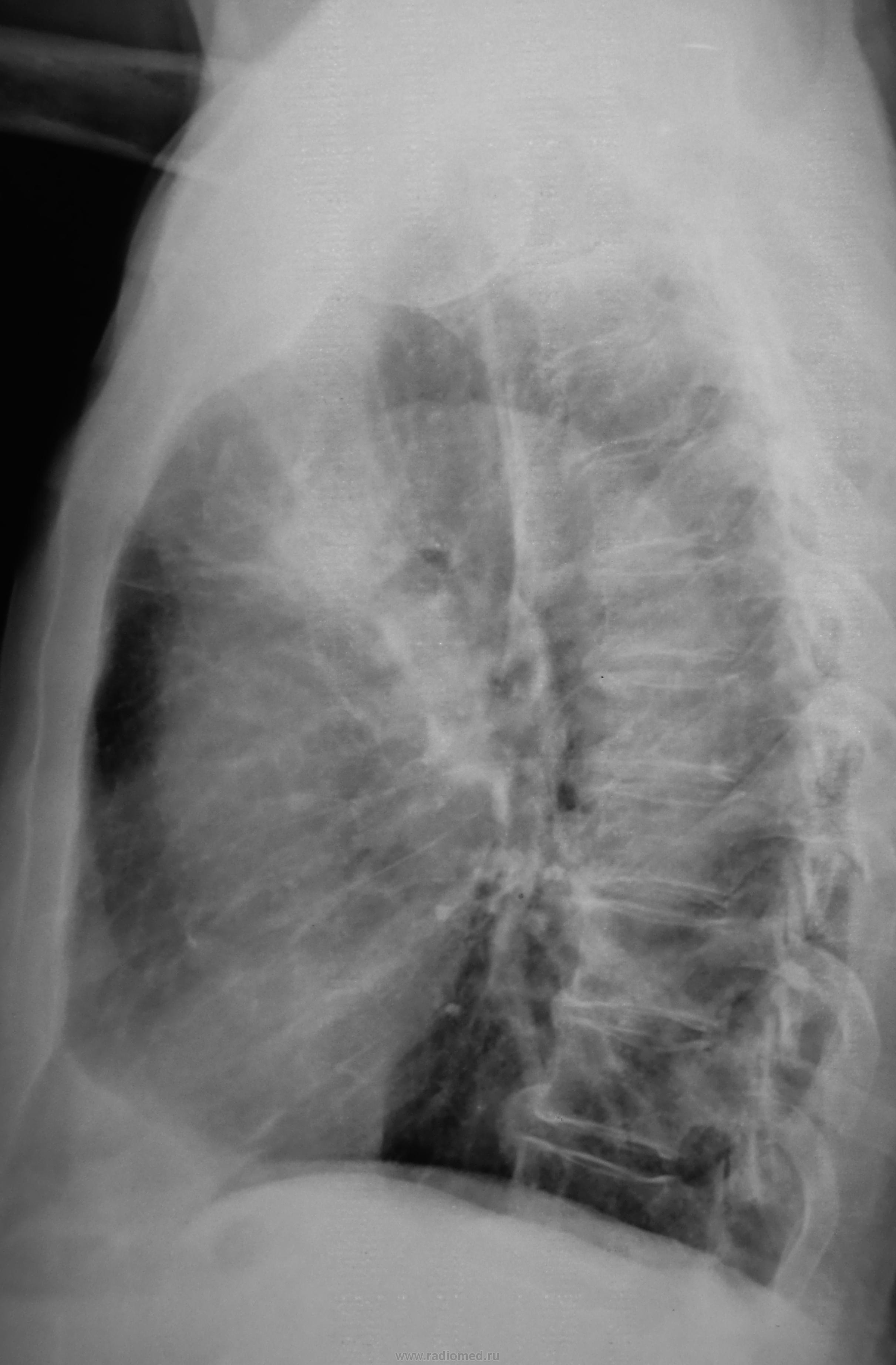
Пол пациента: Мужской пол Тип патологии: Другое Область исследования: Грудная клетка и верхние дыхательные пути Методы исследования: Rg Забрали с "флюшки", архива нет... https://radiomed.ru/sites/default/files/styles/case_slider_image/public/user/12/2.dscn1351.jpg?itok=FlLOO1Kr https://radiomed.ru/sites/default/files/styles/case_slider_image/public/user/12/3.dscn1351a.jpg?itok=cCPwEeHx ID:27785 Thu, 11/04/2013 - 00:32 #1 Катенёв Валенти... Offline Last seen: 7 years 2 months ago Joined: 22.03.2008 - 22:15 Posts: 54876 Есть архив трёхлетней давности с передвижки.Приложения: Thu, 11/04/2013 - 00:39 #2 Mila85 Offline Last seen: 3 years 3 months ago Joined: 15.03.2012 - 16:59 Posts: 1790 На опухоль походит Thu, 11/04/2013 - 01:31 #3 Vikkur Offline Last seen: 4 years 10 months ago Joined: 24.09.2009 - 14:34 Posts: 1749 Вероятно периферический, не исключена централизация на ВДБ. Ждем томограмок.. Виктор. Thu, 11/04/2013 - 09:47 #4 Алексей Станисл... Offline Last seen: 6 years 1 week ago Joined: 11.08.2012 - 20:33 Posts: 1903 ВДБ (ну, или трешка) слева с субателектазом. С уважением, Thu, 11/04/2013 - 17:59 #5 Петр Николаевич Offline Last seen: 4 years 4 days ago Joined: 15.03.2011 - 13:22 Posts: 150 На лицо явно гиповентиляция S3 томограммы необходимы Приложения: Thu, 11/04/2013 - 19:31 #6 maker4ik Offline Last seen: 8 years 9 months ago Joined: 19.10.2011 - 17:49 Posts: 2682 Центральный слева. Thu, 11/04/2013 - 19:47 #7 Сергей Кузьминов Offline Last seen: 1 year 2 months ago Joined: 06.10.2012 - 15:51 Posts: 11813 Рак центральный с поражением B3,ателектаз S3,междолевой плеврит. Fri, 12/04/2013 - 17:47 #8 Катенёв Валенти... Offline Last seen: 7 years 2 months ago Joined: 22.03.2008 - 22:15 Posts: 54876 Vikkur wrote: Ждем томограмок.. Вот такая.картиночка нарисовалась. Приложения: Sat, 13/04/2013 - 21:22 #9 Катенёв Валенти... Offline Last seen: 7 years 2 months ago Joined: 22.03.2008 - 22:15 Posts: 54876 Так "центральный" писать? Sat, 13/04/2013 - 21:29 #10 Сергей Кузьминов Offline Last seen: 1 year 2 months ago Joined: 06.10.2012 - 15:51 Posts: 11813 Я бы,наверное, так инаписал.(Ой,летят в меня тапки). Sat, 13/04/2013 - 21:39 #11 Алексей Станисл... Offline Last seen: 6 years 1 week ago Joined: 11.08.2012 - 20:33 Posts: 1903 Тогда пусть и в меня))) С уважением, Sat, 13/04/2013 - 21:42 #12 Катенёв Валенти... Offline Last seen: 7 years 2 months ago Joined: 22.03.2008 - 22:15 Posts: 54876 Сергей Кузьминов wrote: Я бы,наверное, так инаписал.(Ой,летят в меня тапки). Не припомню я такого по крайней мере за последние три года.
Есть архив трёхлетней давности с передвижки.
На опухоль походит
Вероятно периферический, не исключена централизация на ВДБ. Ждем томограмок..
Виктор.
ВДБ (ну, или трешка) слева с субателектазом.
С уважением,
На лицо явно гиповентиляция S3
томограммы необходимы
Центральный слева.
Рак центральный с поражением B3,ателектаз S3,междолевой плеврит.
Вот такая.картиночка нарисовалась.
Так "центральный" писать?
Я бы,наверное, так инаписал.(Ой,летят в меня тапки).
Тогда пусть и в меня)))
С уважением,
Не припомню я такого по крайней мере за последние три года.