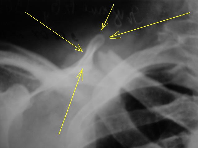
А что, все очень похоже......есть "импровизированная" суставная впадина, образовавшаяся из верхнего угла лопатки, и с ней сочленяется отломок ключицы, все довольно конгруэнтно
Как-то мне не кажется убедительным наличие ложного сустава. Почему-то наружный край внутреннего отломка ключицы неровный, остренький, совсем не выглядит суставной "головкой". Да и край лопатки не так, чтобы деформирован, не склерозирован. Может быть это проекционно такое близкое расположение получается? А край лопатки просто вышел на край, потому что вся лопатка смещена и повернута (ключицей не удерживается?).
Уважаемые коллеги! Вновь у нас проблема с определением "ложного сустава" и "несросшегося перелома". В Сети нашел несколько определений.
1. Оксфордский толковый словарь общей медицины 2002 год. ПСЕВДОАРТРОЗ (PSEUDARTHMSIS), НЕОАРТРОЗ - ложный сустав, образующийся между двумя смещенными в результате вывиха или перелома концами кости.Врожденный вывих бедра может явиться одной из причин развития псевдоартроза.(ключевыми словами считаю ДВУМЯ, КОСТЯМИ, СМЕЩЕННЫМИ
2. Тоже самое определение имеется в словаре Брокгауза и Ефрона (согласен-не медицинский словарь).
Ложный сустав (pseudoarthrosis; синоним псевдоартроз) — нарушение непрерывности кости с развитием несвойственной данному ее отделу подвижности. Различают врожденные и приобретенные ложные суставы. Считают, что в основе врожденных ложных суставов лежит внутриутробное местное нарушение костеобразования. Приобретенные ложные суставы в большинстве случаев — осложнение переломов костей, обусловленное несращением отломков. При этом имеют значение значительное смещение отломков после их репозиции, частая смена гипсовых повязок, дистракционно-компрессионных аппаратов или преждевременное прекращение иммобилизации, чрезмерно ранняя нагрузка на поврежденный сегмент конечности, нагноение в зоне перелома. Реже ложный сустав образуются после ортопедических операций на костях, например остеотомии, и при патологических переломах.
Щель между отломками кости, образующими ложный сустав, заполнена не костной мозолью, а неоформленной соединительной тканью. При длительном существовании ложного сустава подвижность в нем может увеличиваться, образуется неоартроз (новый сустав), в котором имеются капсула, суставная полость, содержащая синовиальную жидкость, а сочленяющиеся концы кости покрыты хрящом.
Уважаемая Анна! Мне особенно импонирует слово "смещение" при формировании ложного сустава. Т.е. образование ложного сустава происходит совершенно НЕ обязательно при наличии соосности костей. Доктор Марио и доктор Белоусов именно этот симптом (соосность костных отломков) предлагают считать основным при рентгенологической дифдиагностике ложного сустава и не сросшегося перелома! По определению Оксфордского медицинского словаря, Медицинской Академии Сеченова (Москва), ложный сустав формируется именно при смещении костных отломков.
Уважаемые коллеги! Вопрос? Что будем считать ложным суставом и не сросшимся переломом?
Раз речь идет о голосовании, я против ложного сустава. Согласен с Анной: "головки" нет. Скорее всего сложение теней. А вот несросшийся перелом ключицы со значительным смещением и интерпозицией мягких тканей - налицо.
Я за несросшийся перелом ключицы и формирование нового сустава (неоартроза) между верхним углом лопатки и проксимальным отломком ключицы. А кто и чем будет доказывать, других исследований то, похоже, нет.
Валентин Львович я конечно понимаю что КСС нельзя смотреть скопически, но в этом случае думаю полезно, оценить функциональную активность данной зоны, тогда можно и говорить о новом суставе.
Но мы весьма часто, при необходимости, с использованием рентгенотелевидения выбираем более или менее "оптимальную проекцию" и делаем прицельные снимки. В последнем случае - томограммы, при рентгетелевидении подвижность "в сочленении" была и не малая.
Я всетаки думаю что это неоартроз, необходимо сделать снимки в различных проекциях. И лопатка все-таки необычная не бывает такого угола лопатки, такого отростка у лопатки нет. Смущает острый край наружного конца проксимальной части ключицы.
Уважаемые коллеги! Вновь обращаю Ваше внимание на термины. Ложный сустав, псевдоартроз - это синонимы, т.е. одно и тоже. Неоартроз - исход ложного сустава. Получается, что ложный сустав, псевдоартроз и неоартроз - один и тот же процесс. Суть вопроса- что считать "ложным суставом" и что считать "не сросшимся переломом", исходя из определений, представленных мною в ветке.
Господа хорошие! Я наверное не в форме, только два одиночных поперечных среза из разных источников, отображающих медиальную 1/3 ключицы и лопатку (очень фрагментарно), по-видимому, в норме и, как-бы разделённые массивом мягких тканей, не позволяют мне составить 3х мерное представление о возможном (но вовсе не очевидном) сочленении их фрагментов при данной травме. Пребывающий в печали Петрович
Из этих анатомических ликбезных картинок можно сделать такой вывод: если лопатка будет наклонена вперед и ротирована суставной площадкой вперед, то на верхний контур выйдет ость лопатки, что, по всей вероятности, мы и видим на снимке. А ключица расположена по передней поверхности плечевого пояса. Следовательно, псевдоартроз здесь кажущийся, ость лопатки и ключица слишком далеки друг от друга. Если мы сделаем аксиальную проекцию (или аксиальные КТ, МРТ), я думаю, вопрос о ложном суставе уже подниматься не будет.
Уважаемые коллеги! В данной ветке я говорю не о данном конкретном случае, а о термине "ложный сустав" в принципе, в целом. Что и когда считать "ложным суставом (псевдоартрозом, неоартрозом)", а что и в каких случаях "несросшимся переломом".
В данном случае любой "ложный сустав", по своей сути является "несросшимся (застарелым) переломом". Термин "ложный сустав", а именно "ложный", просто подчеркивает, что он "перелом" визуально напоминает "сустав".
Конечно я согласен с коллегой Вегой, согласен и с Вами Владимир Васильевич.
Данный случай показателен не с точки зрения диагностики или правильности "терминологии", он показателен с точки зрения..., ибо начинался словами: "Травма 5 лет тому. После травмы за медицинской помощью не обращался. "Выловлен" при расшибровке цифровой флюорограммы органов грудной полости".
И ничего не болит-не беспокоит? Тогда может, лучше и не трогать
Не болит и не беспокоит, Только конец проксимального отломка "выпирает" прямо подкожно.
Тогда необходимо синтезировать.
Пациент категорически отказывается от каких-либо оперативных вмешательств.
нужен накостный металлостеосинтез... но коль пациент отказывается, то, как говориться, спасенье утопающих...
Уважаемый Борис Юрьевич, уважаемая Vega!
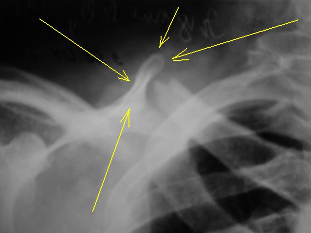
А как трактовать помеченное желтыми стрелками?
А это верхний угол лопатки. Такое впечатление, что он образует с проксимальным отломком ключицы что-то типа неоартроза.
https://www.instagram.com/pediatricradiology/
Вот мне тоже примерно такое и кажется, но что-то не совсем мне понятно.
А что, все очень похоже......есть "импровизированная" суставная впадина, образовавшаяся из верхнего угла лопатки, и с ней сочленяется отломок ключицы, все довольно конгруэнтно
https://www.instagram.com/pediatricradiology/
Большое спасибо.
Как-то мне не кажется убедительным наличие ложного сустава. Почему-то наружный край внутреннего отломка ключицы неровный, остренький, совсем не выглядит суставной "головкой". Да и край лопатки не так, чтобы деформирован, не склерозирован. Может быть это проекционно такое близкое расположение получается? А край лопатки просто вышел на край, потому что вся лопатка смещена и повернута (ключицей не удерживается?).
Век живи - век учись...
Уважаемые коллеги! Вновь у нас проблема с определением "ложного сустава" и "несросшегося перелома". В Сети нашел несколько определений.
1. Оксфордский толковый словарь общей медицины 2002 год. ПСЕВДОАРТРОЗ (PSEUDARTHMSIS), НЕОАРТРОЗ - ложный сустав, образующийся между двумя смещенными в результате вывиха или перелома концами кости.Врожденный вывих бедра может явиться одной из причин развития псевдоартроза.(ключевыми словами считаю ДВУМЯ, КОСТЯМИ, СМЕЩЕННЫМИ
2. Тоже самое определение имеется в словаре Брокгауза и Ефрона (согласен-не медицинский словарь).
3. И еще две ссылки.
http://www.mma.ru/article/id36405
>http://www.ortopediya.ru/index.php
dok
Доктор Ермолаев, а почему слова "между двумя смещенными в результате ........ перелома концами кости" не кажутся Вам ключевыми?
Век живи - век учись...
Ложный сустав (pseudoarthrosis; синоним псевдоартроз) — нарушение непрерывности кости с развитием несвойственной данному ее отделу подвижности. Различают врожденные и приобретенные ложные суставы. Считают, что в основе врожденных ложных суставов лежит внутриутробное местное нарушение костеобразования. Приобретенные ложные суставы в большинстве случаев — осложнение переломов костей, обусловленное несращением отломков. При этом имеют значение значительное смещение отломков после их репозиции, частая смена гипсовых повязок, дистракционно-компрессионных аппаратов или преждевременное прекращение иммобилизации, чрезмерно ранняя нагрузка на поврежденный сегмент конечности, нагноение в зоне перелома. Реже ложный сустав образуются после ортопедических операций на костях, например остеотомии, и при патологических переломах.
Щель между отломками кости, образующими ложный сустав, заполнена не костной мозолью, а неоформленной соединительной тканью. При длительном существовании ложного сустава подвижность в нем может увеличиваться, образуется неоартроз (новый сустав), в котором имеются капсула, суставная полость, содержащая синовиальную жидкость, а сочленяющиеся концы кости покрыты хрящом.
Это я пошла по ссылочке, предложенной д-ром Ермолаевым и дошла до http://www.ortopediya.ru/post1.php
Век живи - век учись...
Мне тоже кажется, что ложного сустава здесь нет, а имеет место проекционное наложение
Уважаемая Анна! Мне особенно импонирует слово "смещение" при формировании ложного сустава. Т.е. образование ложного сустава происходит совершенно НЕ обязательно при наличии соосности костей. Доктор Марио и доктор Белоусов именно этот симптом (соосность костных отломков) предлагают считать основным при рентгенологической дифдиагностике ложного сустава и не сросшегося перелома! По определению Оксфордского медицинского словаря, Медицинской Академии Сеченова (Москва), ложный сустав формируется именно при смещении костных отломков.
Уважаемые коллеги! Вопрос? Что будем считать ложным суставом и не сросшимся переломом?
dok
На мой взгляд, при формировании "конгруентных концов отломков", напоминающих "суставные поверхности" - ложный сустав.
Раз речь идет о голосовании, я против ложного сустава. Согласен с Анной: "головки" нет. Скорее всего сложение теней. А вот несросшийся перелом ключицы со значительным смещением и интерпозицией мягких тканей - налицо.
Андрей Юрьевич
Я за несросшийся перелом ключицы и формирование нового сустава (неоартроза) между верхним углом лопатки и проксимальным отломком ключицы. А кто и чем будет доказывать, других исследований то, похоже, нет.
https://www.instagram.com/pediatricradiology/
Валентин Львович я конечно понимаю что КСС нельзя смотреть скопически, но в этом случае думаю полезно, оценить функциональную активность данной зоны, тогда можно и говорить о новом суставе.
Вы совершенно правы уважаемый коллега!
Но мы весьма часто, при необходимости, с использованием рентгенотелевидения выбираем более или менее "оптимальную проекцию" и делаем прицельные снимки. В последнем случае - томограммы, при рентгетелевидении подвижность "в сочленении" была и не малая.
Я всетаки думаю что это неоартроз, необходимо сделать снимки в различных проекциях. И лопатка все-таки необычная не бывает такого угола лопатки, такого отростка у лопатки нет. Смущает острый край наружного конца проксимальной части ключицы.
Николай! Так с чем же, по-вашему, сочленяется отломок ключицы?
Неоднозначно всё
Уважаемые коллеги! Вновь обращаю Ваше внимание на термины. Ложный сустав, псевдоартроз - это синонимы, т.е. одно и тоже. Неоартроз - исход ложного сустава. Получается, что ложный сустав, псевдоартроз и неоартроз - один и тот же процесс. Суть вопроса- что считать "ложным суставом" и что считать "не сросшимся переломом", исходя из определений, представленных мною в ветке.
dok
Андрей Юрьевич
Вот еще иллюстрация этой области.
Век живи - век учись...
Господа хорошие! Я наверное не в форме, только два одиночных поперечных среза из разных источников, отображающих медиальную 1/3 ключицы и лопатку (очень фрагментарно), по-видимому, в норме и, как-бы разделённые массивом мягких тканей, не позволяют мне составить 3х мерное представление о возможном (но вовсе не очевидном) сочленении их фрагментов при данной травме.
Петрович
Пребывающий в печали
Неоднозначно всё
Может, так больше понравится?
Век живи - век учись...
Из этих анатомических ликбезных картинок можно сделать такой вывод: если лопатка будет наклонена вперед и ротирована суставной площадкой вперед, то на верхний контур выйдет ость лопатки, что, по всей вероятности, мы и видим на снимке. А ключица расположена по передней поверхности плечевого пояса. Следовательно, псевдоартроз здесь кажущийся, ость лопатки и ключица слишком далеки друг от друга. Если мы сделаем аксиальную проекцию (или аксиальные КТ, МРТ), я думаю, вопрос о ложном суставе уже подниматься не будет.
Век живи - век учись...
Уважаемые коллеги! В данной ветке я говорю не о данном конкретном случае, а о термине "ложный сустав" в принципе, в целом. Что и когда считать "ложным суставом (псевдоартрозом, неоартрозом)", а что и в каких случаях "несросшимся переломом".
dok
В данном случае любой "ложный сустав", по своей сути является "несросшимся (застарелым) переломом". Термин "ложный сустав", а именно "ложный", просто подчеркивает, что он "перелом" визуально напоминает "сустав".
По-моему, с практической точки зрения нет большой разницы, ложный ли это сустав, либо несращение. Лечебная тактика будет всё-равно схожей.
Хорошо, коллеги, закрываем тему.
dok
Конечно я согласен с коллегой Вегой, согласен и с Вами Владимир Васильевич.
Данный случай показателен не с точки зрения диагностики или правильности "терминологии", он показателен с точки зрения..., ибо начинался словами: "Травма 5 лет тому. После травмы за медицинской помощью не обращался. "Выловлен" при расшибровке цифровой флюорограммы органов грудной полости".
Здравствуйте Валентин Львович. Мне всетаки интересно каков окончательный вывод Вы сделали по этому случаю. Как видите мнения разошлись. Спасибо.
Здравствуйте коллега!
Лично для себя вывод - "Не сросшийся перелом" ключицы с "извращенным" положением отломков.
Спасибо.
Валентин Львович, а лопатки были симметричны относительно друг друга? Не была ли одна лопатка расположена выше другой, ротирована?
https://vk.com/kotlyarov_andrey