Вы здесь

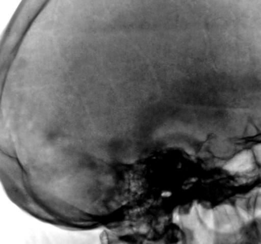
Представлены, на диске, такие изображения черепа.

Представлены, на диске, такие изображения черепа. Что посоветуете уважаемые коллеги?

1._PTS.jpg
1._PTS.jpg
2.PTS_..jpg
2.PTS_..jpg
3.PTS_..jpg
3.PTS_..jpg

 

 

 

 

 

 

 

 

 

 

 

 

 

4._PTS..jpg
4._PTS..jpg
5.PTS_..JPG
5.PTS_..JPG
6.PTS_..jpg
6.PTS_..jpg

 

 

 

 

 

 

 

 

 

 

 

 

7.PTS_..JPG
7.PTS_..JPG
8.PTS_..jpg
8.PTS_..jpg
ВложениеРазмер
Иконка изображения 1._PTS.jpg84.03 КБ
Иконка изображения 2.PTS_..jpg77.28 КБ
Иконка изображения 3.PTS_..jpg86.1 КБ
Иконка изображения 4._PTS..jpg76.75 КБ
Иконка изображения 5.PTS_..JPG82.6 КБ
Иконка изображения 6.PTS_..jpg86.32 КБ
Иконка изображения 7.PTS_..JPG77.17 КБ
Иконка изображения 8.PTS_..jpg70.89 КБ
v1tal аватар
Не на сайте
Был на сайте: 4 года 9 месяцев назад
Зарегистрирован: 07.06.2008 - 19:41
Публикации: 1779

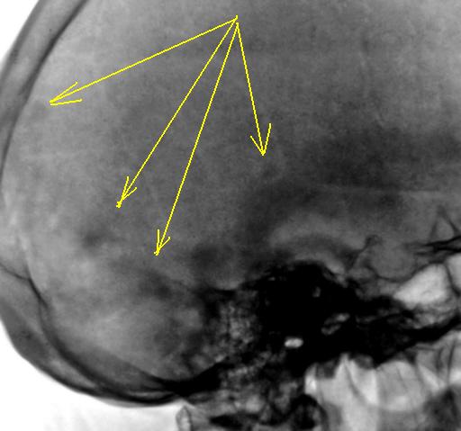
 Уважаемый  Валентин Львович, я так понимаю Вас смущает ячейки лобной пазухи? В данном случае надо обратить внимание на толщину костей крыши черепа, а следовательно и на турецкое седло, следует проконсультироваться у эндокринолога с дальнейшим проведением МР-исследования гипофиза.

"Знаешь, у некоторых врачей есть комплекс мессии — им необходимо спасать мир. А у тебя комплекс Рубика — тебе необходимо решать головоломки."

Анатолий Владимирович Шумаков аватар
Не на сайте
Был на сайте: 7 лет 10 месяцев назад
Зарегистрирован: 16.10.2009 - 21:16
Публикации: 1941

По моему у Ясиновской когда -то читал, что гиперпневматизация пазух - косвенный признак эндокринной патологии, а так ничего настораживающего.

stovbav аватар
Не на сайте
Был на сайте: 2 года 2 месяцев назад
Зарегистрирован: 20.12.2009 - 17:28
Публикации: 7066

Структура затылочной кости не совсем обычная...похоже на "пробойниковые отверствия"...касаемо лобных пазух - такой "фасон", мне кажется это природа, и мало вероятно, что ендокринология...

Nela аватар
Не на сайте
Был на сайте: 6 лет 1 месяц назад
Зарегистрирован: 12.05.2009 - 20:43
Публикации: 1847

Кости свода толстоваты, пазухи крупные. Турецкое седло не изменено. По-моему, стоит беспокоиться, только если есть эндокринные нарушения.

Катенёв Валентин Львович аватар
Не на сайте
Был на сайте: 7 лет 3 недели назад
Зарегистрирован: 22.03.2008 - 22:15
Публикации: 54876

А, что "это" за уплотнения.

 

Катенёв Валентин Львович аватар
Не на сайте
Был на сайте: 7 лет 3 недели назад
Зарегистрирован: 22.03.2008 - 22:15
Публикации: 54876
А, что "это" за уплотнения.
Катенёв Валентин Львович аватар
Не на сайте
Был на сайте: 7 лет 3 недели назад
Зарегистрирован: 22.03.2008 - 22:15
Публикации: 54876

Файзуллин, если мне не изменяет память, частенько, гиперпневматизацию пазух связывал с опухолевым ростом. Но в данном случае, по всей видимости, вариант или аномалия развития лобной пазухи.

Nela аватар
Не на сайте
Был на сайте: 6 лет 1 месяц назад
Зарегистрирован: 12.05.2009 - 20:43
Публикации: 1847

Уплотнения? Возможно эностозы.

Катенёв Валентин Львович аватар
Не на сайте
Был на сайте: 7 лет 3 недели назад
Зарегистрирован: 22.03.2008 - 22:15
Публикации: 54876

Эностозы???

stovbav аватар
Не на сайте
Был на сайте: 2 года 2 месяцев назад
Зарегистрирован: 20.12.2009 - 17:28
Публикации: 7066

Может тогда только участки локального остеосклероза? Ведь..."Эностоз (enostosis; эн- + греч. osteon кость + -оз) — заращение костномозговой полости костной тканью"....

Nela аватар
Не на сайте
Был на сайте: 6 лет 1 месяц назад
Зарегистрирован: 12.05.2009 - 20:43
Публикации: 1847

Да, наверно, правильно участки остеосклероза.