на стороне опухоли (в данном случае справа), естественно в поле облучения попадает в/доля легкого, где развивается сначала пневмонит, затем фиброз, возможен цирроз. Эти изменения очень вариабельны и зависят от индивидуальной чувствительности. На снимке, кстати, правый корень подтянут вверх, трахея подтянута вправо, в/доля уменьшена в объеме и неравномерно уплотнена. С чего бы этому быть при периферическом образовании? Касательно переднего отрезка 4 ребра справа - он действительно четко не прослеживается, но прозрачность легочного фона в этой зоне повышена, думаю, что снимок на этом участке "перебит" из-за того, что нет молочной железы. Рекомендую уточнить анамнез на предмет лучевой терапии, поднять снимки из архива, если нет такой возможности или остаются сомнения - направить на КТ. На передний отрезок 4 ребра справа требуется сделать прицеленый снимок.

"самоуверенность дилетантов - предмет зависти профессионалов"

Катенёв Валентин Львович аватар
Не на сайте
Был на сайте: 7 лет 3 недели назад
Зарегистрирован: 22.03.2008 - 22:15
Публикации: 54876

Здравствуйте Татьяна Валентиновна!

Мне нечего Вам возразить. Два сеанса рентгенотератии уже были.

 

Анатолий Владимирович Шумаков аватар
Не на сайте
Был на сайте: 7 лет 10 месяцев назад
Зарегистрирован: 16.10.2009 - 21:16
Публикации: 1941

А заключение писать Валентину Львовичу!

Насчет ребра: патология там - безусловно есть, оно выпадает из реберного ряда уже на уровне приблизительно средней подмышечной линии...

tatyana аватар
Не на сайте
Был на сайте: 4 года 1 месяц назад
Зарегистрирован: 24.06.2009 - 08:33
Публикации: 2090

А в заключении писать "постлучевой фиброз", если он подтвердится (см. выше). Надо дообследовать и разобраться, иначе, если мы ставим прогрессирование, радикально меняется лечебная тактика и планы на будущее.

"самоуверенность дилетантов - предмет зависти профессионалов"

Анатолий Владимирович Шумаков аватар
Не на сайте
Был на сайте: 7 лет 10 месяцев назад
Зарегистрирован: 16.10.2009 - 21:16
Публикации: 1941

Да все правильно, согласен!

Андрей Попов аватар
Не на сайте
Был на сайте: 14 лет 4 месяцев назад
Зарегистрирован: 24.11.2009 - 15:32
Публикации: 67

На мой взгляд, скорее всего здесь имеет место постлучевой фиброз в верхней доле справа с уменьшением объема части легкого. Но для исключения новообразования я бы порекомендовал пройти КТ. Рисковать не стоит.

Almo аватар
Не на сайте
Был на сайте: 19 часов 47 минут назад
Зарегистрирован: 28.09.2008 - 18:50
Публикации: 8261

Затенение в S1, не похоже на перферический рак т.к. последнее всё таки узловое образование.Трахея перетянута вправо- скорее это постлучевой фиброз ( хотя картина несколько необычная, т.к. как правило,при лучевом фиброзе тени тяжистого характера).Нужно КТ( в4 ребре патология).