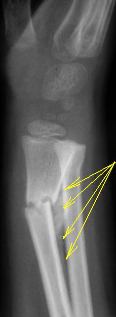
Срастающийся перелом обеих костей предплечья в н/3 с допустимым смещением. Если перелом был бы свежим, можно было бы подправить. А сейчас - можно оставить так как есть, смещение исправится.
Абсолютно уверена, что это костная мозоль, а односторонняя она потому, что есть смещение, всегда мозоль выражена, где открытый угол. Признаков воспаления здесь нет.
А кто может четко сказать перелом консолидировался или нет? То что он "пытается" это понятно, есть асимметричная мозоль, избыточная, но линия перелома остается! Тут критерий сращения - только подвижность в месте перелома. Отдельно лежащий фрагмент может быть скиалогическим феноменом, во всяком случае признаков его некроза нет. А что переломы последние годы перестали срастаться - так это проблема...
Перелом срастающийся потому, что есть костная мозоль. Причем абсолютно нормальная и, как уже указала Ola-la, носит односторонний характер ввиду того, что перелом со смещением. Природа уже начала исправлять то, что не доделали травматологи.
Чётко сказать о том, что перелом консолидирован, можно будет после того, как перестанет прослеживаться линия перелома. Фрагмент будет вовлечён в процесс консолидации и перестроится в нормальную костную ткань. В общем, обычный срастающийся перелом с допустимым смещением
Срастающийся перелом обеих костей предплечья в н/3 с допустимым смещением. Если перелом был бы свежим, можно было бы подправить. А сейчас - можно оставить так как есть, смещение исправится.
Наши травматологи взяли бы на остеоклазию, так бы не оставили.
https://www.instagram.com/pediatricradiology/
Исходя из строгого академизма, они были бы правы. Но, на мой взгляд, иногда нужно уметь отступать от классики...
Вопрос.
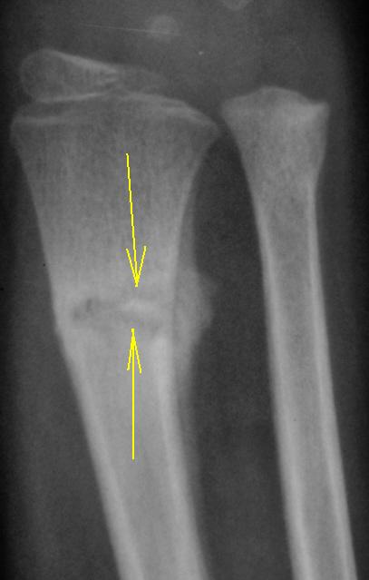
На Ваш взгляд, что является "субстратом" затемнения между костью и отслоенной надкостницей?
Скорее всего гематома.
И второй вопрос.
Какова предполагаемая "судьба" фрагмента костной ткани в области "линии перелома".
А почему речь идет об отслоенной надкостнице? На мой взгляд, обычная костная мозоль.
https://www.instagram.com/pediatricradiology/
И третий вопрос.
На основании чего, сделан вывод, что перелом лучевой кости "сростающийся"?
Ola-la :
"А почему речь идет об отслоенной надкостнице? На мой взгляд, обычная костная мозоль."
Односторонняя "костная мозоль"?
И эта одностороняя "костная мозоль", формируется на таком значительном протяжении?
Абсолютно уверена, что это костная мозоль, а односторонняя она потому, что есть смещение, всегда мозоль выражена, где открытый угол. Признаков воспаления здесь нет.
https://www.instagram.com/pediatricradiology/
согласна с Ольгой
"самоуверенность дилетантов - предмет зависти профессионалов"
А кто может четко сказать перелом консолидировался или нет? То что он "пытается" это понятно, есть асимметричная мозоль, избыточная, но линия перелома остается! Тут критерий сращения - только подвижность в месте перелома. Отдельно лежащий фрагмент может быть скиалогическим феноменом, во всяком случае признаков его некроза нет. А что переломы последние годы перестали срастаться - так это проблема...
Перелом срастающийся потому, что есть костная мозоль. Причем абсолютно нормальная и, как уже указала Ola-la, носит односторонний характер ввиду того, что перелом со смещением. Природа уже начала исправлять то, что не доделали травматологи.
Чётко сказать о том, что перелом консолидирован, можно будет после того, как перестанет прослеживаться линия перелома. Фрагмент будет вовлечён в процесс консолидации и перестроится в нормальную костную ткань. В общем, обычный срастающийся перелом с допустимым смещением