You are here

Синдром округлой тени.

Пол пациента: 
Тип патологии: 
Методы исследования: 

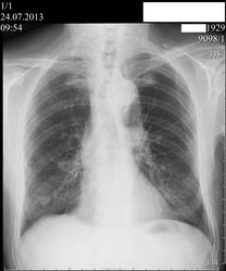
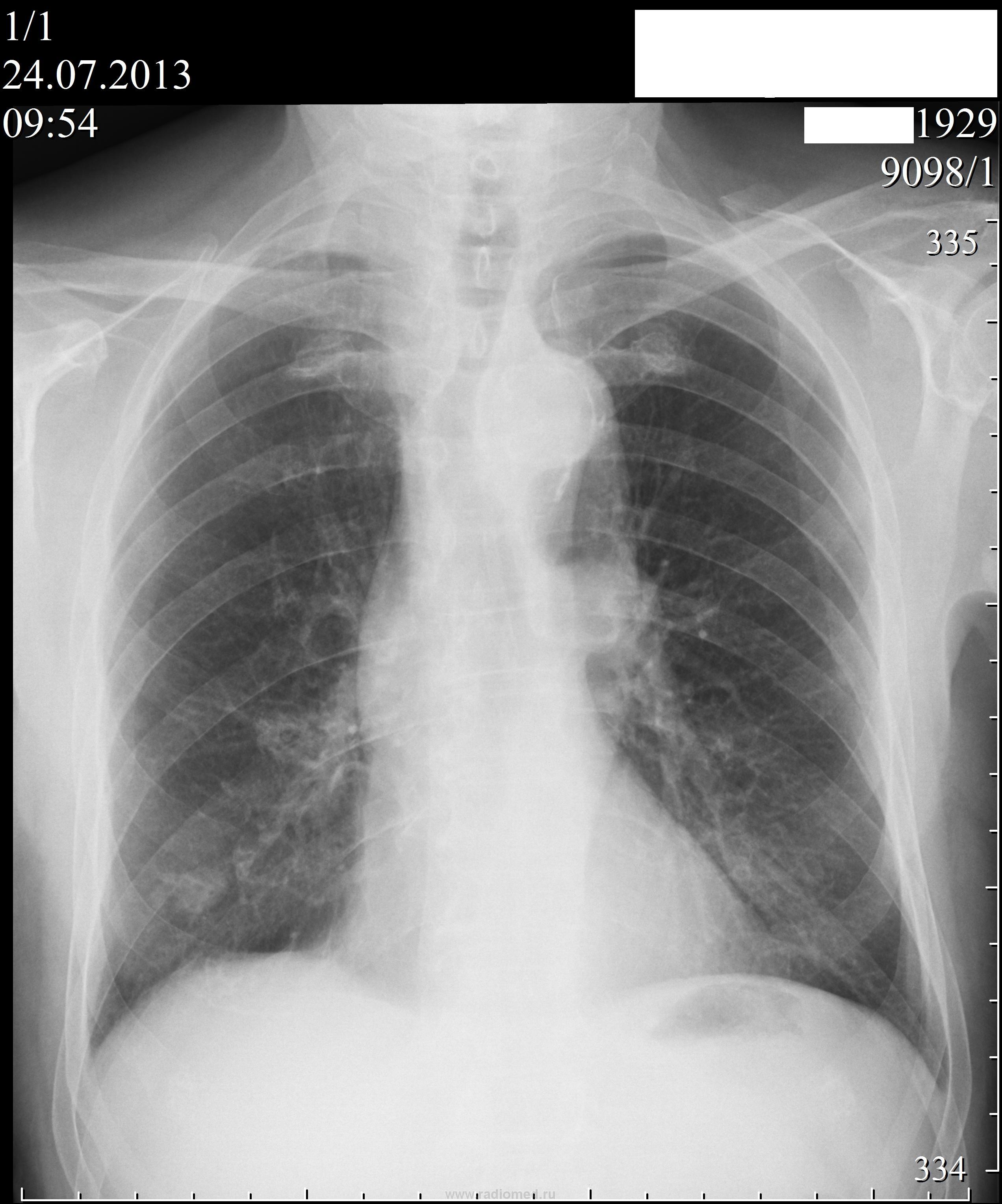
Пациент 83 лет, проходил проверочную флюорографию лёгких. Жалоб не предъявляет.

  • https://radiomed.ru/sites/default/files/styles/case_slider_image/public/user/406/krugyash.2.jpg?itok=ZC7zQyGz
  • https://radiomed.ru/sites/default/files/styles/case_slider_image/public/user/406/kruglyash3.jpg?itok=qdo8cv-k
  • https://radiomed.ru/sites/default/files/styles/case_slider_image/public/user/406/kruglyash3_0.jpg?itok=XUhYxQxA
ID:30224
Almo's picture
Offline
Last seen: 9 hours 43 min ago
Joined: 28.09.2008 - 18:50
Posts: 8306

Как можно расценить найденные изменения? Какой дифференциально-диагностический ряд можно предложить? Какова должна быть дальнейшая  тактика ведения пациента?

stovbav's picture
Offline
Last seen: 2 years 8 months ago
Joined: 20.12.2009 - 17:28
Posts: 7066

Периферический - КТ - онколог...где то так.

Almo's picture
Offline
Last seen: 9 hours 43 min ago
Joined: 28.09.2008 - 18:50
Posts: 8306

А, туберкулёмой не может быть? Виктор Григорьевич, вы считаете без КТ , в данном случае не обойтись?

stovbav's picture
Offline
Last seen: 2 years 8 months ago
Joined: 20.12.2009 - 17:28
Posts: 7066

Almo wrote:

А, туберкулёмой не может быть?

Маловероятно, как по мне.

Almo's picture
Offline
Last seen: 9 hours 43 min ago
Joined: 28.09.2008 - 18:50
Posts: 8306

Ну, а скажем версию метастатического поражения вы исключаете?

Mila85's picture
Offline
Last seen: 3 years 6 months ago
Joined: 15.03.2012 - 16:59
Posts: 1790

Или метастаз, или периферический рак

stovbav's picture
Offline
Last seen: 2 years 8 months ago
Joined: 20.12.2009 - 17:28
Posts: 7066

Almo wrote:

Ну, а скажем версию метастатического поражения вы исключаете?

Тоже - вряд ли.

brainmodel's picture
Offline
Last seen: 8 months 4 days ago
Joined: 18.03.2010 - 22:04
Posts: 2881

Тень среднеинтенсивная, овальная, с достаточно ровным и четким конткром, гомогенная. На фоне фиброза. Признаков злокачественности не вижу. Может и солитарный узловой мтс. А может ретенционная киста. Виктор Григорьевич, какие симптомы, кроме родной интуиции, сподвигли Вас указать на периферический?

Приложения: 
kruglyash1.jpg

Verum plus uno esse non potest.

stovbav's picture
Offline
Last seen: 2 years 8 months ago
Joined: 20.12.2009 - 17:28
Posts: 7066

1. Да, тень солитарная, но...

2. Локализация 

3. Форма овальная

4. Контуры все таки волнистые,хоть и ровные

5. Тот же фоновый фиброз ?)...а почему собственно он, а не усиление легочного рисунка, что может быть при опухоли

6. Дорожка к корню

7. Всякая остальная мелочь

8. И ОНА, родная интуиция))))

 

Катенёв Валентин Львович's picture
Offline
Last seen: 7 years 6 months ago
Joined: 22.03.2008 - 22:15
Posts: 54876

Да, "круглая тень" есть.

Но, лично я, без линейных томограмм никаких выводов не делаю. В протоколе можно отметить круглую тень и рекомендовать линейку, или КТ.

stovbav's picture
Offline
Last seen: 2 years 8 months ago
Joined: 20.12.2009 - 17:28
Posts: 7066

Катенёв Валентин Львович wrote:

Да, "круглая тень" есть.

Но, лично я, без линейных томограмм никаких выводов не делаю. В протоколе можно отметить круглую тень и рекомендовать линейку, или КТ.

Это ДА!

Но тут то мы - не под протокол беседуем)))

Катенёв Валентин Львович's picture
Offline
Last seen: 7 years 6 months ago
Joined: 22.03.2008 - 22:15
Posts: 54876

Туберкулёмой, на мой взгляд, не пахнет

Сергей Кузьминов's picture
Offline
Last seen: 1 year 6 months ago
Joined: 06.10.2012 - 15:51
Posts: 11813

Катенёв Валентин Львович wrote:

Туберкулёмой, на мой взгляд, не пахнет

Без томографического обследования исключить туберкулёму нелзя.Внутренняя структура тени неоднородна,с мелкими просветлениями.Туберкулёма в дифряду обязательна.

brainmodel's picture
Offline
Last seen: 8 months 4 days ago
Joined: 18.03.2010 - 22:04
Posts: 2881

Коллега Almo зажал томки :)

Verum plus uno esse non potest.

Катенёв Валентин Львович's picture
Offline
Last seen: 7 years 6 months ago
Joined: 22.03.2008 - 22:15
Posts: 54876

brainmodel wrote:

Коллега Almo зажал томки :)

В каком месте зажал?

Дмитрий Волегов's picture
Offline
Last seen: 3 years 12 months ago
Joined: 22.05.2013 - 00:32
Posts: 1148

Периферический нельзя отрицать, фиброз обязательно указать. Но если тень не одна, то паралельно с ЛТ, КТ, МРТ легких можно посмотреть желудок и предстательную. С учетом возраста. 

Приложения: 
2013mts.png2013mts-fibrozy.png2011fibrozy.png

С Уважением, Дмитрий.

brainmodel's picture
Offline
Last seen: 8 months 4 days ago
Joined: 18.03.2010 - 22:04
Posts: 2881

Катенёв Валентин Львович wrote:

brainmodel wrote:

Коллега Almo зажал томки :)

В каком месте зажал?

Не знаю. Деликатно помалкивает, а томки или еще не сделаны или припасены на сладенькое.

Verum plus uno esse non potest.

Almo's picture
Offline
Last seen: 9 hours 43 min ago
Joined: 28.09.2008 - 18:50
Posts: 8306

Интересно было читать комментарии коллег! Ничего не зажимал и не припасал,  просто у меня на руках пока ничего больше нет. Дело в том, что родственники пациента, после выполнения R-графии лёгких в 2-проекциях, попросили распечатать им  эти снимки и флюорографический архив и пошли с ними в другую больницу, где была выполнена линейная томография и вынесено заключение о туберкуломе ( или по крайней мере, о процессе туберкулёзной этиологии, протокол пока не видел). По возможности, постараюсь разместить эти томограммы на сайте.  Фтизиатры, как я понял, согласились с таким заключением. Из тех версий, что выдвигалось на работе, но не прозвучали при обсуждении  на сайте, можно сказать о версии хондромы.

Катенёв Валентин Львович's picture
Offline
Last seen: 7 years 6 months ago
Joined: 22.03.2008 - 22:15
Posts: 54876

Almo wrote:

Интересно было читать комментарии коллег! Ничего не зажимал и не припасал,  просто у меня на руках пока ничего больше нет. Дело в том, что родственники пациента, после выполнения R-графии лёгких в 2-проекциях, попросили распечатать им  эти снимки и флюорографический архив и пошли с ними в другую больницу, где была выполнена линейная томография и вынесено заключение о туберкуломе ( или по крайней мере, о процессе туберкулёзной этиологии, протокол пока не видел). Фтизиатры, как я понял, согласились с таким заключением. Из тех версий, что выдвигалось на работе, но не прозвучали при обсуждении  на сайте, можно сказать о версии хондромы.

Конечно хондрома, как вариант диагноза, может быть, но на первом месте, и это понятно должно "стоять" НЕО, доброкачественное, или злокачественное - это дело второе, да и не преррогатива это рентгенолога.

По поводу туберкулёмы,  и прочего "туберкулёзного ряда" весьма сомнительно, но фтизиатры, надо понимать определенную ответственность на себя взяли...

Хотя известны, и случаи не единичны, и не десятки, а много более, когда коллеги фтизиатры наблюдали и лечили туберкуломы, в туб отделениях, которые являлись прекрасным "инкубатором" для получения запущенных форм, именно, периферических раков лёгкого...

Катенёв Валентин Львович's picture
Offline
Last seen: 7 years 6 months ago
Joined: 22.03.2008 - 22:15
Posts: 54876

Интересно, что в дифряду, после периферического нео заняло бы второе место?

Чисто теоретическое допущение...

Almo's picture
Offline
Last seen: 9 hours 43 min ago
Joined: 28.09.2008 - 18:50
Posts: 8306

1.Периферический рак лёгкого.

2.Туберкулома (хотя в принципе, образование расположено ядноном слое лёкого, что нехаратерно для туберкулёза, при котором правило, процесс локализектся в плащевидном слое лёгкого).

3.Метастазы (есть рядом с округой тенью ещё одна, но меньших размеров).

4.Хондрома.

Однозначно показана КТ лёгких.

Сергей Кузьминов's picture
Offline
Last seen: 1 year 6 months ago
Joined: 06.10.2012 - 15:51
Posts: 11813

Часто в подобных случаях дифдиагноз уточняется гистологом после операции.Не раз видел несколько взаимоисключающих протоколов заключений КТ у одного больного.

Катенёв Валентин Львович's picture
Offline
Last seen: 7 years 6 months ago
Joined: 22.03.2008 - 22:15
Posts: 54876

Я бы, с учетом локализации и прочих прибамбасов, второе место отдал бы шаровидной пневмонии (по Волину)

Катенёв Валентин Львович's picture
Offline
Last seen: 7 years 6 months ago
Joined: 22.03.2008 - 22:15
Posts: 54876

Сергей Кузьминов wrote:

Не раз видел несколько взаимоисключающих протоколов заключений КТ у одного больного.

+1

И сие не редкость...

Катенёв Валентин Львович's picture
Offline
Last seen: 7 years 6 months ago
Joined: 22.03.2008 - 22:15
Posts: 54876

А что задний косто-диафрагмальный "айс"?

 

Приложения: 
1._a_chto_v_zadnem.jpg
Сергей Кузьминов's picture
Offline
Last seen: 1 year 6 months ago
Joined: 06.10.2012 - 15:51
Posts: 11813

Задний синус без "угла".Анамнез в помощь лечащему врачу.РКТ тоже.В дифряду я поставил бы туберкулёму на первое место,но это вопрос моего личного восприятия.Повторюсь,что на одни лучевые методы полагаться нельзя.Окончательное слово за клиницистами,а то и гистологами.

Катенёв Валентин Львович's picture
Offline
Last seen: 7 years 6 months ago
Joined: 22.03.2008 - 22:15
Posts: 54876

Сергей Кузьминов wrote:

Задний синус без "угла".Анамнез в помощь лечащему врачу.РКТ тоже.В дифряду я поставил бы туберкулёму на первое место,но это вопрос моего личного восприятия.Повторюсь,что на одни лучевые методы полагаться нельзя.Окончательное слово за клиницистами,а то и гистологами.

Вы правы уважаемый коллега!

Но кроме синуса есть и ещё...

Сергей Кузьминов's picture
Offline
Last seen: 1 year 6 months ago
Joined: 06.10.2012 - 15:51
Posts: 11813

Затрудняюсь сказать,что это-причуды фиброзные или еще что-то.В этом месте классический рентген испытывает затруднения.Точнее скажет РКТ,которую всё равно придётся делать.Лечение туберкулёмы-оперативное,без РКТ-никуда.Если автор заполучит дайкомы-будет интересно их посмотреть.

Mila85's picture
Offline
Last seen: 3 years 6 months ago
Joined: 15.03.2012 - 16:59
Posts: 1790

А вообще по-моему, если смотреть на боковой снимок, то там не одна круглая тень, а еще пара маленьких.. Да и с чего бы у дедка образоваться туберкулеме - туберкулема предполагает хороший крепкий организм, способный локализовать туб процесс, тем более с чего бы туберкулезу быть в нижних отделах легкого при чистых верхушках..

Если это действительно метастазы, то КТ рассеет все сомнения

stovbav's picture
Offline
Last seen: 2 years 8 months ago
Joined: 20.12.2009 - 17:28
Posts: 7066

Mila85 wrote:

А вообще по-моему, если смотреть на боковой снимок, то там не одна круглая тень, а еще пара маленьких.. Да и с чего бы у дедка образоваться туберкулеме - туберкулема предполагает хороший крепкий организм, способный локализовать туб процесс, тем более с чего бы туберкулезу быть в нижних отделах легкого при чистых верхушках..

Если это действительно метастазы, то КТ рассеет все сомнения

Эти "маленькие тени", как по мне, всего лишь артерии н\доли в срезе.

Mila85's picture
Offline
Last seen: 3 years 6 months ago
Joined: 15.03.2012 - 16:59
Posts: 1790

Да тени не факт, что мтс, но это по-любому онкология - остальное маловероятно

Катенёв Валентин Львович's picture
Offline
Last seen: 7 years 6 months ago
Joined: 22.03.2008 - 22:15
Posts: 54876

Фрагменты

 

Приложения: 
12.kruglyash131_0.jpg13.kruglyash1311_0.jpg
Катенёв Валентин Львович's picture
Offline
Last seen: 7 years 6 months ago
Joined: 22.03.2008 - 22:15
Posts: 54876

Ещё фрагменты

Приложения: 
11.kruglyah21.jpg12.kruglyah211.jpg13.kruglyah2112.jpg
brainmodel's picture
Offline
Last seen: 8 months 4 days ago
Joined: 18.03.2010 - 22:04
Posts: 2881

На второе место солитарный мтс.

Verum plus uno esse non potest.

Mila85's picture
Offline
Last seen: 3 years 6 months ago
Joined: 15.03.2012 - 16:59
Posts: 1790

В прямой проекции тоже круглая тень видится поменьше и повыше, наверняка мтс и не солитарный

Almo's picture
Offline
Last seen: 9 hours 43 min ago
Joined: 28.09.2008 - 18:50
Posts: 8306

Пациенту выполено КТ лёгких.  Со слов сына вынесено заключение о раке лёгкого ( как я понял периферический рак лёгкого). Протокол КТ исследования и снимки должны принести  в течении нескольких дней. Пациенту назначена рентгенотерапия. 

stovbav's picture
Offline
Last seen: 2 years 8 months ago
Joined: 20.12.2009 - 17:28
Posts: 7066

stovbav wrote:

Периферический - КТ - онколог...где то так.

Что то ТАКОЕ и предполагалось...увы....

Almo's picture
Offline
Last seen: 9 hours 43 min ago
Joined: 28.09.2008 - 18:50
Posts: 8306

Да, Виктор Григорьевич вы сразу же попали в " яблочко" !Да и другие коллеги мыслили в правильном направлении!yes