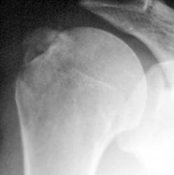
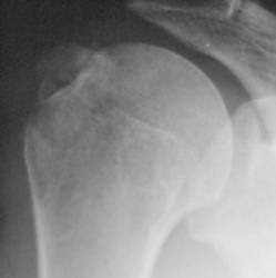
Травма. пациент направлен хирургом в рентгеновский кабинет для рентгенографии плечевого сустава. Были произведены рентгенограммы в двух проекциях. Могу представить, увы, только изображение в прямой проекции.
ААтличный случай, Валентин Львович, практически тест для выявления уззких спецциалистов без объёмного восприятия реальных объектов. Возможно, атрофировалась функция от постоянного употребления продуктов, нарезанных тонкими ломтиками и поданных на на тарелочке. И 3-х мерную реконструкцию заботливая программа создаст и даст покрутить... мозги отдыхают!
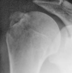
ОК, Петрович! Глубокий вдох, медленный выдох - я спокойна! Ладно Вам, не такая уж я узкая, как Вам хочется думать. Я ж 5 лет рентгенологом работала и по стационару, и по неотложке. А в скоропомощной больнице - это срок, концентрация серъезной патологии очень большая. И, работая на МРТ, неотложку подхватываем. Насчет "атрофировалась" - восприму, как комплимент, значит, все-таки была такая функция! Я сталкивалась недавно с подобной картиной у пациентки с травмой лучезапястного сустава. Линия затемнения шла по бывшей зоне роста. Смотрели, крутили так и эдак (клиника + рентген, никаких 3D реконструкций!). В интересах больной остановились на переломе (на КТ направляла, но она не пошла). Через неделю пришла уже без гипса на контроль. Сняла сама, ничего не болит. R-картина стабильная. В данном случае линия в шейке плеча анатомической, место для перелома нечастое. Так, чтобы полное боковое смещение с захождением по длине - нет. Вколоченный - не думаю. Четкий контур линии, деформации кости нет, внутренний контур головки ровный. А как Вы видите эту ситуацию с учетом "объемного восприятия"? А то опять - покритиковал, пошумел, а свое мнение высказать? Забыл?
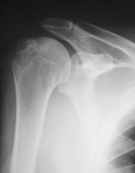
Только Вы и дочитались! Горлина у Вас не только красивые, но и всё видящие ГЛАЗА! Вторая проекция у травматологов в ОКБ, на ней действительно хорошо виден перелом и смещение. Пациенты пожелали забрать снимки и лечиться в ОКБ. А "это" изображение у меня осталось в СИАРе.
"Перелом-отрыв бугорка плечевой кости", так любят его наши травматологи, так и называют.
Соглашусь с коллегой Ореховым! Оторвался бугорок!
dok
Ну, и по всей видимости, перелом, без смещения костных отломков.
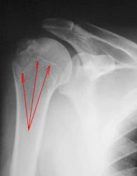
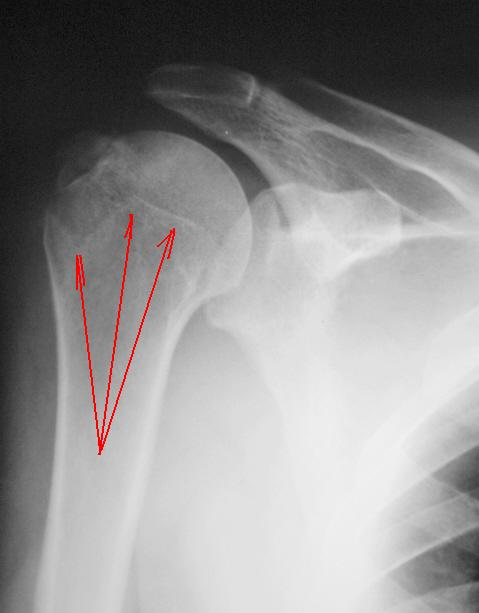
Насчет линейной тени (две медиальные стрелки) - думаю, не перелом это, закрытая зона роста.
Век живи - век учись...
ААтличный случай, Валентин Львович,
практически тест для выявления уззких спецциалистов без объёмного восприятия реальных объектов. Возможно, атрофировалась функция от постоянного употребления продуктов, нарезанных тонкими ломтиками и поданных на на тарелочке. И 3-х мерную реконструкцию заботливая программа создаст и даст покрутить... мозги отдыхают!
Неоднозначно всё
ОК, Петрович! Глубокий вдох, медленный выдох - я спокойна! Ладно Вам, не такая уж я узкая, как Вам хочется думать. Я ж 5 лет рентгенологом работала и по стационару, и по неотложке. А в скоропомощной больнице - это срок, концентрация серъезной патологии очень большая. И, работая на МРТ, неотложку подхватываем. Насчет "атрофировалась" - восприму, как комплимент, значит, все-таки была такая функция! Я сталкивалась недавно с подобной картиной у пациентки с травмой лучезапястного сустава. Линия затемнения шла по бывшей зоне роста. Смотрели, крутили так и эдак (клиника + рентген, никаких 3D реконструкций!). В интересах больной остановились на переломе (на КТ направляла, но она не пошла). Через неделю пришла уже без гипса на контроль. Сняла сама, ничего не болит. R-картина стабильная. В данном случае линия в шейке плеча анатомической, место для перелома нечастое. Так, чтобы полное боковое смещение с захождением по длине - нет. Вколоченный - не думаю. Четкий контур линии, деформации кости нет, внутренний контур головки ровный. А как Вы видите эту ситуацию с учетом "объемного восприятия"? А то опять - покритиковал, пошумел, а свое мнение высказать? Забыл?
Век живи - век учись...
плечевой кости
Прийди к Себе
Однозначно, линия, указанная стрелками, это бывшая ростковая зона.
https://www.instagram.com/pediatricradiology/
Все может быть, все может "статься".
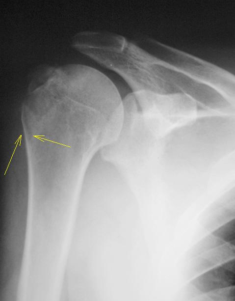
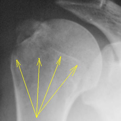
Вот то, что отмечено желтыми стрелочками на последней серии снимков - и есть отрыв большого бугорка. Такой большооооой отрыв большоооооооого бугорка.
Век живи - век учись...
Согласен с Вами Анна. "Ну очень большой".
С большим бугорком более-менее понятно. Вопрос: где малый?
И ещё, покажут ли другую проекцию?
Неоднозначно всё
Да, кстати, Валентин Львович! Почему"увы, Вы можете представить только одну проекцию"?
Век живи - век учись...
Только Вы и дочитались! Горлина у Вас не только красивые, но и всё видящие ГЛАЗА! Вторая проекция у травматологов в ОКБ, на ней действительно хорошо виден перелом и смещение. Пациенты пожелали забрать снимки и лечиться в ОКБ. А "это" изображение у меня осталось в СИАРе.
А чего я-то? Это Петрович вторую проекцию затребовал!
Какой перелом-то там видно? Нарисуйте, что-ли! 
Век живи - век учись...
Снимок вернется - выставлю. Все одно контроль будут делать у нас.
Очень Хочется Верить.
И желательно до конца века. (Век живи - век учись...)
Неоднозначно всё
Мое мнение, что анатомическая шейка плечевой кости абсолютно интактная! Пациент достаточно молод.
dok