Вы здесь

Ваше мнение коллеги по поводу представленного патологического процесса.

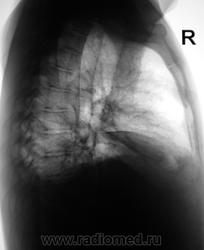
Пациент направлен на исследование с диагнозом "Правостороняя пневмония".

Игорь Иванович аватар
Не на сайте
Был на сайте: 3 года 9 месяцев назад
Зарегистрирован: 23.01.2010 - 14:56
Публикации: 3695

Междолевое осумкование выпота справа. Ну и конечно двустор.свободный.

Катенёв Валентин Львович аватар
Не на сайте
Был на сайте: 7 лет 3 недели назад
Зарегистрирован: 22.03.2008 - 22:15
Публикации: 54876

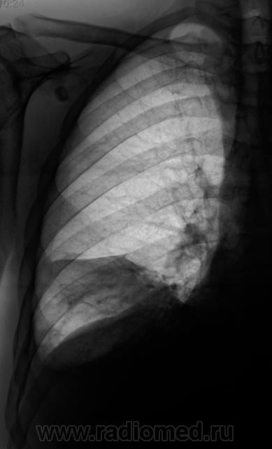
Динамика через 3 дня.

 

Comment Upload: 
11.Dina_.JPG12.Dina_.JPG13.Dina_.JPG
Анатолий Владимирович Шумаков аватар
Не на сайте
Был на сайте: 7 лет 10 месяцев назад
Зарегистрирован: 16.10.2009 - 21:16
Публикации: 1941

Явная приподнятость диафрагмы настораживает...

stovbav аватар
Не на сайте
Был на сайте: 2 года 2 месяцев назад
Зарегистрирован: 20.12.2009 - 17:28
Публикации: 7066

Вопрос - какие мероприятия за эти три дня проводились? были ли плевральные пункции, в т.ч. справа?

Катенёв Валентин Львович аватар
Не на сайте
Был на сайте: 7 лет 3 недели назад
Зарегистрирован: 22.03.2008 - 22:15
Публикации: 54876

Плевральной пункции не было. Проводилась противовоспалительная терапия по поводу "пневмонии", но пациент, вдруг, "затяжелел"

stovbav аватар
Не на сайте
Был на сайте: 2 года 2 месяцев назад
Зарегистрирован: 20.12.2009 - 17:28
Публикации: 7066

За три дня, следовательно, 0,5 л жидкости слева ушло.....а справа резко прибыло ...как будто только диафрагмы, но без значительного прибавления жидкости...Интересно....печень же за три дня так не увеличиться...

А в каком отделении лечится?Подмигиваю...

 

Катенёв Валентин Львович аватар
Не на сайте
Был на сайте: 7 лет 3 недели назад
Зарегистрирован: 22.03.2008 - 22:15
Публикации: 54876

Терапевтическое отделение. У нас выбор не большой.

stovbav аватар
Не на сайте
Был на сайте: 2 года 2 месяцев назад
Зарегистрирован: 20.12.2009 - 17:28
Публикации: 7066

Поскольку такой внезапный парез диафрагмы маловероятен...смею предположить наличие базального плеврита справа...он же - диафрагмальный плеврит. Здорово бы было посмотреть на УЗИ - за три секунды решили бы проблему.

Валентин Львович...есть у меня подборка базальных плевритов по данным УЗИ, как Вы считаете, выставить или не надо. Если да, то в понедельник пересниму и выставлю, очень показательно, особенно в плане, как ведет себя край легкого в этой жидкости...

Катенёв Валентин Львович аватар
Не на сайте
Был на сайте: 7 лет 3 недели назад
Зарегистрирован: 22.03.2008 - 22:15
Публикации: 54876

Выставить, конечно, надо и неприменно. Сейчас посмотрю где целесообразнее и отвечу в этой ветке. Как думаете озаглавить подборку?

stovbav аватар
Не на сайте
Был на сайте: 2 года 2 месяцев назад
Зарегистрирован: 20.12.2009 - 17:28
Публикации: 7066

Катенёв Валентин Львович wrote:

Выставить, конечно, надо и неприменно. Сейчас посмотрю где целесообразнее и отвечу в этой ветке. Как думаете озаглавить подборку?

УЗИ-диагностика плевритов...

Катенёв Валентин Львович аватар
Не на сайте
Был на сайте: 7 лет 3 недели назад
Зарегистрирован: 22.03.2008 - 22:15
Публикации: 54876

Ссылка раздела УЗИ.

 

http://www.radiomed.ru/forumy/spietsial-nosti/uzi

 

Можете открывать новые темы - сколько посчитаете нужным.

Возможно, Анатолий Владимирович присоединится.

Раздел пустой, давно "заждался" материала.

stovbav аватар
Не на сайте
Был на сайте: 2 года 2 месяцев назад
Зарегистрирован: 20.12.2009 - 17:28
Публикации: 7066

Катенёв Валентин Львович wrote:

Ссылка раздела УЗИ.

 

http://www.radiomed.ru/forumy/spietsial-nosti/uzi

 

Можете открывать новые темы - сколько посчитаете нужным.

Возможно, Анатолий Владимирович присоединится.

Раздел пустой, давно "заждался" материала.

Во-первых надо туда , я думаю, выставить подборку рака толстой кишки паралельно с УЗИ...помнится несколько случаев я выставлял уже...если паралель - должно быть интересно, по количеству - постараюсь добавить и расширить.

Во-вторых плевриты.

В третьих...подумаем...постараюсь у своих УЗИстов что то интересненькое "нарыть"...

 

Катенёв Валентин Львович аватар
Не на сайте
Был на сайте: 7 лет 3 недели назад
Зарегистрирован: 22.03.2008 - 22:15
Публикации: 54876

Виктор Григорьевич!

Вы можете открывать сколько угодно тем (подборок) без ограничения (монотематических или, как пожелаете).

Андрей Юрьевич аватар
Не на сайте
Был на сайте: 1 неделя 5 дней назад
Зарегистрирован: 16.11.2008 - 22:16
Публикации: 18098

Замолвлю слово о латерографии в диагностике гидротораксов. УЗИ, конечно, вещь отличная, но не все узисты смотрят гр. клетку, не все рентгенологи владеют УЗИ. А латерография на пораженном боку дает прекрасные результаты, и очевидную для всех демонстрацию. Я понимаю, что латероскопы ушли вместе с РУМами, но можно сделать и на каталке, если мягкая - подложить лист ДСП. Эх, жалко метод не в руках, показал бы его эффективность.

Андрей Юрьевич

Игорь Иванович аватар
Не на сайте
Был на сайте: 3 года 9 месяцев назад
Зарегистрирован: 23.01.2010 - 14:56
Публикации: 3695

Андрей Юрьевич wrote:

Замолвлю слово о латерографии в диагностике гидротораксов. УЗИ, конечно, вещь отличная, но не все узисты смотрят гр. клетку, не все рентгенологи владеют УЗИ. А латерография на пораженном боку дает прекрасные результаты, и очевидную для всех демонстрацию. Я понимаю, что латероскопы ушли вместе с РУМами, но можно сделать и на каталке, если мягкая - подложить лист ДСП. Эх, жалко метод не в руках, показал бы его эффективность.

Полностью поддерживаю, часто пользуюсь с прицельными флюорограммами. Я от РУМа не отошел, и судя по политическому и экономическому состоянию в стране - в последний путь понесут на РУМе (вместо лафета).

Игорь Иванович аватар
Не на сайте
Был на сайте: 3 года 9 месяцев назад
Зарегистрирован: 23.01.2010 - 14:56
Публикации: 3695

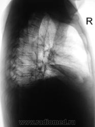
А что там делает кишечник ( под правым куполом диафрагмы), на первых снимках не было?

Катенёв Валентин Львович аватар
Не на сайте
Был на сайте: 7 лет 3 недели назад
Зарегистрирован: 22.03.2008 - 22:15
Публикации: 54876

Игорь Иванович wrote:

А что там делает кишечник ( под правым куполом диафрагмы), на первых снимках не было?

 

Comment Upload: 
1..Kishechnik..JPG2..Kishechnik..JPG
Ермолаев аватар
Не на сайте
Был на сайте: 8 лет 10 месяцев назад
Зарегистрирован: 07.02.2009 - 16:33
Публикации: 670

Абсолютно согласен с уважаемым Виктором Григорьевичем!!! УЗИ решает массу проблем с выпотом в плевральных полостях. И проще, и информативнее и без лучевой нагрузки на пациента. Это продолжение статьи "Сравнительная оценка эффективности ультразвукового и рентгенологического методов в диагностике плеврального выпота". Как ведет себя легочная ткань в данной ситуации - это же, конечно, компрессионный ателектаз.

Это может быть при УЗИ выглядеть так или несколько иначе, но суть одна:

Comment Upload: 
Izobrazhenie_086.jpgIzobrazhenie_090.jpgIzobrazhenie_084.jpg

dok

Катенёв Валентин Львович аватар
Не на сайте
Был на сайте: 7 лет 3 недели назад
Зарегистрирован: 22.03.2008 - 22:15
Публикации: 54876

Здравствуйте Владимир Васильевич!

А, мы, вот решили сделать набор изображений "Узи - при диагностике плевритов". Как? Может быть и на Вас можно расчитывать?

Ермолаев аватар
Не на сайте
Был на сайте: 8 лет 10 месяцев назад
Зарегистрирован: 07.02.2009 - 16:33
Публикации: 670

Здравствуйте, Валентин Львович!  К сожалению, с изменением моего статуса объем интересных клинических наблюдений и патологии резко уменьшился. Но все, что будет или, если хотите, все, что было, выложу.

dok

Катенёв Валентин Львович аватар
Не на сайте
Был на сайте: 7 лет 3 недели назад
Зарегистрирован: 22.03.2008 - 22:15
Публикации: 54876

Конечно хотим, и очень. Общее дело и благо для коллег.

stovbav аватар
Не на сайте
Был на сайте: 2 года 2 месяцев назад
Зарегистрирован: 20.12.2009 - 17:28
Публикации: 7066

Ермолаев wrote:

Здравствуйте, Валентин Львович!  К сожалению, с изменением моего статуса объем интересных клинических наблюдений и патологии резко уменьшился. Но все, что будет или, если хотите, все, что было, выложу.

С большим интересом прочитал Вашу статью об УЗИ диагностике плевритов в сравнении с рентгенологическим методом. Сожалею, что мой опыт здесь поменьше, а еще более сожалею, что наши местные клиницисты недооценивают роль УЗИ в оценке подобных ситуация, пытаясь ограничиваться "отметкой уровня жидкости под контролем рентгеноскопиии"....и забывая о роли именно "УЗИ динамического наблюдения" при плевритах.

Игорь Иванович аватар
Не на сайте
Был на сайте: 3 года 9 месяцев назад
Зарегистрирован: 23.01.2010 - 14:56
Публикации: 3695

Катенёв Валентин Львович wrote:

Игорь Иванович wrote:

А что там делает кишечник ( под правым куполом диафрагмы), на первых снимках не было?

 

 

Comment Upload: 
12.Dina_.JPG
Катенёв Валентин Львович аватар
Не на сайте
Был на сайте: 7 лет 3 недели назад
Зарегистрирован: 22.03.2008 - 22:15
Публикации: 54876

Здравствуйте Игорь Иванович!

Я постараюсь "прогнать" все изображения еще раз, для больше ясности, и конечно, выставлю.