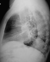
Пол пациента: Мужской пол Тип патологии: Другое Область исследования: Грудная клетка и верхние дыхательные пути Методы исследования: Rg Какие мнения будут уважаемые коллеги? https://radiomed.ru/sites/default/files/styles/case_slider_image/public/user/12/112.dscn1467.jpg?itok=Jf8A2_Da https://radiomed.ru/sites/default/files/styles/case_slider_image/public/user/12/113.dscn1467a.jpg?itok=pXEgTori ID:28008 Tue, 16/04/2013 - 21:41 #1 алкс Offline Last seen: 10 years 5 months ago Joined: 24.10.2012 - 22:55 Posts: 2915 Если не операция- то гипоплазия. Tue, 16/04/2013 - 21:43 #2 Сергей Кузьминов Offline Last seen: 1 year 5 months ago Joined: 06.10.2012 - 15:51 Posts: 11813 Мнение моё о центральном раке слева.Смещение средостения да кругляш в боковой. Tue, 16/04/2013 - 21:44 #3 Mila85 Offline Last seen: 3 years 6 months ago Joined: 15.03.2012 - 16:59 Posts: 1790 Центральный рак - средостение смещено, тень в проекции левого корня, купол диафрагмы высоко, снижение прозрачности левого легочного поля Tue, 16/04/2013 - 22:10 #4 Катенёв Валенти... Offline Last seen: 7 years 5 months ago Joined: 22.03.2008 - 22:15 Posts: 54876 Mila85 wrote: Центральный рак - средостение смещено, тень в проекции левого корня, купол диафрагмы высоко, снижение прозрачности левого легочного поля И, ЧЁ делать? Tue, 16/04/2013 - 22:15 #5 Сергей Кузьминов Offline Last seen: 1 year 5 months ago Joined: 06.10.2012 - 15:51 Posts: 11813 К онкологу отправлять. Tue, 16/04/2013 - 22:16 #6 Mila85 Offline Last seen: 3 years 6 months ago Joined: 15.03.2012 - 16:59 Posts: 1790 Попытав предварительно пациента анамнезом, если нет архива, отправить на КТ и бронхоскопию Tue, 16/04/2013 - 22:23 #7 disal Offline Last seen: 6 years 2 weeks ago Joined: 13.03.2013 - 20:28 Posts: 32 к онкологам, фбс необходима Tue, 16/04/2013 - 23:11 #8 Алексей Игореви... Offline Last seen: 7 years 3 months ago Joined: 08.08.2012 - 21:52 Posts: 786 Вот суто по прямому снимку высказывался бы за кистозную гипоплазию левого легкого. Но учитывая бок... не совсем подходит. Рак. А может и то, и другое. КТ. А сколько лет пациенту, анамнез? "Обучая других - учишься сам". Н.И.Пирогов Tue, 16/04/2013 - 23:18 #9 Катенёв Валенти... Offline Last seen: 7 years 5 months ago Joined: 22.03.2008 - 22:15 Posts: 54876 Алексей Игоревич Чернявский wrote: А может и то, и другое. КТ. Приложения: Tue, 16/04/2013 - 23:27 #10 Mila85 Offline Last seen: 3 years 6 months ago Joined: 15.03.2012 - 16:59 Posts: 1790 Насколько я понимаю, круглая штучка оказалась в правом корне, тогда кто его знает что это такое Wed, 17/04/2013 - 09:26 #11 Алексей Станисл... Offline Last seen: 6 years 2 months ago Joined: 11.08.2012 - 20:33 Posts: 1903 не очень характерно для дисплазии. Думается все смещения, элевации, псевдоателектазы обусловлены этим.Приложения: С уважением, Wed, 17/04/2013 - 22:04 #12 maker4ik Offline Last seen: 8 years 11 months ago Joined: 19.10.2011 - 17:49 Posts: 2682 По поводу чего он оперирован?
Если не операция- то гипоплазия.
Мнение моё о центральном раке слева.Смещение средостения да кругляш в боковой.
Центральный рак - средостение смещено, тень в проекции левого корня, купол диафрагмы высоко, снижение прозрачности левого легочного поля
И, ЧЁ делать?
К онкологу отправлять.
Попытав предварительно пациента анамнезом, если нет архива, отправить на КТ и бронхоскопию
к онкологам, фбс необходима
Вот суто по прямому снимку высказывался бы за кистозную гипоплазию левого легкого. Но учитывая бок... не совсем подходит. Рак. А может и то, и другое. КТ. А сколько лет пациенту, анамнез?
"Обучая других - учишься сам". Н.И.Пирогов
Насколько я понимаю, круглая штучка оказалась в правом корне, тогда кто его знает что это такое
не очень характерно для дисплазии. Думается все смещения, элевации, псевдоателектазы обусловлены этим.
С уважением,
По поводу чего он оперирован?