Вы здесь

Травмы не было.

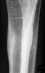
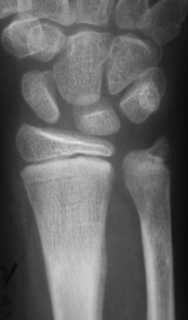
Пациент направлен в рентгеновский кабинет врачом хирургом, по поводу болей в дистальной трети предплечья. Пациент и его родители утверждают, что травмы не было.

ИзображениеИзображениеИзображениеИзображениеИзображениеИзображение

Ваше мнение коллеги?

Катенёв Валентин Львович аватар
Не на сайте
Был на сайте: 7 лет 4 недели назад
Зарегистрирован: 22.03.2008 - 22:15
Публикации: 54876

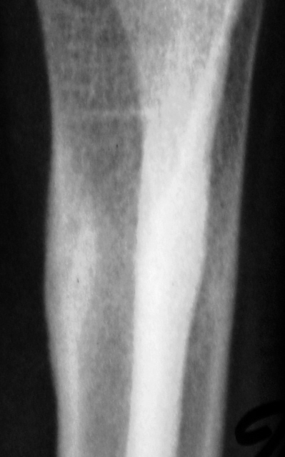
Снимки с более высокой степенью разрешения.

ИзображениеИзображениеИзображениеИзображение

 

 

Ola-la аватар
Не на сайте
Был на сайте: 10 месяцев 2 недели назад
Зарегистрирован: 06.12.2008 - 09:33
Публикации: 1786

Определяются локальные оссифицированные периостальные наслоения в н/3 диафиза лучевой кости, что-то наподобие дефекта со склеротическим контуром по передней поверхности кости. У меня три варианта: 1 - консолидированный перелом лучевой кости; 2 - патологическая перестройка (читала у Рейнберга, может встречаться в лучевых и локтевых костях, выглядит как консолидированный перелом); 3 - первично-хр. остеомиелит.

Vega аватар
Не на сайте
Был на сайте: 6 дней 7 часов назад
Зарегистрирован: 22.01.2009 - 19:16
Публикации: 1087

Больше похоже на срастающийся перелом. 

Катенёв Валентин Львович аватар
Не на сайте
Был на сайте: 7 лет 4 недели назад
Зарегистрирован: 22.03.2008 - 22:15
Публикации: 54876

Но т равмы не было. Чем может быть вызвана "одностороняя реакция надкостницы"?

OPEXOB аватар
Не на сайте
Был на сайте: 9 лет 11 месяцев назад
Зарегистрирован: 26.07.2008 - 10:02
Публикации: 280

Считаю - это обычная перестойка трабекул костной ткани. Такие чаще всего я наблюдаю в дистальных отделах нижних конечностей, как вариант компенсации костной ткани на нагрузку.

Катенёв Валентин Львович аватар
Не на сайте
Был на сайте: 7 лет 4 недели назад
Зарегистрирован: 22.03.2008 - 22:15
Публикации: 54876

А с этим (помечено стрелками), что будем делать?

ИзображениеИзображение

Ермолаев аватар
Не на сайте
Был на сайте: 8 лет 10 месяцев назад
Зарегистрирован: 07.02.2009 - 16:33
Публикации: 670

Коллеги! меня тоже смущает участок, выделенный Валентином Львовичем стрелочками. Имеются округлой формы, мелкие участки перестройки костной ткани литического типа. Кортикальный слой муфтообразно утолщен с периоссальной реакцией. А нет ли там объемного образования?

dok

OPEXOB аватар
Не на сайте
Был на сайте: 9 лет 11 месяцев назад
Зарегистрирован: 26.07.2008 - 10:02
Публикации: 280

Простой пример: возьмите палку и ударьте по ней молотком, что образуется? Ответ: "Участок уплотнения ткани палки".

Все когда-то ударялись, детство, юность, футбол, падения.

Если вас все еще это смущает - контролируйте.

Андрей Юрьевич аватар
Не на сайте
Был на сайте: 2 недели 2 дня назад
Зарегистрирован: 16.11.2008 - 22:16
Публикации: 18098

Меня тоже смущает, и очень. Отправляйте к детским онкологам, пусть они контролируют. Основание: диафиз лучевой кости бульбообразно расширен ("поддут"), структура кости уплотнена муфтообразно/"пояском", менее выраженные, чем по переднему стенке кости, но аналогичные изменения отмечаются и по задней стенке диафиза, плюс периостальная реакция в прямой проекции.

А Орехов пусть пишет:///обычная перестойка трабекул костной ткани///.

Андрей Юрьевич

OPEXOB аватар
Не на сайте
Был на сайте: 9 лет 11 месяцев назад
Зарегистрирован: 26.07.2008 - 10:02
Публикации: 280

Будем ждать результатов.